Logo

American Heart Association

  61
  0


Final ID: MP1755

Severe Pulmonary Hypertension in a Young Adult with Congenital Diaphragmatic Hernia: A Challenging Case of Multifactorial Developmental Lung Disease.

Abstract Body (Do not enter title and authors here):
Background:
Pulmonary hypertension (PH) associated with congenital diaphragmatic hernia (CDH) remains a major cause of morbidity and mortality, particularly in survivors with persistent pulmonary vascular abnormalities. Long-term outcomes into adolescence and adulthood remain poorly characterized.
Hypothesis:
We hypothesize that long-standing PH in CDH survivors reflects irreversible pulmonary vascular remodeling and warrants aggressive early monitoring and individualized therapy.
Methods:
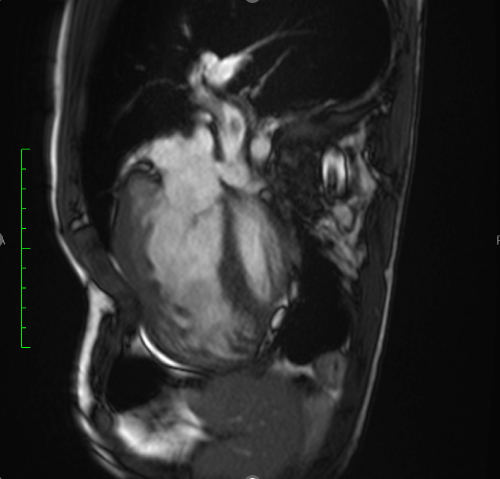
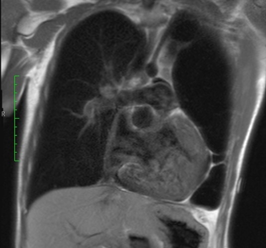
We describe a case of a male patient with left-sided CDH diagnosed prenatally and surgically repaired in the neonatal period. He developed severe PH requiring extracorporeal membrane oxygenation (ECMO), prostaglandins, and prolonged dual therapy with endothelin receptor antagonists (bosentan, macitentan). He was weaned off oxygen at age 3 but required re-initiation at 17 due to progressive desaturation. Additional congenital anomalies included repaired aortic coarctation and multiple abdominal surgeries. At age 20, clinical deterioration followed the introduction of selexipag, with worsening hypoxemia, increased oxygen requirements, and suspicion of pulmonary vascular disease progression. Cardiac catheterization and cross-sectional imaging were attempted but were limited by profound hypoxemia and instability.
Results:
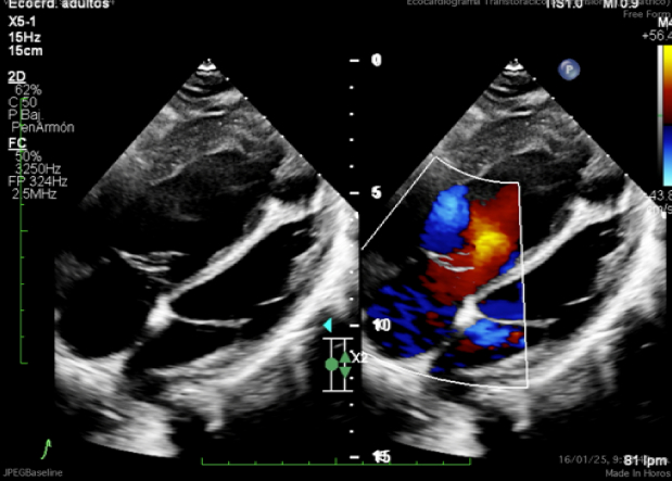
Descriptive findings revealed resting oxygen saturations of 82–85% on 4 L/min supplemental oxygen, WHO functional class III, and echocardiographic signs of right ventricular overload. Laboratory markers showed elevated NT-proBNP (1,347 pg/mL). No evidence of acute thromboembolism was found. Clinical worsening was temporally associated with selexipag initiation. Drug withdrawal led to partial functional and oxygenation recovery. Based on clinical trajectory and ancillary testing, Group 3 PH secondary to developmental lung disease was the working diagnosis. The case was discussed at a national PH board, confirming the suspicion of irreversible pulmonary vascular compromise.
Conclusion:
This case underscores the complex trajectory of PH in survivors of CDH and the risks associated with transitions in pulmonary vasodilator therapy. It highlights the need for long-term multidisciplinary follow-up and raises concerns about late-onset pulmonary vascular deterioration. Novel strategies and biomarkers are needed to better phenotype and risk-stratify this unique patient population.
Use of AI tools:
No automated editing assistance was used.
  • Zayas Hernandez, Nayeli  ( National Heart Institute , Mexico City , Mexico )
  • Solares Zendejas, Regina  ( National Heart Institute , Mexico City , Mexico )
  • Salazar Corona, Rogelio  ( National Heart Institute , Mexico City , Mexico )
  • Vazquez Figueroa, Ana  ( National Heart Institute , Mexico City , Mexico )
  • Author Disclosures:
    Nayeli Zayas Hernandez: DO have relevant financial relationships ; Speaker:ferrer:Expected (by end of conference) ; Advisor:MSD:Expected (by end of conference) | Regina Solares: DO NOT have relevant financial relationships | Rogelio Salazar Corona: No Answer | Ana Vazquez Figueroa: No Answer
Meeting Info:

Scientific Sessions 2025

2025

New Orleans, Louisiana

Session Info:

Clinical Challenges in Pulmonary Hypertension

Sunday, 11/09/2025 , 11:50AM - 01:00PM

Moderated Digital Poster Session

More abstracts on this topic:
Acute Hemodynamic Effects of Sotatercept in Pulmonary Arterial Hypertension

Kremer Nils, Naeije Robert, Ghofrani Ardeschir, Tello Khodr, Thal Bruno, Janetzko Patrick, Yogeswaran Athiththan, Rako Zvonimir, Pullamsetti Soni, Bonnet Sebastien, Seeger Werner, Grimminger Friedrich

Acute Hemodynamic Effects of Sotatercept in Pulmonary Arterial Hypertension

Kremer Nils, Naeije Robert, Ghofrani Ardeschir, Tello Khodr, Thal Bruno, Janetzko Patrick, Yogeswaran Athiththan, Rako Zvonimir, Pullamsetti Soni, Bonnet Sebastien, Seeger Werner, Grimminger Friedrich

You have to be authorized to contact abstract author. Please, Login
Not Available