Logo

American Heart Association

  30
  0


Final ID: Su3133

Iatrogenic aortocoronary dissection treated with bail-out stenting and requiring triple therapy: A case report

Abstract Body (Do not enter title and authors here): Introduction: Iatrogenic aortocoronary dissection (IACD) is a life-threatening complication of coronary angiogram.
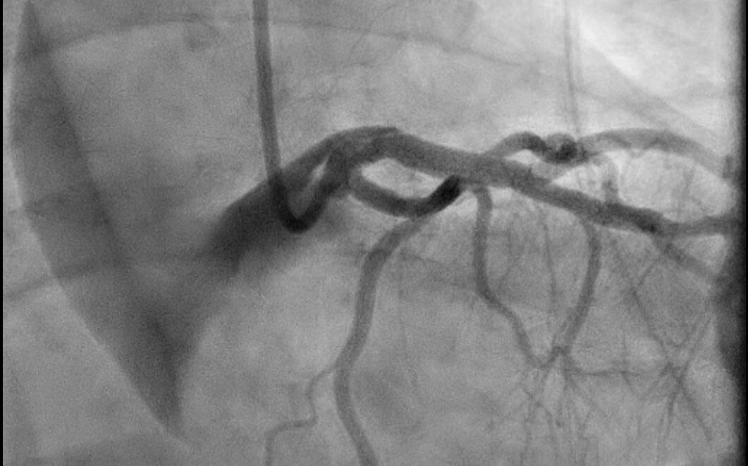
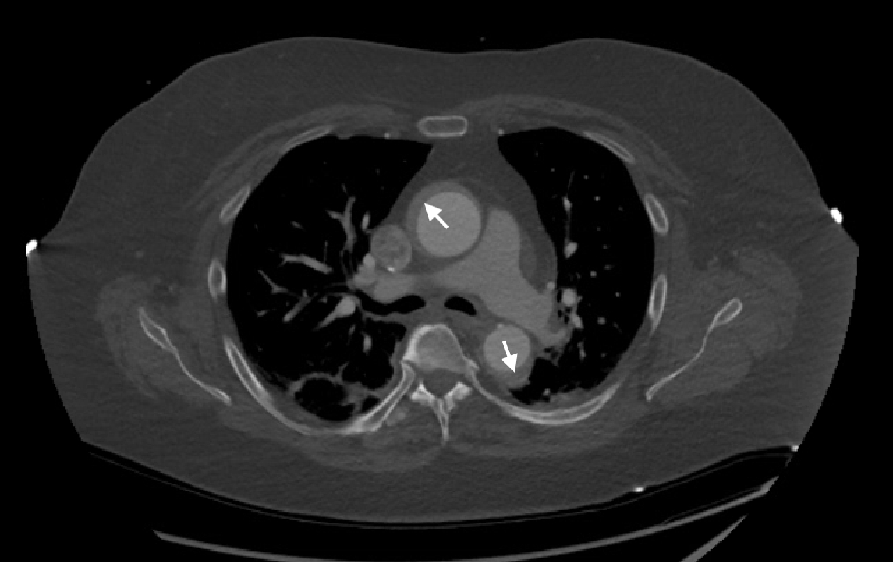
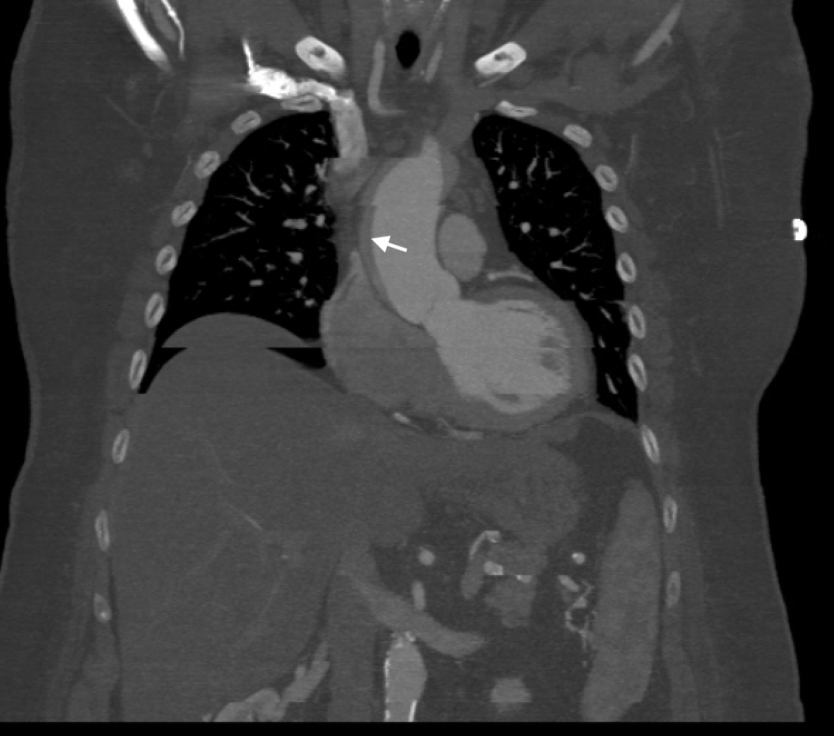
Clinical Case: A 66-year-old female with, history of paroxysmal atrial fibrillation on apixaban and DVT, presented to the emergency department due to epigastric discomfort. Ischemic evaluation was negative. Two weeks later patient had a follow up visit and reported ongoing symptoms. Coronary CT angiography was completed and showed 70-75% stenoses of Left Main and Left Anterior Descending arteries. The patient underwent coronary angiogram, confirming the diagnosis. During guide catheter introduction for IFR measurement, the artery was dissected and the dissection flap extended retrograde to the aortic root and ascending aorta. Prompt placement of a drug eluting stent in the left main was performed. Post-dilation, the dissection flap had closed. Patient was started on IV cangrelor, high dose beta blocker and transferred to the cardiac ICU. CTA chest demonstrated dissection flap in ascending and descending aorta. Cardiothoracic surgery was consulted and opted to observe with follow up imaging as patient was hemodynamically stable. Follow up CT chest showed a stable dissection flap, IV cangrelor was switched to aspirin and clopidogrel, and home apixaban was resumed. Hospital course was uneventful except for an episode of atrial fibrillation with rapid ventricular response, treated accordingly with beta blocker and amiodarone. CT chest in one month demonstrated an increase in aortic intramural thickness from 3.3mm to 9mm. Aspirin and apixaban were discontinued and retrievable IVC filter was placed. CT chest one month later demonstrated complete resolution of ascending intra-mural hematoma. Patient’s apixaban was resumed. CT chest in two weeks showed no new hematoma. IVC filter was removed and patient remained asymptomatic during the follow up course. Given patient had family history of aortic aneurysm and dissection, genetic testing was pursued and was negative.
Discussion: This patient had a rare, extensive IACD with extension to descending aorta which was managed medically. This patient required treatment with anti-coagulation, however due to expansion of hematoma, the risk of aortic rupture compared to stroke/clotting risk was deemed to be higher. She also was treated aggressively with high dose beta-blocker, as tolerated, to keep her heart rate below 60. Along with holding aspirin, these strategies resulted in hematoma resolution.
  • Kloster, Alex  ( University of Toledo , Perrysburg , Ohio , United States )
  • Sherafati, Alborz  ( University of Toledo , Perrysburg , Ohio , United States )
  • Songco, A Vincent  ( University of Toledo , Perrysburg , Ohio , United States )
  • Younes, Ahmad  ( Promedica , Toledo , Ohio , United States )
  • Younes, Stephanie  ( Promedica , Toledo , Ohio , United States )
  • Author Disclosures:
    Alex Kloster: DO NOT have relevant financial relationships | Alborz Sherafati: DO NOT have relevant financial relationships | A Vincent Songco: No Answer | Ahmad Younes: DO have relevant financial relationships ; Speaker:Abbot Laboratories:Active (exists now) | Stephanie Younes: DO have relevant financial relationships ; Speaker:Angiodynamics:Active (exists now)
Meeting Info:

Scientific Sessions 2025

2025

New Orleans, Louisiana

Session Info:

Life as a Vascular Medicine Specialist: Cases and Clinical Experiences

Sunday, 11/09/2025 , 11:30AM - 12:30PM

Abstract Poster Board Session

More abstracts on this topic:
Adipocyte TRPM7 promotes aortic dissection by accelerating SMC phenotype switching

Wang Mi, Gao Min

An Assessment of the Baseline Characteristics of Participants in the Pilot THRIVE Food is Medicine Study

Washington India, Demarco Samantha, Tomiwa Tosin, Olusola-bello Mojisola, Kyeremeh Djanee, Mcmahon Adrian, Kramer Maya, Saldarriaga Maricielo, Chen Peiyu, Rodriguez Christy, Johnson Mia, Song Shanshan, Xiao William, Gledhill Samuel, Yeboah-manson Samuel, Kurien Natania, Vassiliadi Lydia, Freeman Jennifer, Izquierdo-porrera Anna Maria, Palencia Lessly, Sullivan Valerie, Commodore-mensah Yvonne, Alvarez Kiara, Ogungbe Bunmi, Akubo Chelsea, Adeleye Khadijat, Iribe Irma, Assani-uva Adeline, Dugbartey Janice, Sinyan Aminata

More abstracts from these authors:
Increased Arachidonic Acid Eicosanoids in African Americans with Heart Failure with Preserved Ejection Fraction

Khatib-shahidi Bella, Gupta Rajesh, Khouri Samer, Aradhyula Vaishnavi, Fares Anas, Dube Prabhatchandra, Sherafati Alborz, Kloster Alex, Khuder Sadik, Haller Steven, Kennedy David

Association Between Right Ventricular-Pulmonary Arterial Coupling and Outcomes in Patients with Heart Failure with Preserved Ejection Fraction

Sherafati Alborz, Dragomirescu Catalin, Brewster Pamela, Kennedy David, Gupta Rajesh, Khouri Samer, Kloster Alex, Manandhar Sareeta, Fares Anas, Aradhyula Vaishnavi, Dube Prabhatchandra, Elzanaty Ahmed, Sajdeya Omar, Khatib-shahidi Bella

You have to be authorized to contact abstract author. Please, Login
Not Available