Logo

American Heart Association

  226
  0


Final ID: P-439

An Uncommon and Missed Diagnosis of Hypertension: Fibromuscular Dysplasia

Abstract Body: Introduction:

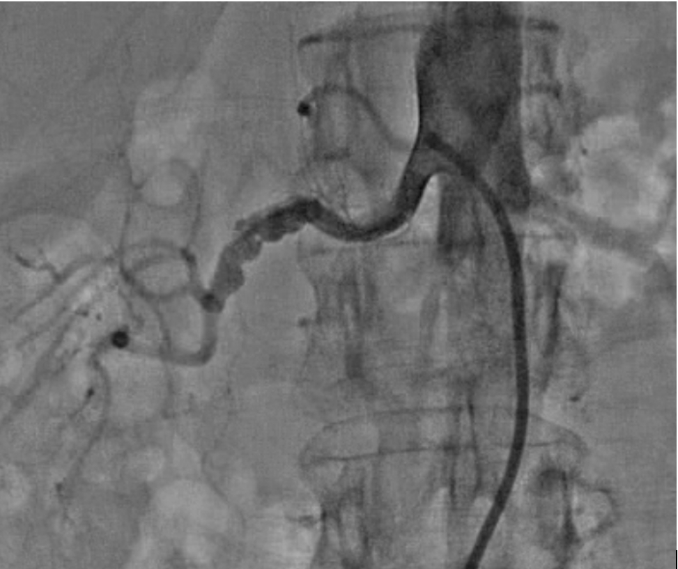
Fibromuscular dysplasia is a noninflammatory vascular disease most commonly affecting carotid and renal arteries, especially in young to middle aged women. Renal artery stenosis may cause refractory and severe hypertension in these patients without traditional risk factors.


Case:

A 58-year-old woman with uncontrolled hypertension on calcium channel and angiotensin receptor blocker and history of left carotid artery stenosis, and carotid endarterectomy at the age of 48 years, was referred cardiac evaluation. Patient’s twin sister had a diagnosis of fibromuscular dysplasia (FMD). Her blood pressure was 190/90 mmHg at presentation. Computed Tomography Angiography (CTA) of the abdomen/pelvis showed a typical nodular stenosis of the mid renal artery consistent with FMD. Patient underwent renal angiogram and successful percutaneous transluminal angioplasty. She still required medical therapy but her BP significantly improved.


Discussion:

Our patient had severe hypertension, carotid artery stenosis and even surgery but had missed FMD diagnosis for > 10 years. Physicians should have a high level of clinical suspicion for young and middle aged women with refractory hypertension and/or artery stenosis, aneurysm, or dissection in any vascular bed. CTA should be performed for renal and carotid artery imaging looking for typical “string of beads” appearance. Cerebral artery aneurysm should also be evaluated. The inheritance pattern for FMD such as PHACTR1 is most consistent with an autosomal dominant trait with variable penetrance. Renal artery angioplasty may lessen the degree of refractory or severe hypertension.
  • Ketenci, Melis  ( Stamford Hospital , Stamford , Connecticut , United States )
  • Fallahi, Arzhang  ( Stamford Hospital , Stamford , Connecticut , United States )
  • Owlia, Mina  ( Stamford Hospital , Stamford , Connecticut , United States )
  • Homayounrooz, Forugh  ( Stamford Hospital , Stamford , Connecticut , United States )
  • Hsi, David  ( Stamford Hospital , Stamford , Connecticut , United States )
  • Author Disclosures:
    Melis Ketenci: DO NOT have relevant financial relationships | Arzhang Fallahi: No Answer | Mina Owlia: No Answer | Forugh Homayounrooz: DO NOT have relevant financial relationships | David Hsi: DO NOT have relevant financial relationships
Meeting Info:
Session Info:

Poster Session 2

Friday, 09/06/2024 , 09:00AM - 10:30AM

Poster Session

More abstracts on this topic:
A Therapeutic Vaccine Against Transforming Growth Factor-β Prevents Aortic Aneurysm Formation in a Mouse Model of Marfan Syndrome

Okamura Shun, Yagi Hiroki, Hayashi Hiroki, Ueda Tomomi, Shindo Akito, Kadowaki Hiroshi, Nakagami Hironori, Takeda Norihiko, Akazawa Hiroshi

A major uremic toxin indoxyl sulfate impairs macrophage efferocytosis and accelerates atherogenesis: a potential mechanism for cardiovascular risk in chronic kidney disease

Jha Prabhash, Kasai Taku, Vromman Amelie, Holden Rachel, Libby Peter, Tabas Ira, Singh Sasha, Aikawa Elena, Aikawa Masanori, Lupieri Adrien, Sonawane Abhijeet, Le Thanh-dat, Becker-greene Dakota, Chelvanambi Sarvesh, Turner Mandy, Nakamura Yuto, Passos Livia

More abstracts from these authors:
Artificial Intelligence-Driven Coronary Artery Calcium Scoring: An Opportunity Cardiologists Cannot Afford to Miss

Ketenci Melis, Hsi David, Jones Ryan, Zaidi Syeda, Ehinmisan Ayara, Velez Kiara, Rajai Nazanin, Hartnett Josette, Rose Suzanne, Wen David

You have to be authorized to contact abstract author. Please, Login
Not Available