Logo

American Heart Association

  55
  0


Final ID: MP89

Reversible Right Ventricular Dysfunction Secondary to Metastatic Diffuse Large B Cell Lymphoma

Abstract Body (Do not enter title and authors here): Presentation
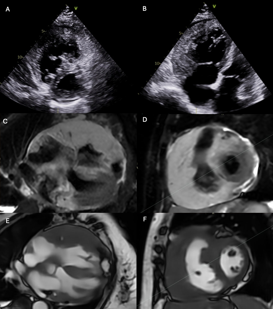
A 78-year-old female with hypertension and chronic kidney disease was discharged from an outside hospital after a diagnostic and therapeutic pericardiocentesis with cytology indicating B-cell lymphoma. Prior to outpatient follow up, she presented with worsening dyspnea. She was hemodynamically stable. Hs troponin T was 949 ng/L and pro-BTNP 12,015 pg/mL. EKG - sinus rhythm with 1st degree AV block. Transthoracic echocardiogram (TTE) revealed a small pericardial effusion and a large mass that infiltrated the free wall of the right ventricle (RV) (figure 1). RV systolic function was severely reduced with RV free wall strain (RVFWS) -0.4%.

Cardiac MRI (CMRI) showed thickening and edema consistent with extensive infiltration from B-cell lymphoma of the RV free wall, RA, basal anteroseptum of the LV, and circumferentially in the atrioventricular groove (figure 1). Quantitative LVEF was 48% with focal hypokinesis of the basal septum. RVEF was 32% with akinesis of most of the RV free wall.

Bone marrow biopsy confirmed diffuse large B-cell lymphoma. She was initiated on DA-EPOCH-R in the CCU without complication. Serial TTE showed rapid regression of lymphoma after 1 cycle with normalization of RV function RVFWS -22.3%.

Discussion
Primary cardiac lymphoma is rare, but secondary cardiac lymphoma occurs in ~25% of disseminated cases. B-cell non-Hodgkin lymphomas are the most common subtype that metastasize to the heart1. Clinical manifestations depend on tumor location, size, and extent of myocardial/pericardial invasion2. Patients report dyspnea (64%), chest pain (24%), and constitutional symptoms1. Arrhythmias and heart block can occur with conduction system involvement.

RA and RV are the most common sites of cardiac lesions, often with extension to adjacent pericardium and involvement of multiple chambers1. TTE and CMRI may show wall thickening, endocardial/epicardial involvement, invasion of coronary vasculature, and effusions2.

In our patient, extensive infiltration of the RV free wall resulted in heart failure. TTE with RV strain identified RV dysfunction secondary to tumor infiltration and subsequent rapid improvement following initiation of chemotherapy. CMRI was useful to fully characterize the location and extent of cardiac infiltration.

1. Jeudy J et al. Cardiac Lymphoma. Radiol Clin North Am. 2016 Jul;54(4):689-710.
2. Bonelli A et al. Cardiac lymphoma with early response to chemotherapy. J Nucl Cardiol. 2022 Dec;29(6):3044-3056. Epub 2021 Mar 11.
  • Huang, Venus  ( University of Massachusetts Chan School of Medicine , Worcester , Massachusetts , United States )
  • Gubala, Anna  ( University of Massachusetts Chan School of Medicine , Worcester , Massachusetts , United States )
  • Senser, Ethan  ( University of Massachusetts Chan School of Medicine , Worcester , Massachusetts , United States )
  • Author Disclosures:
    Venus Huang: DO NOT have relevant financial relationships | Anna Gubala: DO NOT have relevant financial relationships | Ethan Senser: DO NOT have relevant financial relationships
Meeting Info:

Scientific Sessions 2025

2025

New Orleans, Louisiana

Session Info:

Clinical Case: Cardio-Onc

Saturday, 11/08/2025 , 09:15AM - 10:25AM

Moderated Digital Poster Session

More abstracts on this topic:
High Throughput 3D-Printed Human Engineered Heart Tissues for Cardiac Disease Modeling

Juarros Miranda, Dhand Abhishek, Martin Thomas, Valle-ayala Henry, Hunt Dakota, Burdick Jason, Leinwand Leslie

Brain arteriolar remodeling relates to Alzheimer pathology and neuroinflammation

Garzon Mancera Nicolas, Spagnolo-allende Antonio, Flaherty Delaney, Orlando Quiiroles Lucas, Chou Lindsey, Paiva Bueno Pedro, Yang Dixon, Kiliaan Amanda, Bos Daniel, Dwork Andrew, Schneider Julie, Barreto Brenno, Teich Andrew, Gutierrez Jose, Hassett James Stokes, Dohmen Tren, Sole Guardia Gemma, Kozii Khrystyna, Zambrano Daniela, Ramaswamy Srinath, Cadena Tejada Angel

More abstracts from these authors:
Epicardial Fat Predicts Heart Failure in Atrial Fibrillation Through Associations with Cardiac Remodeling

Hamel Alexander, Mcmanus David, Tran Khanh-van, Orwig Taylor, Ngoc Tran Bao, Vogt Bella, Senser Ethan, Hegde Shruti, Lee Jungae, Parker Matthew, Fitzgibbons Timothy

You have to be authorized to contact abstract author. Please, Login
Not Available