Logo

American Heart Association

  57
  0


Final ID: MP90

A Rare Unusual Location Of A Papillary Fibroelastoma Originating From The Coumadin Ridge

Abstract Body (Do not enter title and authors here): Introduction: Primary heart tumors are rare, about 0.02% of cases with nearly half of all benign heart tumors being myxomas, while lipomas, papillary fibroelastomas and rhabdomyomas each make up about 10%. Fibroelastomas mostly originate on the mitral or aortic valves; less frequently on the tricuspid valve, ventricular or atrial septum. We present a unique case of a fibroelastoma originating from the coumadin ridge.
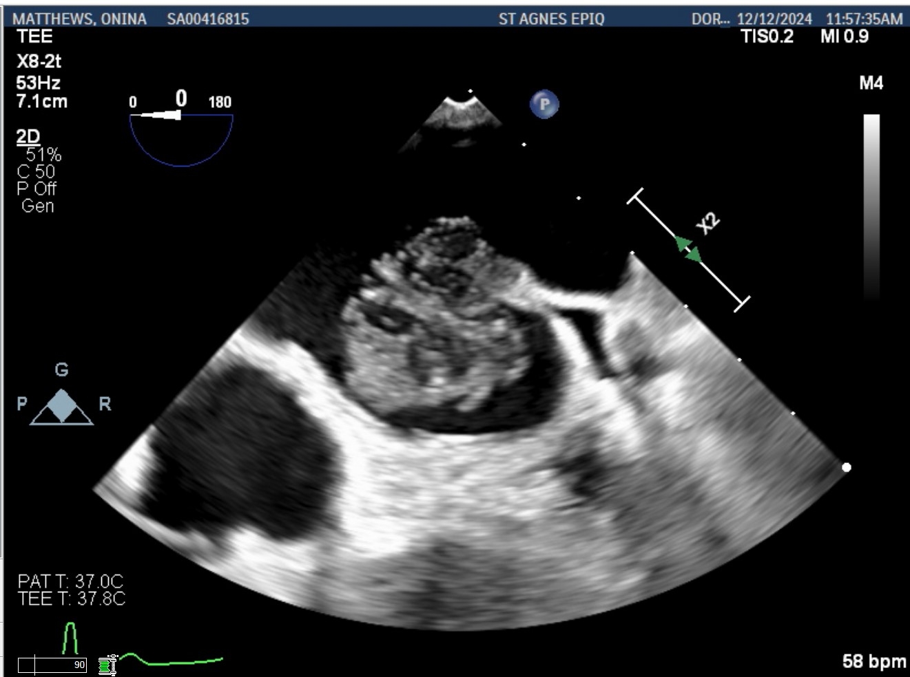
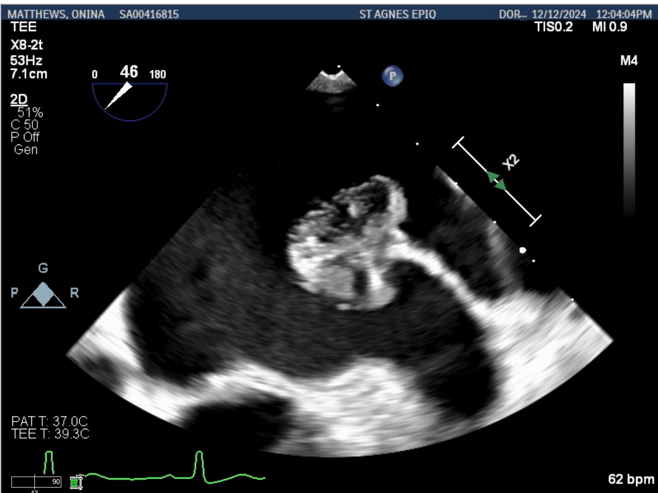
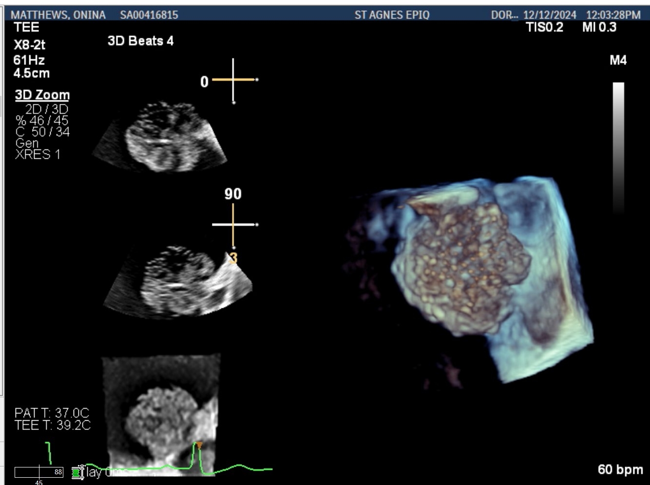
Case Presentation: A 70-year-old woman was evaluated for a TAVR workup due to recent worsening of fatigue and dyspnea. Physical examination revealed grade three ejection systolic murmur with diminished S2 and severe aortic stenosis was noted on transthoracic echocardiogram. Cardiac CT showed an atrial mass. Transesophageal echocardiography demonstrated a heterogenous left atrial mass measuring 2.7 x 2.4 cm; originates from the tip of the Coumadin ridge, independently mobile with a dandelion-like gelatinous appearance, and did not take up Definity contrast (Figures 1, 2, 3). The patient underwent surgical aortic valve replacement with mass excision through the interatrial septum. Pathologic examination revealed 2.5 x 2.2 x 1.5 cm tan-white, villous, gelatinous soft tissue consistent with fiberoelastoma.
Discussion: Fibroblastoma varies in size 2-70 mm, with over 80% on the heart valves and rarely in extravalvular cardiac structures. They may be symptomatic or discovered incidentally during evaluations for other conditions. Coumadin ridge (Left atrial ridge or fold) is an anatomical structure in the left atrium characterized by a prominent ridge of tissue between the left atrial appendage and the left superior pulmonary vein. The prevalence of this location is not explicitly documented in the literature, with only a few rare case reports describing such occurrences. They are typically pedunculated, mobile and often flutter or prolapse with cardiac motion and better detected on transesophageal echocardiography. Surgical intervention is recommended as per American Heart Association/ American Stroke Association guidelines for symptomatic tumors and > 1 cm, or mobile and even asymptomatic due to the high risk of embolic events. Resection can be performed safely with native valve preservation and excellent long-term outcomes.
Conclusion: This case emphasizes the need to consider uncommon tumor locations, like Coumadin ridge, and the critical role of comprehensive cardiac imaging while evaluation of intracardiac masses.
  • Fahed, Joud  ( Ascension Saint Agnes Hospital , Baltimore , Maryland , United States )
  • Zerihun, Wongelawit  ( Ascension Saint Agnes Hospital , Baltimore , Maryland , United States )
  • Moodie, Danhue  ( Ascension Saint Agnes Hospital , Baltimore , Maryland , United States )
  • Sigdel, Kaushal  ( Ascension Saint Agnes Hospital , Baltimore , Maryland , United States )
  • Voss, Matthew  ( Ascension Saint Agnes Hospital , Baltimore , Maryland , United States )
  • Doran, Jesse  ( Ascension Saint Agnes Hospital , Baltimore , Maryland , United States )
  • Author Disclosures:
    Joud Fahed: DO NOT have relevant financial relationships | Wongelawit Zerihun: DO NOT have relevant financial relationships | Danhue Moodie: DO NOT have relevant financial relationships | Kaushal Sigdel: No Answer | Matthew Voss: No Answer | Jesse Doran: No Answer
Meeting Info:

Scientific Sessions 2025

2025

New Orleans, Louisiana

Session Info:

Clinical Case: Cardio-Onc

Saturday, 11/08/2025 , 09:15AM - 10:25AM

Moderated Digital Poster Session

More abstracts on this topic:
12-lead electrocardiograms predict adverse cardiovascular outcomes of emergency department patients

Haimovich Julian, Kolossvary Marton, Alam Ridwan, Padros I Valls Raimon, Lu Michael, Aguirre Aaron

4D Cardiac Magnetic Resonance Identifies Differences in Regional Strain Patterns Among Pediatric Heart Transplant Patients with Acute Rejection or Cardiac Allograft Vasculopathy

Henderson Christopher, Starnes Joseph, Samyn Margaret, Damon Bruce, Hernandez Lazaro, Goergen Craig, Soslow Jonathan, Prado Marco Aurélio, Earl Conner, Georgedurrett Kristen, Lee Simon, Nandi Deipanjan, Chan Kak-chen, Shugh Svetlana, Kikano Sandra

You have to be authorized to contact abstract author. Please, Login
Not Available