Logo

American Heart Association

  23
  0


Final ID: Sa3129

Beyond Bacteremia: A Rare Group B Streptococcus Endocarditis Presenting as Persistent Encephalopathy

Abstract Body (Do not enter title and authors here): Background:
Infective endocarditis (IE) is a life-threatening infection of the endocardial surface of the heart. Streptococcus agalactiae is a rare but aggressive cause of IE, typically associated with large vegetations and high embolic potential. Diagnosis can be challenging due to its rapid progression and non-specific symptoms.

Case Description:
A 64-year-old male with a history of type 2 diabetes mellitus and alcohol use disorder presented with one day of confusion. He was admitted to the ICU for encephalopathy, sepsis, and atrial fibrillation with rapid ventricular response.
Initial encephalopathy workup ruled out toxic, structural, and metabolic causes. Lumbar puncture ruled out meningitis. Blood cultures grew Streptococcus agalactiae, and appropriate IV antibiotics were initiated. Given possible IE per Duke’s criteria, a transthoracic echocardiogram (TTE) was obtained but was unremarkable.
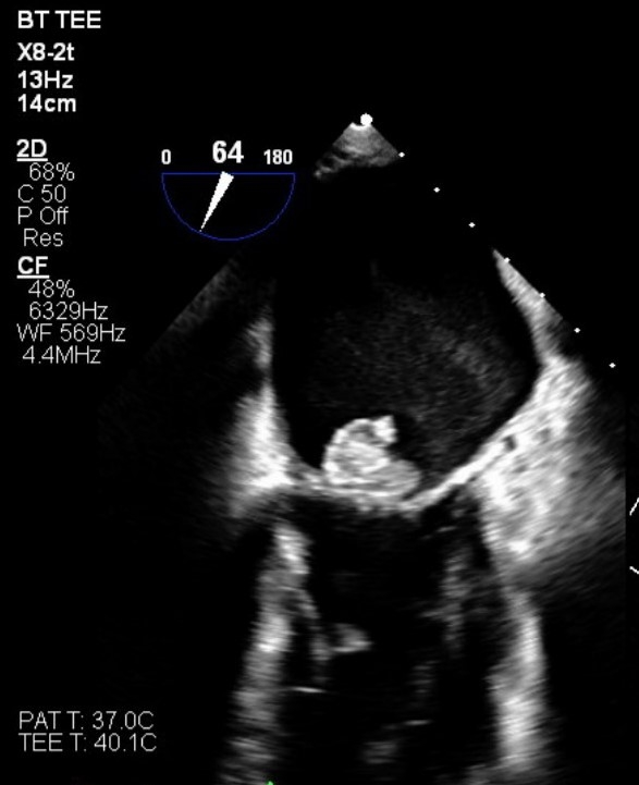
The patient was stabilized and transferred to the general medicine ward. He remained encephalopathic with persistent leukocytosis, raising concern for occult untreated infection. A detailed physical examination revealed midline thoracic and lumbar spine tenderness and a swollen right wrist and hand. MRI imaging confirmed T8-T9 and L3-L4 discitis-osteomyelitis with spinal epidural abscesses, as well as right wrist septic arthritis. Given concern for septic emboli being the source of multifocal infection, further evaluation with transesophageal echocardiogram (TEE) was performed; this revealed a 1.4 x 1.6 cm vegetation on the posterior mitral leaflet, without significant regurgitation or stenosis.
The patient underwent incision and drainage of spine and wrist, which resolved leukocytosis and encephalopathy. He was discharged in stable condition on IV antibiotics, pending outpatient evaluation for mitral valve replacement.

Discussion:
This case highlights a unique clinical presentation, caused by a rare infectious etiology of IE. Although the initial TTE was negative, the patient’s persistent leukocytosis and encephalopathy on appropriate antibiotic therapy prompted reevaluation, with recognition of subtle physical exam findings leading to more targeted imaging. This case emphasizes that a negative TTE does not exclude IE, having a sensitivity of 50-60%, thus warranting further exploration with TEE when clinically suspicious.
Ultimately the fundamentals of medicine —ongoing reassessment and a thorough physical exam— were the key drivers in overcoming diagnostic uncertainty.
  • Garza, Miguel  ( Baylor College of Medicine , Houston , Texas , United States )
  • Rizwan, Affan  ( Baylor College of Medicine , Houston , Texas , United States )
  • Espino, Luis  ( Baylor College of Medicine , Houston , Texas , United States )
  • Author Disclosures:
    Miguel Garza: DO NOT have relevant financial relationships | Affan Rizwan: DO NOT have relevant financial relationships | Luis Espino: No Answer
Meeting Info:

Scientific Sessions 2025

2025

New Orleans, Louisiana

Session Info:

Clinical Mechanisms and Models: Advancing Our Understanding of Valve Pathophysiology

Saturday, 11/08/2025 , 02:30PM - 03:30PM

Abstract Poster Board Session

More abstracts on this topic:
Annulo-Leaflet Mitral Ring – A Distinct Form of Valvar Endocardial Fibroelastosis

Von Piechowski Magnus, Del Nido Pedro, Friehs Ingeborg, Diaz-gil Daniel, Saraci Kerstin, Rech Lavinia, Lang Nora, Marx Gerald, Carreon Chrystalle, Sanders Stephen, Emani Sitaram

Analysis of In-Hospital Outcomes of Transcatheter Edge-to-Edge Repair of Mitral Valve in Patients with and without COVID-19: Insights from the National Inpatient Sample Data (2020-2021)

Agrawal Siddharth, Raval Maharshi, Shah Aalesh, Sanghvi Labdhi, Bhatia Hitesh, Siddiq Sajid

You have to be authorized to contact abstract author. Please, Login
Not Available