Logo

American Heart Association

  60
  0


Final ID: MP873

Loeffler (Eosinophilic) Endocarditis Masquerading as Infective Endocarditis: Diagnostic Role of Multimodal Imaging

Abstract Body (Do not enter title and authors here): Background:
Hypereosinophilic syndrome (HES) is a rare systemic condition characterized by persistent eosinophilia with potential cardiac involvement, manifesting as Loeffler endocarditis. Cardiac involvement in HES can closely resemble infective endocarditis both clinically and echocardiographically, complicating diagnosis and appropriate management.

Case Presentation:
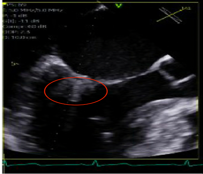
A 33-year-old woman with sickle cell disease (HbSS) presented with vaso-occlusive crisis, persistent fever, and a new cardiac murmur suggestive of mitral regurgitation. Initial transthoracic echocardiography revealed a mobile, vegetation-like mass (0.9×1.5 cm) on the posterior mitral leaflet (Figure 1). Blood cultures transiently yielded Escherichia coli, prompting treatment with antibiotics for suspected infective endocarditis. Despite antibiotic treatment, the patient continued to have febrile episodes and labs were notable for significant eosinophilia (>1500/µL), raising suspicion for a non-infectious etiology such as Loeffler endocarditis.

Methodology:
Transesophageal echocardiography demonstrated an extensive lesion (1.4×1.3 cm) contiguous with the subvalvular myocardium, consistent with mural involvement and fibrotic changes atypical for bacterial endocarditis but highly suggestive of eosinophilic endocarditis (Figures 2-3). Comprehensive hematologic evaluation identified elevated serum IgE, tryptase levels, and confirmed the presence of the FIP1L1-PDGFRA fusion gene, supporting a diagnosis of myeloproliferative HES.
Results:
The patient's management subsequently shifted to targeted HES therapy with high-dose corticosteroids, alongside supportive treatments with hydroxyurea and exchange transfusions for sickle cell disease. Following this adjustment, the patient showed rapid clinical improvement, and follow-up imaging confirmed regression of the cardiac lesion.

Discussion:
This case highlights the essential role of multimodal echocardiography for differentiating Loeffler endocarditis—with significant myocardial infiltration and fibrosis—from infective endocarditis, especially in atypical cases involving rare pathogens like Gram-negative bacteria. Clinicians should maintain a high index of suspicion for underlying inflammatory causes when faced with persistent symptoms refractory to antibiotics. Early recognition of Loeffler endocarditis enables prompt targeted anti-inflammatory therapy with steroids--thereby improving patient outcomes and preventing progression to restrictive cardiomyopathy.
  • Bhagat, Priyanka  ( Wayne State University , Detroit , Michigan , United States )
  • Silva, America  ( Wayne State University , Detroit , Michigan , United States )
  • Afonso, Luis  ( HARPER UNIV HOSPITAL , Detroit , Michigan , United States )
  • Author Disclosures:
    Priyanka Bhagat: DO NOT have relevant financial relationships | America Silva: DO NOT have relevant financial relationships | Luis Afonso: DO NOT have relevant financial relationships
Meeting Info:

Scientific Sessions 2025

2025

New Orleans, Louisiana

Session Info:

Complex Aortic Pathology Clinical Case Series

Saturday, 11/08/2025 , 01:45PM - 03:00PM

Moderated Digital Poster Session

More abstracts on this topic:
Non-Invasive Endotyping in Patients with Angina and No Obstructive Coronary Artery Disease: A Randomized, Controlled Trial

Berry Colin, Carrick David, Kellman Peter, Good Richard, Mcconnachie Alex, Bradley Conor, Mckinley Gemma, Stanley Bethany, Tiller Christina, Ang Daniel, Morrow Andrew, Sykes Robert, Mcgeoch Ross

A Case Report of Cardiac Tamponade due to Mycoplasma Pneumoniae-induced Pericarditis - A Rare Complication of a Commonly seen Bacterial Infection

Patel Vidhi, Maharjan Reeju, Okan Tetyana, Singh Bhupinder, Colasacco Joseph

More abstracts from these authors:
You have to be authorized to contact abstract author. Please, Login
Not Available