Logo

American Heart Association

  64
  0


Final ID: MP2094

Left Ventricular Thrombus and Occluded Coronary Artery in a Patient with JAK2 V617F Mutation

Abstract Body (Do not enter title and authors here): Background
Left ventricular thrombus (LVT) is often associated with anterior myocardial infarction (MI) and reduced ejection fraction (EF). However, it could be present in patients with no prior history of MI or heart failure. The JAK2 V617F mutation presents with myeloproliferative neoplasms and contributes to arterial and venous thrombosis. We are presenting a case of LVT with totally occluded left anterior descending (LAD) coronary artery in a patient with JAK2 V617F mutation.
Case Presentation
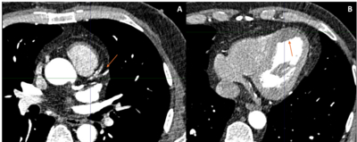
A 60-year-old male with no prior medical history presented with lightheadedness and stable exertional chest pain. Vital signs and physical examination were unremarkable. Electrocardiogram showed normal sinus rhythm with an old inferior and anteroseptal infarction. Echocardiography revealed normal EF with no clear wall motion abnormalities. A myocardial perfusion stress test showed moderate fixed reduced radiotracer uptake with mild reversibility at the LAD territory (Figure 1). Coronary computed tomography angiography revealed a calcified and non-calcified plaque in the proximal to mid LAD with apical LVT (Figure 2[A-B]). Left heart catheterization showed a total mid LAD occlusion with collateral circulation from the acute marginal branch of the right coronary artery to distal LAD (Figure 3[A-B]). Further work-up revealed a JAK2 V617F mutation. The patient was treated with apixaban, atorvastatin, and metoprolol.
Conclusion
We are presenting a rare case of LVT with occluded LAD coronary artery in a patient with JAK2 V617F mutation. The presence of the JAK2 V617F mutation indicates an underlying prothrombotic condition, which may have increased the risk of hypercoagulation. Screening for JAK2 V617F mutation in patients with incidental LVT and totally occluded coronary arteries may deserve further investigation.
  • Alawneh, Omar  ( Jordan University of Science and Technology , Irbid , Jordan )
  • Khayata, Mohamed  ( Cleveland Clinic , Cleveland , Ohio , United States )
  • Author Disclosures:
    Omar Alawneh: DO NOT have relevant financial relationships | Mohamed Khayata: No Answer
Meeting Info:

Scientific Sessions 2025

2025

New Orleans, Louisiana

Session Info:

Clinical Case: CAD

Monday, 11/10/2025 , 09:15AM - 10:15AM

Moderated Digital Poster Session

More abstracts on this topic:
Clonal Hematopoiesis of Indeterminant Potential is Associated with Pulmonary Arterial Hypertension

Emon Isaac, Nichols William, Chung Wendy, Archer Stephen, Al-qazazi Ruaa, Rauh Michael, Vlasschaert Caitlyn, Ott Benjamin, Mcnaughton Amy, Potus Francois, Pauciulo Michael, Bick Alexander

A Non-odorant Olfactory Receptor Ligand Depolymerizes the Platelet Actin Cytoskeleton to Prevent Thrombosis

Aggarwal Anu, Godwin Matthew, Ali Mariya, Jennings Courtney, Rajasekar Bhairavi, Scalise Alliefair, Stauffer Shaun, Mccrae Keith, Mcintyre Thomas, Cameron Scott, Wang Nancy, Josyula Vara Prasad, Yang Moua, Young Shim, Kennedy Quinn, Samuel Reina, Sangwan Naseer, Guntupalli Suman

You have to be authorized to contact abstract author. Please, Login
Not Available