Logo

American Heart Association

  41
  0


Final ID: MP693

Fatal Bilateral Septic Embolic Stroke from Left Atrial Roof Endocarditis Following Atrial Fibrillation and Flutter Ablation

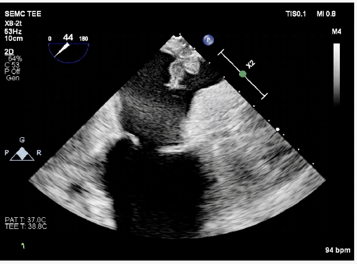
Abstract Body (Do not enter title and authors here): A 67-year-old male with prior CABG (2022), atrial fibrillation, and dual-chamber pacemaker (implanted November 2024) underwent radiofrequency ablation for atrial fibrillation with additional cavotricuspid isthmus ablation for typical flutter in April 2025, continuing Apixaban post-ablation. Thirty-five days later, he presented with sudden-onset slurred speech and left-sided weakness that resolved within 10 minutes. Two hours later, he developed facial droop, aphasia, and left hemiparesis. CT head negative;CTA head/neck showed moderate bilateral carotid stenosis and distal right vertebral artery narrowing. On hospital day two, he developed fever and worsening shortness of breath, requiring ICU transfer for NIV support. CT chest ruled out pulmonary embolism. Blood cultures grew Streptococcus mitis, and broad-spectrum antibiotics were started. He was intubated to facilitate MRI brain, which revealed extensive bilateral supratentorial embolic infarcts with vasogenic edema and microhemorrhages. Transthoracic echocardiogram was inconclusive; transesophageal echocardiography revealed a 1.7 × 1.0 cm mobile echodensity on the roof of the left atrium (Image 1). The left atrial appendage was thrombus-free, and no vegetations were seen on the visible pacemaker lead. Apixaban was discontinued due to cerebral hemorrhage. Despite ICU-level care, the patient developed septic shock, acute kidney injury, and multiorgan failure. After discussion with family, he was transitioned to comfort care and died on hospital day six.

Discussion:

This case illustrates a rare but fatal complication of post-ablation infective endocarditis. While vegetations typically involve valvular surfaces, ablation-induced transmural injury may expose thrombogenic and infectable endocardium. The left atrial roof is an unusual site for vegetation but anatomically plausible following ablation. Streptococcus mitis, a viridans group streptococcus, may preferentially seed areas of prior endothelial injury. Early transesophageal echocardiography plays a critical role in identifying non-valvular vegetations, guiding antimicrobial therapy, and informing anticoagulation decisions. To our knowledge, this is the first reported case of left atrial roof endocarditis following atrial flutter and fibrillation ablation presenting with extensive bilateral septic embolic stroke. Clinicians should maintain a high index of suspicion for atypical IE in the post-ablation period, particularly in patients with cardiac devices.
  • Easow, Benjamin M  ( Southeast Health , Dothan , Alabama , United States )
  • Mathew, Tijin  ( Southeast Health , Dothan , Alabama , United States )
  • Aliabadi, Darius  ( Southeast Health , Dothan , Alabama , United States )
  • Author Disclosures:
    Benjamin M Easow: DO NOT have relevant financial relationships | Tijin Mathew: No Answer | Darius Aliabadi: DO NOT have relevant financial relationships
Meeting Info:

Scientific Sessions 2025

2025

New Orleans, Louisiana

Session Info:

Out of Sync: Puzzling Cases in Electrophysiology

Saturday, 11/08/2025 , 03:15PM - 04:30PM

Moderated Digital Poster Session

More abstracts on this topic:
Aggressive Risk factor REduction STudy for Atrial Fibrillation (ARREST-AF) implications for ablation outcomes: A Randomized Clinical Trial

Pathak Rajeev, Mahajan Rajiv, Abhayaratna Walter, Kalman Jonathan, Sanders Prashanthan, Elliott Adrian, Lau Dennis, Middeldorp Melissa, Linz Dominik, Fitzgerald John, Ariyaratnam Jonathan, Malik Varun, Noubiap Jean Jacques

Age- and Sex- Differences in the Accuracy of Rule-based Natural Language Processing Models for Identification of Pulmonary Embolism

Krishnathasan Darsiya, Jimenez David, Monreal Manuel, Secemsky Eric, Klok Erik, Hunsaker Andetta, Aghayev Ayaz, Muriel Alfonso, Hussain Mohamad, Appah-sampong Abena, Aneja Sanjay, Rashedi Sina, Mojibian Hamid, Goldhaber Samuel, Wang Liqin, Zhou Li, Krumholz Harlan, Piazza Gregory, Bikdeli Behnood, Khairani Candrika, Bejjani Antoine, Lo Ying-chih, Zarghami Mehrdad, Mahajan Shiwani, Caraballo Cesar, Jimenez Ceja Jose Victor

More abstracts from these authors:
You have to be authorized to contact abstract author. Please, Login
Not Available