Logo

American Heart Association

  13
  0


Final ID: MP85

When the Pleural Effusion Speaks- Uncovering Cardiac Intimal Sarcoma through Persistent Pleural Effusion

Abstract Body (Do not enter title and authors here): Introduction
Primary malignant cardiac tumors are extremely rare, with an incidence rate of less than 0.005%, and among these, intimal sarcoma is a poorly differentiated, highly aggressive tumor associated with a poor prognosis. Symptoms range from fever, weight loss, dyspnea, and orthopnea to embolic phenomena leading to stroke. Pleural effusion is an uncommon and underreported manifestation of this tumor.

Case Presentation
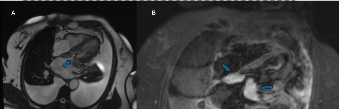
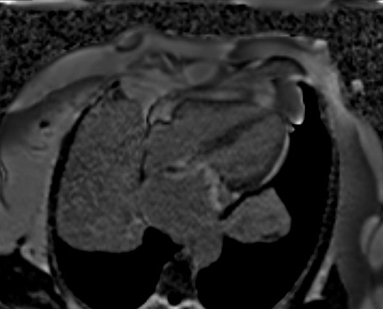
A 67-year-old woman presented to the pulmonary clinic for a work-up of a left-sided pleural effusion with a 2-month history of exertional dyspnea, palpitations, and dry cough. The Holter monitor identified episodes of atrial fibrillation, and ECHO showed moderate to severe mitral stenosis and preserved ejection fraction of 59%. Thoracocentesis revealed lymphocytic effusion, negative cytology, and culture; other labs showed unremarkable immunological markers. A PET scan revealed a small left pleural effusion with minimal FDG uptake and nonspecific increased FDG uptake within the left atrial appendage. TEE revealed a large left atrial mass, which was initially thought to be a left atrial thrombus or myxoma. Cardiac MRI characterized the mass as hyperintense on T2-weighted sequences, enhancement on the first pass of gadolinium, and hyperintense on late gadolinium enhancement sequences, suggesting malignancy, as opposed to a thrombus. The patient had tumor excision, revealing a 7.5 cm Intimal-type sarcoma with non-eventful post-op recovery.

Discussion
Intimal (spindle cell) sarcoma is an aggressive cardiac tumor that typically arises from large vessels and pulmonary veins, though it rarely involves the left atrium. Histologically, these tumors show positive immunoreactivity to vimentin, osteopontin, and Murine double minute 2[MDM2] with variable expression of other markers. While vascular markers like CD31 and CD34 are usually negative, they may sometimes show focal positivity. Immunohistochemistry is vital for diagnosis, with MDM2 overexpression seen in over 70% of cases. Among these tumors, about 40% of cases metastasize to the lungs, causing left-sided pleural effusion presenting with nonspecific symptoms such as dyspnea and orthopnea, often posing diagnostic challenges due to their rarity and similarity to non-neoplastic conditions, delaying diagnosis. Intimal sarcoma prognosis is poor, with average survival ranging from 3 months to 1 year, but early surgical intervention can improve outcomes.
  • Dixit, Sakshi  ( Cleveland Clinic Akron General , Akron , Ohio , United States )
  • Abushamma, Akram  ( Cleveland Clinic Akron General , Akron , Ohio , United States )
  • Anamika, Fnu  ( Cleveland Clinic Akron General , Akron , Ohio , United States )
  • Karki, Deeven  ( Cleveland Clinic Akron General , Akron , Ohio , United States )
  • Hegde, Vinayak  ( Cleveland Clinic Akron General , Akron , Ohio , United States )
  • Abdelaziz, Mohammed  ( Cleveland Clinic Akron General , Akron , Ohio , United States )
  • Kilpatrick, Scott  ( Cleveland Clinic , Cleveland , Ohio , United States )
  • Sullivan, Gabriel  ( Cleveland clinic laboratories , Cleveland , Ohio , United States )
  • Author Disclosures:
    Sakshi Dixit: DO NOT have relevant financial relationships | Akram Abushamma: DO NOT have relevant financial relationships | FNU Anamika: DO NOT have relevant financial relationships | Deeven Karki: DO NOT have relevant financial relationships | Vinayak Hegde: No Answer | Mohammed Abdelaziz: No Answer | Scott Kilpatrick: DO NOT have relevant financial relationships | Gabriel Sullivan: No Answer
Meeting Info:

Scientific Sessions 2025

2025

New Orleans, Louisiana

Session Info:

Clinical Case: Cardio-Onc

Saturday, 11/08/2025 , 09:15AM - 10:25AM

Moderated Digital Poster Session

More abstracts on this topic:
Comparative trends in decompressive hemicraniectomy in the era of mechanical thrombectomy among stroke patients (2016-2021) in the US National inpatient Sample.

Sohaib Muhammad, Maaz Hafiz, Chaychi Muhammad Tayyab Muzaffar, Rahman Haseeb, Saeed Daniaal, Kamal Haris, Ahmed Muhammad

A Case of Successful Resuscitation After Out-of-hospital Cardiac Arrest Caused by Undiagnosed Pheochromocytoma-induced Cardiomyopathy

Hatakeyama Toshihiro, Suetsugu Yusuke, Watanabe Kaoru, Matsushima Hisao

More abstracts from these authors:
Assessing Prevalence of Cardiac Amyloidosis at the Time of Spinal Laminectomy for Spinal Stenosis

Sul Lidiya, Cotta Claudiu, Nakashima Megan, Steinmetz Michael, Kilpatrick Scott, Reith John, Hanna Mazen, Ives Lauren, Schlenk Richard, Kalfas Iain, Mroz Thomas, Orr Doug, Benzel Edward, Krishnaney Ajit, Pelle Dominic

You have to be authorized to contact abstract author. Please, Login
Not Available