Logo

American Heart Association

  40
  0


Final ID: MP2377

Double Trouble - Type A Dissection Complicating an Already Complicated Pregnancy

Abstract Body (Do not enter title and authors here): Introduction:
Acute aortic dissection during pregnancy is rare but often life-threatening. Hormonal and hemodynamic changes, including increased blood volume and cardiac output, can weaken the aortic wall, increasing diameter and compliance. While changes may begin early, they peak in the third trimester. Patients with underlying aortopathy often remain undiagnosed until dissection occurs. Risk factors include hypertension, connective tissue disorders (e.g., Marfan, Loeys-Dietz), bicuspid aortic valve, family history, smoking, and pregnancy. Limited data contributes to gaps in screening and prevention. This case highlights a successful outcome in a third-trimester patient with acute Stanford Type A dissection.

Case:
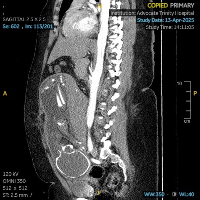
29-year-old primigravid female at 36 weeks gestation with pregnancy complicated by limited prenatal care, class III obesity, and prediabetes presented for acute hematemesis, upper back pain, and severe headache. She was found to be tachycardic and hypertensive on arrival.

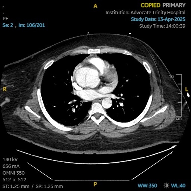
Contrast enhanced computed tomography angiography (CTA) revealed Stanford Type A aortic dissection. She was promptly taken for emergency Cesarean section with successful delivery, immediately followed by a Bentall procedure for ascending aortic dissection repair, including aortic root replacement using a 25mm St. Jude mechanical valve.

Post-operative complications included hemoperitoneum from splenic hematoma with capsule rupture requiring splenectomy. Gallbladder ischemia and perforation also necessitated cholecystectomy. She also developed worsening respiratory failure and was briefly supported with venovenous (VV) extracorporeal membrane oxygenation (ECMO).

Cardiovascular complications included persistent sinus tachycardia and severe left ventricular hypertrophy with preserved ejection fraction. Outpatient genetic testing was recommended.

Contraception was discussed and the patient was discharged in stable condition with recommended close follow up and genetic evaluation.

Conclusion:
This case highlights the need for high clinical suspicion when evaluating pregnant women with new cardiopulmonary symptoms, as timely recognition can be lifesaving. While aortic complications in pregnancy are associated with hypertension, underlying connective tissue disease or congenital aortic abnormalities, many occur without identifiable risk factors. Therefore, careful clinical evaluation is essential, as a missed diagnosis could be catastrophic to mother and baby.
  • Segar, Rachel  ( Advocate Health , Oak Lawn , Illinois , United States )
  • Bonaguro, Anne Marie  ( Advocate Health , Oak Lawn , Illinois , United States )
  • Yazdi, Bayan  ( Advocate Health , Oak Lawn , Illinois , United States )
  • Lapat, Kenneth  ( Advocate Health , Oak Lawn , Illinois , United States )
  • Issac, Lydia  ( Advocate Health , Oak Lawn , Illinois , United States )
  • Raghuvir, Rashmi  ( Advocate Health , Oak Lawn , Illinois , United States )
  • Author Disclosures:
    Rachel Segar: DO NOT have relevant financial relationships | Anne Marie Bonaguro: No Answer | Bayan Yazdi: DO NOT have relevant financial relationships | Kenneth LaPat: No Answer | Lydia Issac: No Answer | Rashmi Raghuvir: No Answer
Meeting Info:

Scientific Sessions 2025

2025

New Orleans, Louisiana

Session Info:

Dangerous Rhythms and Silent Threats: Cardiac Curveballs in Pregnancy and Postpartum

Monday, 11/10/2025 , 12:15PM - 01:30PM

Moderated Digital Poster Session

More abstracts on this topic:
Advanced maternal age and association with major adverse cardiovascular events from NHANES from 1999 to 2018

Mehta Adhya, Honigberg Michael, Kennedy Jamie, Spitz Jared, Sharma Garima, Agboola Olayinka, Satti Danish Iltaf, Harrington Colleen, Scott Nandita, Sarma Amy, Saad Antonio, Sullivan Scott, Epps Kelly

Cardiovascular Health Modifies Genetic Risk for the Hypertensive Disorders of Pregnancy

Mathew Vineetha, Patel Aniruddh, Cho So Mi, Jowell Amanda, Pabon Maria, Silver Robert, Levine Lisa, Grobman William, Catov Janet, Haas David, Honigberg Michael, Khan Raiyan, Mcneil Rebecca, Yan Qi, Pe Er Itsik, Truong Buu, Natarajan Pradeep, Yee Lynn, Sharma Garima

You have to be authorized to contact abstract author. Please, Login
Not Available