Logo

American Heart Association

  26
  0


Final ID: Sa3074

Cardiac Allograft Vasculopathy Involves Vascular Remodeling Beyond the Coronary Arteries

Abstract Body (Do not enter title and authors here): Background: Cardiac allograft vasculopathy (CAV) is the leading cause of morbidity and mortality one-year post heart transplant. It is characterized by diffuse neointimal thickening of the coronary arteries, leading to lumen narrowing and graft failure. CAV extending beyond the coronary arteries and to the donor aorta remains largely unexplored. The presence of CAV in aortic tissue would further inform the pathophysiology of the disease.
Hypothesis: We hypothesize that CAV is a transplant-specific disease defined by the pathologic fate specification of donor vascular smooth muscle cells (SMC). As such, the disease expands beyond the coronary arteries to involve all donor arteries, specifically the aorta.
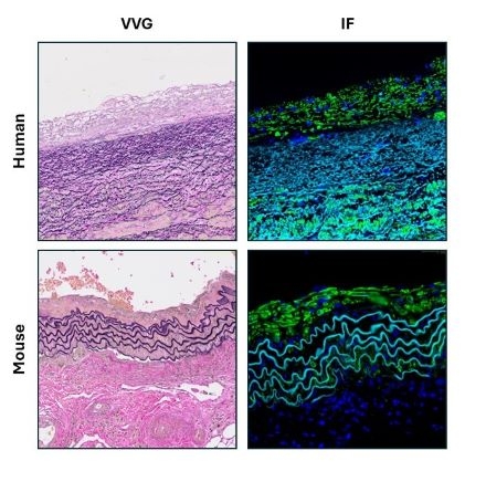
Methods: The University of Colorado curates one of the world’s largest adult tissue cardiac biobanks with over 1700 explanted hearts cryopreserved and well-phenotyped. Human explanted hearts were collected at the time of transplant from recipients with CAV and non-ischemic cardiomyopathy (NICM). The human CAV cohort (n= 4, 2 males, 2 females) included patients with a diagnosis of CAV for an average of 6.5 years, and tissue was collected at the time of retransplant. In parallel, our group established a novel mouse heart technique to include a longer segment of aortic tissue. During donor harvest in our mouse model, an extended segment of the donor aorta was transplanted into the recipient mouse. Human and mouse aortic tissues were formalin-fixed, paraffin-embedded, and sectioned for histology and immunofluorescence.
Results: The human CAV aortic tissue revealed the same morphology in coronary arteries, including a modulated SMC phenotype within the neointima. Similarly, the CAV mouse model's extended aorta and coronary arteries exhibited neointimal hyperplasia continuously in the vascular bed and stopping at the anastomosis site to the recipient. Based on histologic and immunofluorescence staining, the neointima of the mouse recapitulates the human neointima. NICM human aortas and the syngeneic mouse model aortas lacked CAV morphology, indicating unique CAV pathology throughout the donor vascular bed.
Conclusion: We identify that CAV expands beyond the donor coronary arteries to include the donor aorta and verify a novel mouse heart transplant model that phenocopies human pathobiology. Ultimately, this model acts as a rich source of additional tissue to ask mechanistic questions involving the source of CAV and can inform novel therapeutic targets.
  • Hyacinth, Sariah  ( CU Anschutz Medical Campus , Aurora , Colorado , United States )
  • Dun, Hao  ( CU Anschutz Medical Campus , Aurora , Colorado , United States )
  • Sticco-ivins, Maura  ( CU Anschutz Medical Campus , Aurora , Colorado , United States )
  • Bonnici, Gianni  ( CU Anschutz Medical Campus , Aurora , Colorado , United States )
  • Nelson, Samantha  ( CU Anschutz Medical Campus , Aurora , Colorado , United States )
  • Kopecky, Benjamin  ( CU Anschutz Medical Campus , Aurora , Colorado , United States )
  • Author Disclosures:
    Sariah Hyacinth: DO NOT have relevant financial relationships | Hao Dun: No Answer | Maura Sticco-Ivins: DO NOT have relevant financial relationships | Gianni Bonnici: DO NOT have relevant financial relationships | Samantha Nelson: No Answer | Benjamin Kopecky: DO NOT have relevant financial relationships
Meeting Info:

Scientific Sessions 2025

2025

New Orleans, Louisiana

Session Info:

Metabolic & Lipid-Focused Therapies for CAD

Saturday, 11/08/2025 , 02:30PM - 03:30PM

Abstract Poster Board Session

More abstracts on this topic:
25-Year Decline in Aortic Aneurysm and Dissection Mortality in the U.S.: Impact of Endovascular Repair and Forecast to 2030

Ali Manzer, Umar Haddaya, Nazir Tahira, Nizam Muhammad, Steafo Lark, Sharif Ayesha, Jehangir Hanzala, Arham Muhammad, Hamza Anfal, Hassan Arbaz, Amjad Ans, Ali Iman, Zuha Zuha

A Novel Echocardiography Risk Score Predicted Mortality In Patients With Heart Failure With Preserved Ejection Fraction.

Iwakura Katsuomi, Yoshio Yasumura, Hikoso Shungo, Okada Katsuki, Nakatani Daisaku, Sotomi Yohei, Sakata Yasushi, Tanaka Nobuaki, Okada Masato, Okamura Atsunori, Heitaro Watanabe, Seo Masahiro, Hayashi Takaharu, Yano Masamichi, Yamada Takahisa

More abstracts from these authors:
Risky Business (CON): Can Immunotherapy Be Outlawed in Heart Transplant Patients?

Cheng Richard, Vucicevic Darko, Shahandeh Negeen, Kopecky Benjamin

Discussant: CAVIAR

Kobashigawa Jon, Lavine Kory, Kopecky Benjamin

You have to be authorized to contact abstract author. Please, Login
Not Available