Logo

American Heart Association

  63
  0


Final ID: MP2110

Caught Between a Clot and a Bleed: Using Transcranial Doppler Microemboli Monitoring to Determine Anticoagulation Management in a Stroke Patient with Mitral Valve Thrombus and Intracranial Hemorrhage

Abstract Body (Do not enter title and authors here): Description of Case:
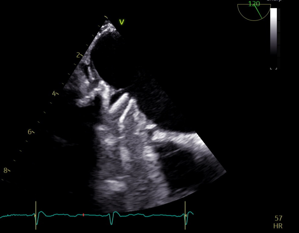
A 47-year-old female with history of thrombophilia (PAI-1 4G/4G genotype), Barlow syndrome with native leaflet repair then mechanical mitral valve (MV) replacement on warfarin, and previous stroke due to MV thromboembolism, presented with more than 24-hour onset of expressive aphasia. CT head showed showed acute ischemic stroke (AIS) in left parietal lobe with left middle cerebral artery (MCA) distal occlusion on CTA-head despite warfarin use and therapeutic INR-2.5. Within hours of admission, she had neurological deterioration and brain MRI demonstrated new left frontal-temporal intracranial hemorrhage (ICH) with cerebral herniation. She emergently received 4F-PCC/vitamin K, underwent decompression craniectomy. TTE showed MV severe stenosis. TEE (Figure 1) confirmed MV thrombus, similar embolic mechanism to prior AIS. To balance the concomitant high risks of strokes given mechanical MV thrombus requiring uninterrupted anticoagulation (AC) and ICH recurrence with AC, she was started on low-dose heparin infusion without bolus day 8. Transcranial Doppler (TCD) (Figure 2) was utilized to determine risk of cerebral embolization from MV thrombus via detection of microemboli or high-intensity transient signals (HITS) within bilateral MCA. Although patient anticoagulated with heparin, we detected 16 HITS in 15 mins of embolic monitoring suggesting high risk of recurrent ischemic stroke. AC was switched to enoxaparin at 1mg/kg twice daily and repeated TCD-emboli on day 15 showed continued AIS risk with 11 HITS even with a therapeutic anti-Xa level of 0.7 (goal 0.6-1.0). Enoxaparin dosage increased guided by emboli monitoring until HITS resolved. She was discharged to stroke rehab with plan to bridge to warfarin (INR goal 3.5-4.0) after 4 week. At one-month follow-up, she remained on warfarin 10mg daily with therapeutic INR and free of recurrent AIS or ICH.
Discussion: Microembolic signals detected on TCD can be used as biomarkers to predict stroke risk and guide therapeutic interventions. Our patient was at risk of further ICH after decompressive hemicraniectomy but without anticoagulation she had high risk of embolic stroke from mechanical MV thrombus. TCD emboli monitoring played a pivotal role in guiding the timing of AC initiation and determining the therapeutic dose to reduce risk of both recurrent emboli and hemorrhagic complications.
  • Vo, Phuong Uyen  ( Summa Health , Akron , Ohio , United States )
  • Slabic, Andrew  ( Summa Health , Akron , Ohio , United States )
  • Bower, Matthew  ( Summa Health , Akron , Ohio , United States )
  • Hepburn, Madihah  ( Summa Health , Akron , Ohio , United States )
  • Author Disclosures:
    Phuong Uyen Vo: DO NOT have relevant financial relationships | Andrew Slabic: DO NOT have relevant financial relationships | Matthew Bower: No Answer | Madihah Hepburn: DO NOT have relevant financial relationships
Meeting Info:

Scientific Sessions 2025

2025

New Orleans, Louisiana

Session Info:

Hemorrhage, Aneurysm, and Neurovascular Risk: Complexities and Clinical Decisions

Monday, 11/10/2025 , 12:15PM - 01:10PM

Moderated Digital Poster Session

More abstracts on this topic:
Flow cytometry thrombus biomarkers for improved cardioembolic etiology prediction in patients with cryptogenic stroke: a sub-analysis of the ITACAT study

Canals Pere, Garcia-tornel Garcia-camba Alvaro, Rodriguez-villatoro Noelia, Rubiera Marta, Boned Sandra, Muchada Marian, Olive-gadea Marta, Lozano Prudencio, Coscojuela Pilar, Li Jiahui, Sanjuan Estela, Juega Jesus, Dorado Laura, Hernandez-perez Maria, Quesada Helena, Cardona Pedro, De La Torre Carolina, Gallur Laura, Alvarez Sabin Jose, Molina Carlos, Pagola Jorge, Ribo Marc, Melgarejo Laura, Palacio Carlos, Rodriguez Maite, Rodriguez-luna David, Meza Burgos Claudia Patricia, Requena Manuel

A Contactless and Automated Approach to the Acute Stroke Assessment

Saadat Moh, Titus Ryan, Verkuilen Haley, Fleming Phil, Sur Sanjib, Sen Souvik

More abstracts from these authors:
You have to be authorized to contact abstract author. Please, Login
Not Available