Logo

American Heart Association

  96
  0


Final ID: Sa3130

Gonococcal Endocarditis of the Native Aortic Valve: A Rare but Aggressive Cause of Valvular Destruction

Abstract Body (Do not enter title and authors here): Introduction
Gonococcal infective endocarditis (IE) is a rare but aggressive complication of disseminated gonococcal infection (DGI), occurring in only 1–2% of DGI cases. While DGI typically presents as a triad of arthralgia, tenosynovitis, and skin lesions, cardiac involvement is very uncommon and often easily missed. We report a unique case of gonococcal IE in a healthy young male without any genitourinary symptoms.

Case Presentation
A 24-year-old male with no past medical history presented to the ED with dull, non-radiating substernal chest pain, worsened by rest and relieved by leaning forward. Vital signs revealed a temperature of 100.3°F and a heart rate of 120 bpm. Physical examination noted a grade 3/6 diastolic murmur, loudest at the left upper sternal border. He denied IV drug use but reported remote oral and vaginal sexual encounters.
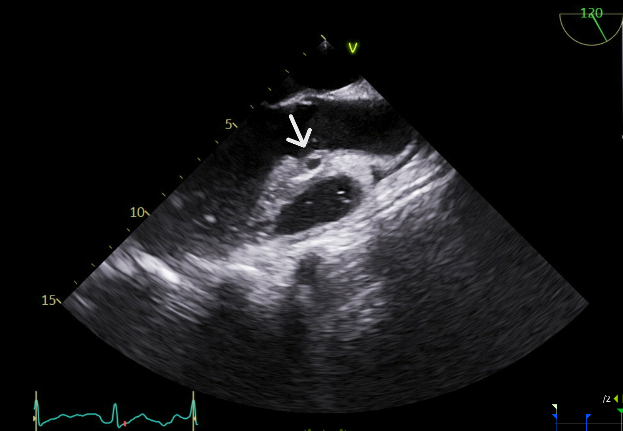
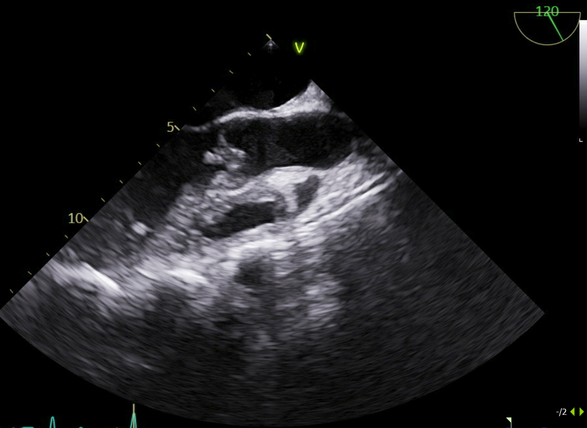
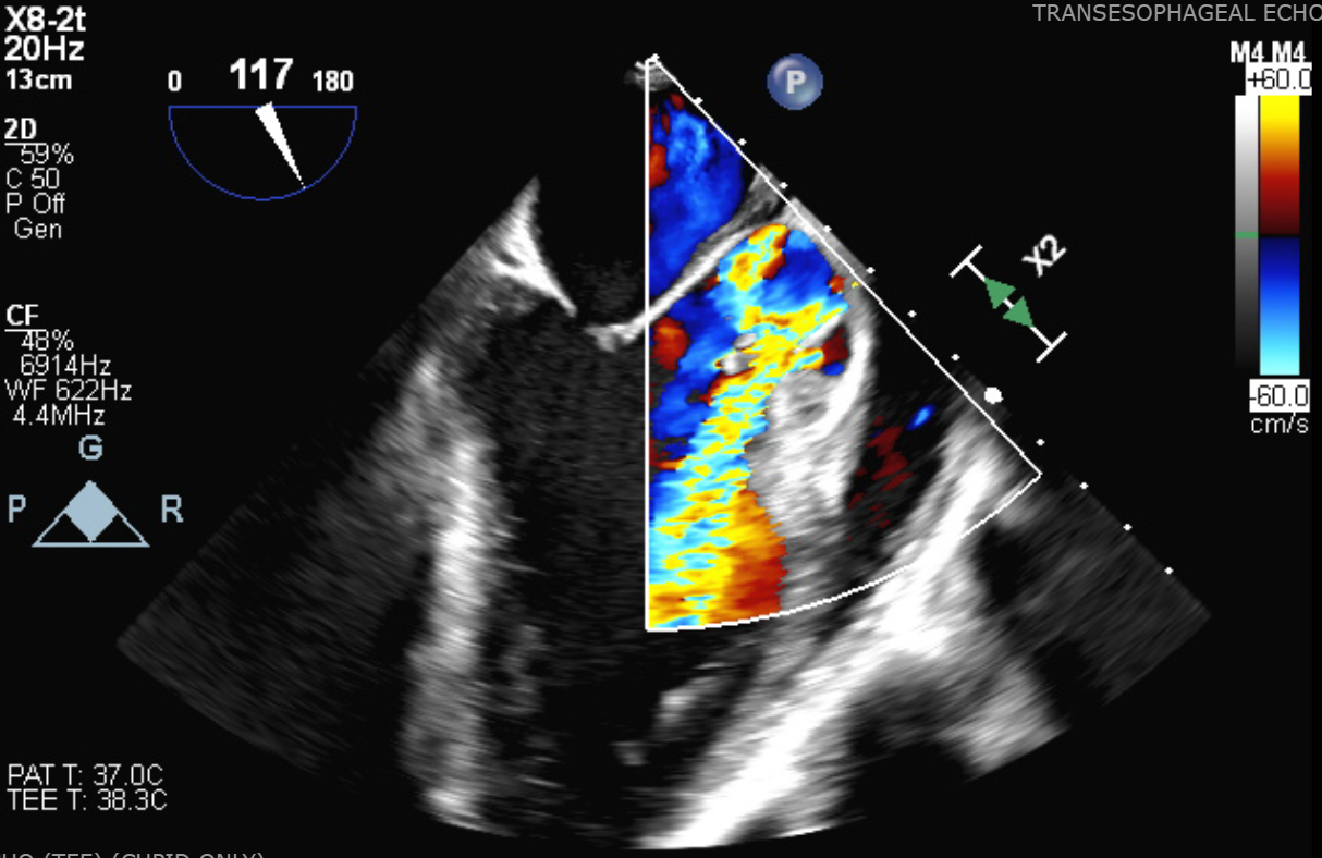
Transthoracic echocardiography (TTE) showed an ejection fraction of 58% with a mobile echodensity on the aortic valve, severe aortic regurgitation, and holo-diastolic flow reversal in the descending aorta. Transesophageal echocardiography (TEE) confirmed a 1.4 × 0.8 cm mobile echogenic mass consistent with vegetation, and an abscess in the right coronary part of the aortic annulus. The patient was started on broad-spectrum antibiotics, including vancomycin and ampicillin-sulbactam.
Intraoperatively, vegetations were observed on the left and right coronary leaflets, with a small perivalvular abscess at the left-right coronary commissure. The aortic valve was reconstructed with a mechanical valve. Blood cultures and throat swabs were positive for Neisseria gonorrhoeae. Surgical pathology revealed moderate to severe acute and chronic inflammation, consistent with acute/subacute infective endocarditis, although tissue Gram stain was negative for definitive bacteria.

Conclusion
Gonococcal IE is an exceedingly rare yet life-threatening entity, with reported mortality rates of 19–20%, likely due to rapid valvular destruction and large vegetations. Interestingly, valve cultures are often sterile, so diagnosis typically relies on blood or mucosal cultures. Given the potentially devastating consequences of delayed recognition, this case emphasizes the importance of considering gonococcal etiology in endocarditis, particularly in young, sexually active individuals without classic symptoms. Reporting such cases helps towards forming evidence-based treatment guidelines and strengthening awareness of this rare presentation.
  • Boyapati, Sri Pranvi  ( LSUHSC University hsptl and clinic , Lafayette , Louisiana , United States )
  • Rajkarnikar, Amit  ( LSUHSC University hsptl and clinic , Lafayette , Louisiana , United States )
  • Benoit, Tina  ( LSUHSC University hsptl and clinic , Lafayette , Louisiana , United States )
  • Wexler, Christopher  ( LSUHSC University hsptl and clinics , Lafayette , Louisiana , United States )
  • Zahm, Caroline  ( LSUHSC University hsptl and clinics , Lafayette , Louisiana , United States )
  • Author Disclosures:
    Sri Pranvi Boyapati: DO NOT have relevant financial relationships | Amit Rajkarnikar: DO NOT have relevant financial relationships | Tina Benoit: DO NOT have relevant financial relationships | Christopher Wexler: No Answer | Caroline Zahm: DO NOT have relevant financial relationships
Meeting Info:

Scientific Sessions 2025

2025

New Orleans, Louisiana

Session Info:

Clinical Mechanisms and Models: Advancing Our Understanding of Valve Pathophysiology

Saturday, 11/08/2025 , 02:30PM - 03:30PM

Abstract Poster Board Session

More abstracts on this topic:
A Remedy for the Heart and the Hemoglobin: Improvement in Anemia Post Transcatheter Aortic Valve Replacement

Matta Raghav, Roy Aanya, Hammad Bayan, Draffen Arvind, Natsheh Zachary, Tiu Daniel, Tiu David, Salem Edward, Balami Jesse, Kalagara Swetha, Gupta Neil, Uraizee Omar, Sahgal Savina, Mishra Atreya, Ene Adriana, Hattab Aleyah, Arora Aarushi, Sufyaan Humam, Dau Trang, Silberstein Jonathan, Yu Julia, Torres Kayla, Seshadri Suhas, Navarro Laura, Singam Manisha, Ismail Mariam, Rana Riya, Habeel Samer, Liu Simon, Chaganti Srinidhi, Gurbuxani Vidur, Dwyer Kaluzna Stephanie, Groo Vicki, Carlson Andrew, Shroff Adhir, Bhayani Siddharth, Khan Azmer, Bhattaram Rohan, Zhang Runze, Shah Pal

A Hemodynamic Warning Sign: Continuous Mitral Regurgitation and Normal Sinus Rhythm

Mahi Ishani, Chowdhury Mahdi, Madan Hritik, Garg Vaani

You have to be authorized to contact abstract author. Please, Login
Not Available