Logo

American Heart Association

  67
  0


Final ID: MP2528

The Wandering Iliac Venous Stent That Broke the Right Heart: A Case of Migrating Stent Caused Severe Tricuspid Valve Regurgitation

Abstract Body (Do not enter title and authors here): Introduction:

Venous Stent migration to the cardiopulmonary system is a rare complication of endovascular stenting. Most reported stent embolizations originate from central thoracic veins, upper extremity, dialysis fistulas, or renal veins. Migration from iliac veins is rarely reported. Complications include valvopathy, acute heart failure ( AHF), arrhythmias, endocarditis, or tamponade. Endovascular extraction is the first-line intervention, though surgical extraction may be required. We present a patient with stent migration resulting in severe tricuspid regurgitation (TR) and AHF.

Case presentation:

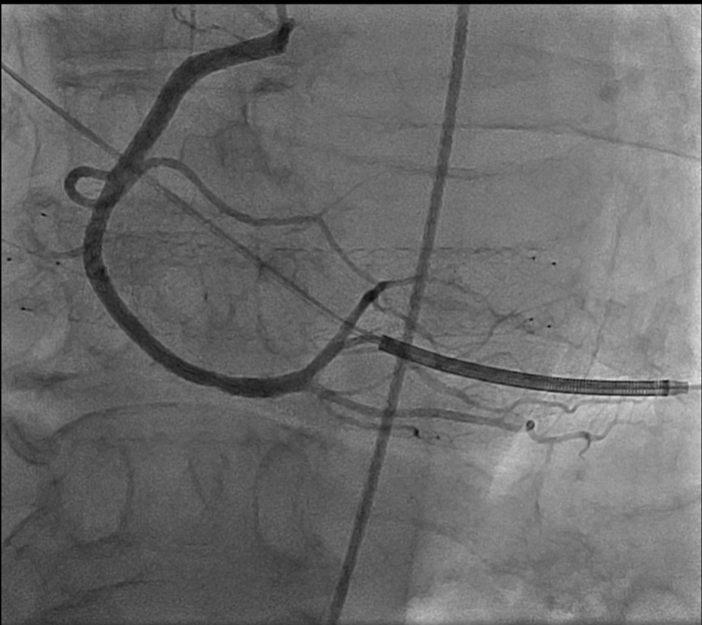
A 69-year-old male with extensive cardiac and peripheral vascular disease. Presented to our clinic with episodes of dizziness, dyspnea, and chest pain. Episodes occur during the day, relieved with rest. Examination was significant for systolic murmur, healed foot ulcer, moderate lower extremity swelling, and varicose veins. Patient has received a (16 x 100 Zilver venous stent) for severe stenosis in the left iliac vein in 3/2022. Transthoracic echocardiography showed an echodense tubular structure measuring 10 x 2 centimeters, resembling a stent, in the right atrium crossing the tricuspid valve into the right ventricle and holding the tricuspid valve open, causing severe TR. Cardiac catheterization was performed, confirming the stent position. The patient underwent surgical extraction of the stent and tricuspid valve repair.


Discussion:

Stent migration, though rare, can cause AHF and valvopathy. It should be suspected in patients with a prior venous stenting. Studies suggest that stent migration may result from respiratory-induced changes in vein diameter. As veins dilate, the stent expands and shortens, which can contribute to migration. Our patient with a history of stenting in the left iliac vein experienced symptoms of AHF and leaflet damage requiring valve repair. Percutaneous extraction with a snare can be attempted, but it often fails, especially when the stent is poorly positioned or causes valvular damage, leading to the need for open-heart surgery. The use of self-expanding bare metal stents may reduce migration by providing better vessel wall opposition. Serial imaging is also recommended to ensure long-term stent position and prevent dangerous complications.

Conclusion:

Stent migration into the cardiopulmonary system is rare but serious. Percutaneous retrieval is possible, but valvular involvement may require open-heart surgery with valve repair.
  • Almerstani, Muaaz  ( HMH mountainside medical center , Montclair , New Jersey , United States )
  • Sheikh, Omar  ( HMH mountainside medical center , Montclair , New Jersey , United States )
  • Mohammed, Habeeb  ( HMH mountainside medical center , Montclair , New Jersey , United States )
  • Soliman, Isaac  ( HMH mountainside medical center , Montclair , New Jersey , United States )
  • Khalid, Mazin  ( HMH mountainside medical center , Montclair , New Jersey , United States )
  • Author Disclosures:
    Muaaz Almerstani: DO NOT have relevant financial relationships | Omar Sheikh: DO NOT have relevant financial relationships | Habeeb Mohammed: No Answer | Isaac Soliman: DO NOT have relevant financial relationships | Mazin Khalid: No Answer
Meeting Info:

Scientific Sessions 2025

2025

New Orleans, Louisiana

More abstracts on this topic:
A Novel Composite Artificial Intelligence-Electrocardiography Risk Score Is Independently Associated with Mortality in Chronic Tricuspid Regurgitation

Ciobanu Andrea, Pellikka Patricia, Kane Garvan, Pislaru Sorin, Anand Vidhu, Naser Jwan, Wood Julia, Friedman Paul, Vinereanu Dragos, Nkomo Vuyisile, Pislaru Cristina, Lara-breitinger Kyla, Thaden Jeremy

A Tale of Two Surgeries: Single Stage Versus Two Staged Approach to Creating an Ovine Model of Fontan Palliation

Kievert Jennifer, Morrison Adrienne, Nelson Kirsten, Heuer Eric, Shinoka Toshiharu, Breuer Christopher, Carrillo Sergio Alejandro, Kelly John, Spiess Joshua, Deshetler Cameron, Yuhara Satoshi, Watanabe Tatsuya, Jimenez Michael, Naguib Aymen, Mckee Christopher, Yates Andrew

You have to be authorized to contact abstract author. Please, Login
Not Available