Logo

American Heart Association

  69
  0


Final ID: MP2091

Last-Resort Rotational Atherectomy for Balloon-Uncrossable Calcified SVG to OM Graft: A Case Report

Abstract Body (Do not enter title and authors here): Heavily calcified SVG lesions are rare and challenging, with limited evidence supporting atherectomy during PCI.
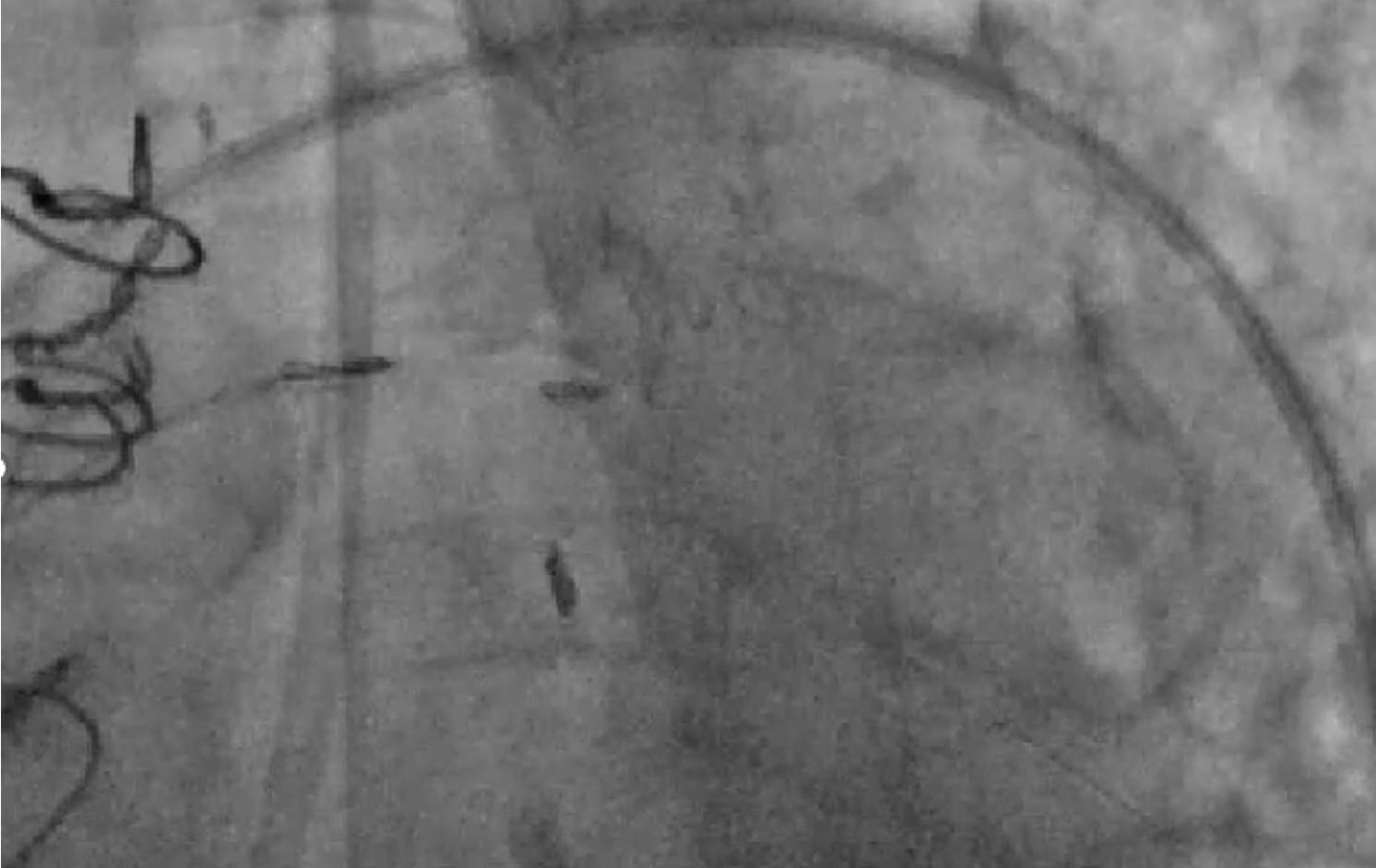
Case: A 75-year-old female with CAD, prior CABG, AFib, and ESRD presented with worsening angina. Angiography showed patent LIMA-LAD, occluded SVG-RCA, severely diseased SVG-OM, and significant LCX disease. RCA PCI was done. LCX was unsuitable for PCI due to tortuosity and tandem CTOs. SVG-OM PCI failed due to balloon uncrossability. Medical therapy was initiated, but ischemia persisted in the lateral wall despite triple anti-anginal therapy.
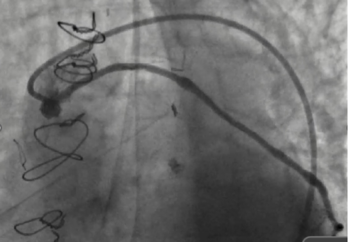
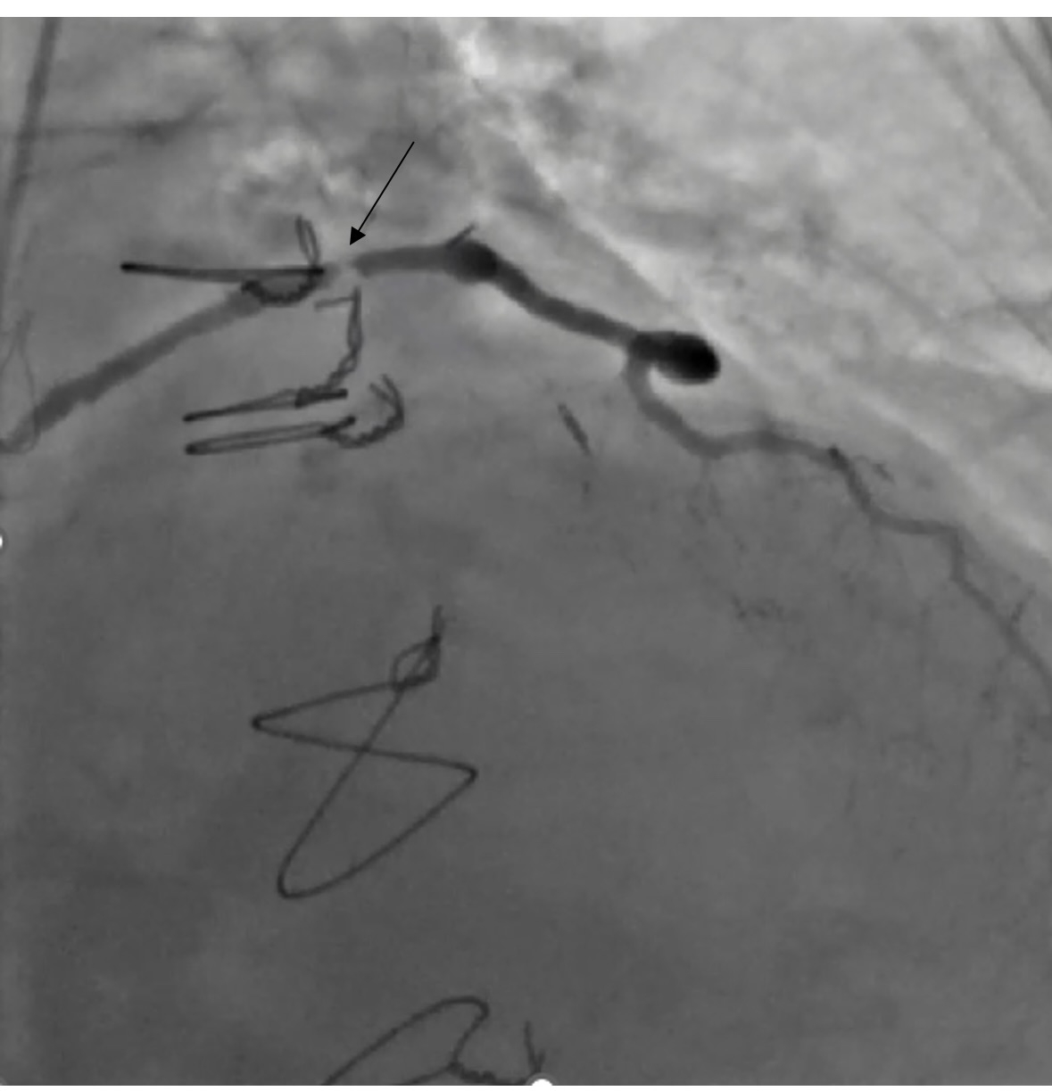
After shared decision-making, high-risk PCI was pursued. We used 7F equipment and an AL 0.75 guide. Angiography confirmed a severely calcified mid and ostial SVG lesion. A workhorse wire crossed the lesion, but neither microcatheter nor balloon could be advanced. These lesion characteristics even made Embolic protection devices (EPDs) infeasible and hence were not used. Laser Atherectomy was avoided due to heavy calcification, and Intravascular lithotripsy (IVL) was not feasible due to its large profile. Rotational atherectomy was pursued as a last resort. A microcatheter was deeply positioned, and a Rota floppy wire was advanced using a primary wiring technique. We then performed rotational atherectomy in the SVG graft with a 1.25 mm burr at 150,000 rpm. No perforation or vessel damage was seen. Subsequently sequential balloon angioplasty and stenting with 2.75 x 38 and 2.75 x26 mm stents were placed from distal graft body to ostium with significantly improved blood flow in the graft. Bailout strategies, including vascular plugs, coils, covered stents, and vasodilators, were prepared, alongside plans for prolonged DAPT.
Discussion: SVG calcification involves the vessel wall, leading to diffuse disease and higher PCI risks due to small distal vessels, recoil, and disease beyond the graft. Atherectomy is usually avoided in SVGs due to limited data and risks like embolization, perforation, no-reflow, and MACE. It is recommended to use EPDs to reduce the risk of distal embolization, no-reflow, and periprocedural MI. Vasodilators, direct stenting, and undersized stents may help mitigate no-reflow and distal embolization. In this case, technical limitations, extreme calcification and failure to cross the lesion with standard devices necessitated rotational atherectomy. This case supports the selective use of rotational atherectomy in complex SVG lesions and emphasizes the need for further study to guide management.
  • Srivastava, Kartikeya  ( Henry Ford Jackson Hospital , Jackson , Michigan , United States )
  • Sardar, Rizwan  ( Memorial Medical Center-Las Cruces , Las Cruces , New Mexico , United States )
  • Bhatnagar, Udit  ( Memorial Medical Center-Las Cruces , Las Cruces , New Mexico , United States )
  • Author Disclosures:
    Kartikeya Srivastava: DO NOT have relevant financial relationships | Rizwan Sardar: No Answer | Udit Bhatnagar: No Answer
Meeting Info:

Scientific Sessions 2025

2025

New Orleans, Louisiana

Session Info:

Clinical Case: CAD

Monday, 11/10/2025 , 09:15AM - 10:15AM

Moderated Digital Poster Session

More abstracts on this topic:
Rotational atherectomy combined with cutting balloon before stent implantation for patients with severely calcified coronary lesions: A meta analysis

Altobaishat Obieda, Tanashat Mohammad, Abuelazm Mohamed, Abouzid Mohamed, Amin Ahmed Mazen, Abdullah Bataineh Omar, Abdelazeem Basel

Cutting Through Calcification: A Comparison of Laser and Orbital Atherectomy Using Pedal Access in Peripheral Artery Disease

Fongrat Natalia, Barnes Emily, Bajpai Prakhar, Prasad Ashok, Iantorno Micaela

More abstracts from these authors:
Comparative Performance Of Al-driven CCTA Models For Pre-TAVR CAD Detection: A Systematic Review

Qureshi Muhammad Ahmad, Shahid Affaf, Abidov Aiden, Haseeb Shahan, Goel Mishita, Saleem Mariam, Bakht Danyal, Ali Khawar, Amir Maaz, Srivastava Kartikeya, Khan Laibah

You have to be authorized to contact abstract author. Please, Login
Not Available