Logo

American Heart Association

  42
  0


Final ID: MP1064

AngioVac-Assisted Thrombectomy of Intracardiac Thrombi in a Patient with Adult-Onset Still’s Disease, Pulmonary Hypertension, and Intracranial Hemorrhage

Abstract Body (Do not enter title and authors here): Background:
Adult-onset Still’s disease (AOSD) is a rare autoinflammatory condition characterized by severe systemic inflammation and multi-organ involvement. While pulmonary hypertension (PH) is an uncommon complication of AOSD, intracardiac thrombi are exceedingly rare. To our knowledge, this is the first reported case involving concurrent PH and intracardiac thrombosis in AOSD.

Case:
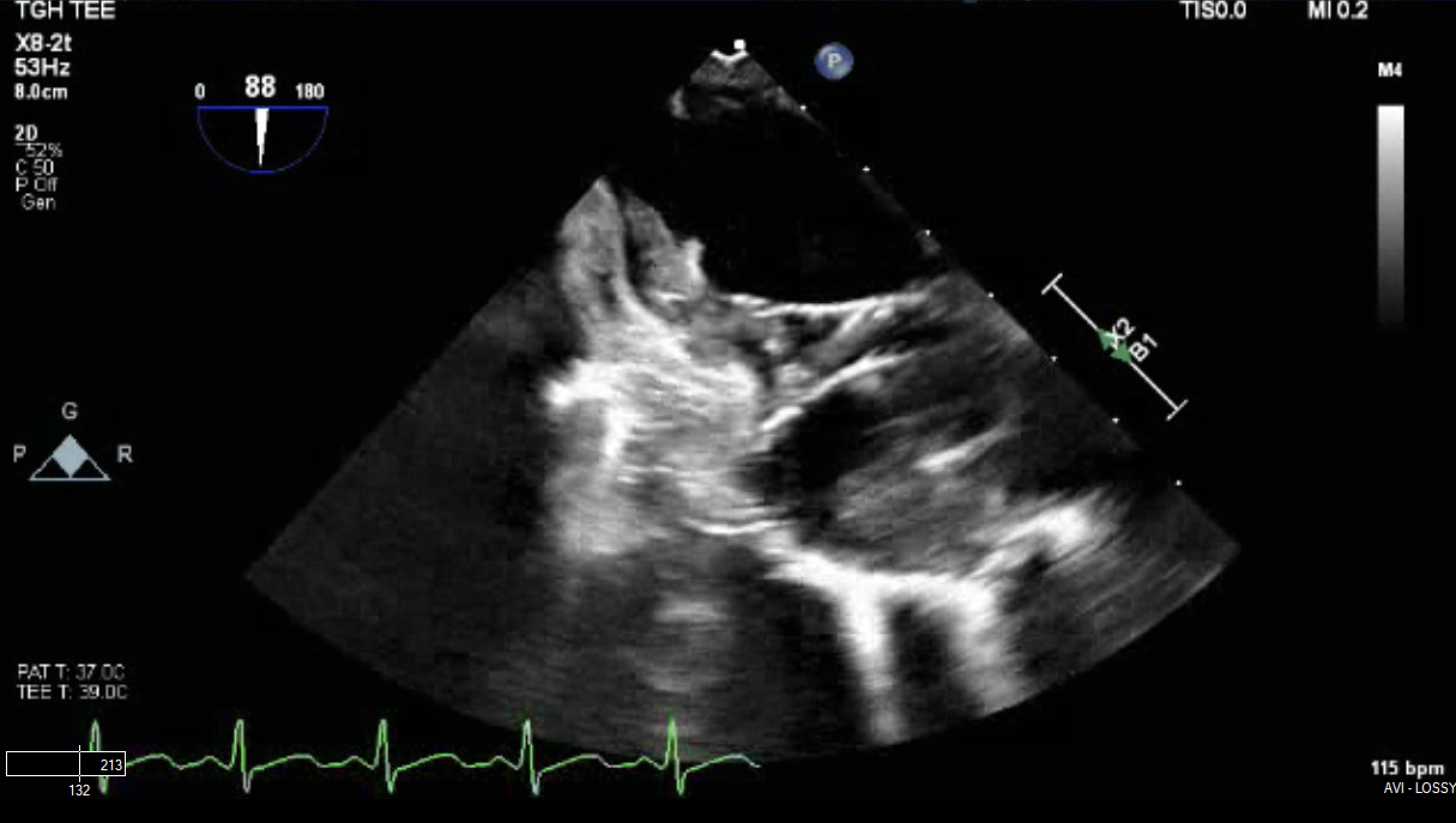
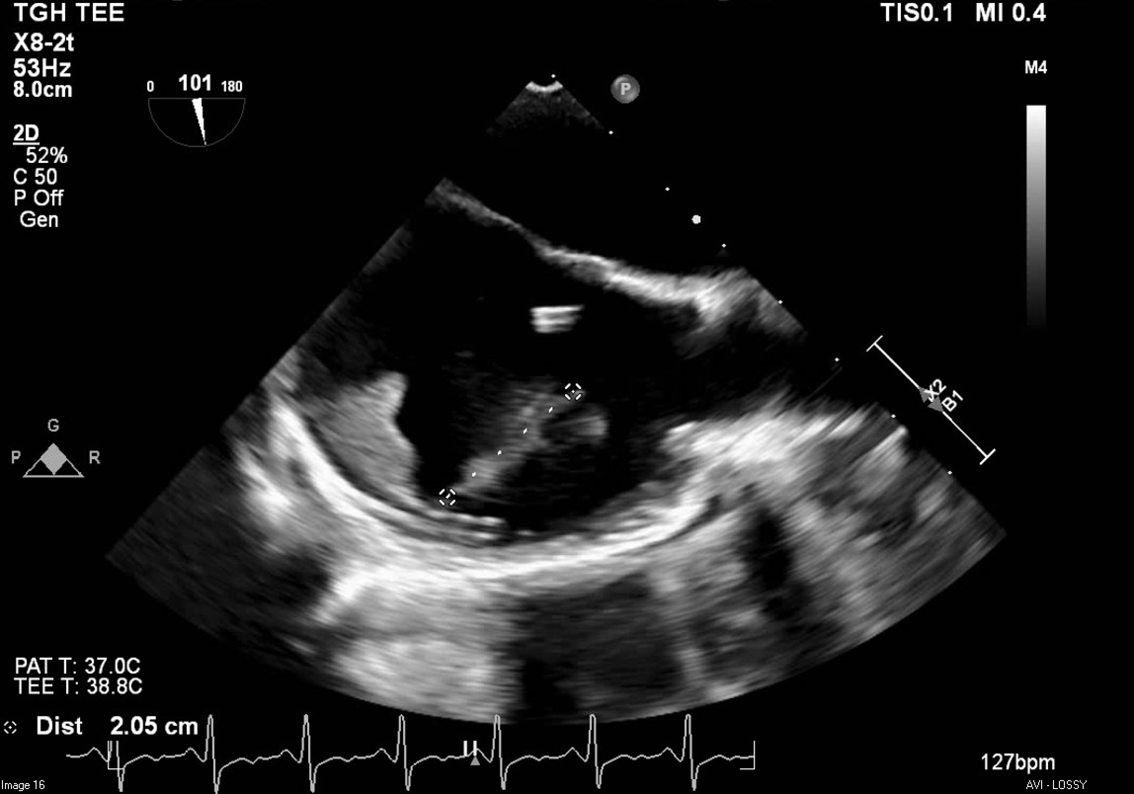
A 27-year-old female with recurrent fevers, arthralgias, an evanescent rash, and hyperferritinemia (10,661 ng/mL) was diagnosed with AOSD following an initial presentation of macrophage activation syndrome (MAS). She improved with anakinra and corticosteroids. Months later, she was readmitted with fever and hypotension requiring vasopressors. Infectious workup was negative, and recurrent MAS was diagnosed. Transthoracic echocardiography revealed severe PH and a mobile right atrial thrombus, initially suspected to be central-line associated; the central line was subsequently removed. She responded to intensified immunosuppressive therapy. Days later, she developed headaches and seizures. Brain MRI showed posterior vasogenic edema concerning for posterior reversible encephalopathy syndrome (PRES), likely related to immunosuppression. Her condition rapidly deteriorated with severe headache and bilateral fixedly dilated pupils. Imaging revealed bilateral cerebellar infarctions with hemorrhagic conversion and tonsillar herniation, prompting emergent suboccipital craniectomy and external ventricular drain placement. A follow-up transesophageal echocardiogram identified two large (>2 cm) right atrial thrombi, one highly mobile, indicating persistent thrombosis despite line removal. Agitated saline contrast confirmed a patent foramen ovale with right-to-left shunting.

Decision-Making:
Given recent intracranial hemorrhage, anticoagulation was contraindicated. Due to the risk of embolization and obstruction, she underwent successful percutaneous AngioVac-assisted thrombectomy. She was also treated with emapalumab targeting interferon-γ to control systemic hyperinflammation.

Conclusion:
This case illustrates a rare and complex cardiovascular complication of AOSD—intracardiac thrombi in the setting of PH and hemorrhagic stroke. It highlights the role of mechanical thrombectomy when anticoagulation is not feasible and underscores the importance of early multidisciplinary intervention in critically ill patients with severe autoinflammatory disease.
  • Ryad, Robert  ( University of South Florida , Tampa , Florida , United States )
  • Hackney, Noah  ( University of South Florida , Tampa , Florida , United States )
  • Succari, Loutfi  ( University of South Florida , Tampa , Florida , United States )
  • Cohen, Adam  ( University of South Florida , Tampa , Florida , United States )
  • Quimby, Donald  ( University of South Florida Morsani , St Petersburg , Florida , United States )
  • Author Disclosures:
    Robert Ryad: DO NOT have relevant financial relationships | Noah Hackney: DO NOT have relevant financial relationships | loutfi succari: No Answer | Adam Cohen: DO NOT have relevant financial relationships | Donald Quimby: No Answer
Meeting Info:

Scientific Sessions 2025

2025

New Orleans, Louisiana

Session Info:
More abstracts on this topic:
Accuracy of Rule-based Natural Language Processing Models for Identification of Pulmonary Embolism

Rashedi Sina, Jimenez David, Monreal Manuel, Secemsky Eric, Klok Erik, Hunsaker Andetta, Aghayev Ayaz, Muriel Alfonso, Hussain Mohamad, Appah-sampong Abena, Aneja Sanjay, Krishnathasan Darsiya, Mojibian Hamid, Goldhaber Samuel, Wang Liqin, Zhou Li, Krumholz Harlan, Piazza Gregory, Bikdeli Behnood, Khairani Candrika, Bejjani Antoine, Lo Ying-chih, Zarghami Mehrdad, Mahajan Shiwani, Caraballo Cesar, Jimenez Ceja Jose Victor

Acoustic Analysis For The Detection Of Leaflet Thrombosis After Transcatheter Aortic Valve Replacement

Lupu Lior, Shetrit Aviel, Kadosh Adi, Aviram Galit, Topilsky Yan, Banai Shmuel, Havakuk Ofer

You have to be authorized to contact abstract author. Please, Login
Not Available