Logo

American Heart Association

  80
  0


Final ID: Su3132

A Rare Case of Mycotic Pseudoaneurysm in a Pediatric Patient with a History of Disseminated MRSA

Abstract Body (Do not enter title and authors here): Mycotic pseudoaneurysms can be fatal due to spontaneous rupture and therefore early diagnosis may prevent such outcome. However, this proves to be a challenge due to non-specific symptoms such as back pain or respiratory distress. This case report aims to highlight mycotic pseudoaneurysms as a differential diagnosis given that it may be a fatal complication of MRSA bacteremia.

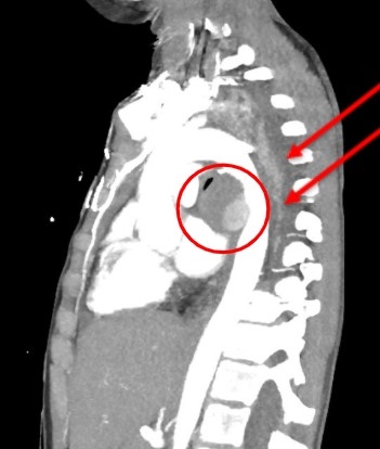
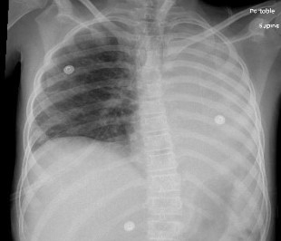
A 9-year-old female with a history of MRSA bacteremia three months ago presented to an outside hospital due to respiratory distress with concerns for pneumonia versus atelectasis. She was transferred to our hospital for escalation of care. On arrival, she had severe left-sided back pain and shortness of breath. Chest x-ray showed complete atelectasis of the left lung (Image 1). Chest CT scan revealed occlusion of the left mainstem bronchus with left mediastinal shift. Echocardiogram was normal. Atelectasis did not improve despite pulmonary clearance regimen (chest physiotherapy, albuterol, hypertonic saline). Reassessment via Chest CT scan revealed a large mycotic pseudoaneurysm that appeared to have a thrombus located in the descending aorta, compressing the left main bronchus and causing atelectasis on the left lung with mediastinal shift (Image 2).

She underwent cardiac catherization, which revealed a large mycotic aneurysm on the descending aorta measuring 18 mm x 15 mm with thrombus around the periphery. The lesion produced a mass effect, compressing the left main bronchus, leading to atelectasis. The pseudoaneurysm was treated via complete coil occlusion to prevent any residual flow to the outpouching sac (Image 3). Following recovery, a repeat chest CT showed improvement of aeration over the left lung field and bronchus.

This is the first report regarding the development of a mycotic pseudoaneurysm in the descending aorta among the pediatric population. Manifestations center around the size and the resultant mass effect around the surrounding structures. Sudden, severe back pain, shortness of breath and cough place mycotic pseudoaneurysm higher on the differential diagnosis in a patient with a history of systemic MRSA infection. Hematogenous seeding can occur from previous infective endocarditis or septic foci resulting in direct injury to the lining of the descending aorta and subsequent mycotic pseudoaneurysm. Spontaneous rupture at any moment may prove fatal. CT angiography is the diagnostic gold standard and surgical or endovascular intervention is the definitive treatment.
  • Amilhamja, Anissa  ( Driscoll Children's Hospital , Corpus Christi , Texas , United States )
  • Shaikh, Adam  ( Driscoll Children's Hospital , Corpus Christi , Texas , United States )
  • Porisch, Mary  ( Driscoll Children's Hospital , Corpus Christi , Texas , United States )
  • Author Disclosures:
    Anissa Amilhamja: DO NOT have relevant financial relationships | Adam Shaikh: No Answer | Mary Porisch: No Answer
Meeting Info:

Scientific Sessions 2025

2025

New Orleans, Louisiana

Session Info:

Life as a Vascular Medicine Specialist: Cases and Clinical Experiences

Sunday, 11/09/2025 , 11:30AM - 12:30PM

Abstract Poster Board Session

More abstracts on this topic:
A major uremic toxin indoxyl sulfate impairs macrophage efferocytosis and accelerates atherogenesis: a potential mechanism for cardiovascular risk in chronic kidney disease

Jha Prabhash, Kasai Taku, Vromman Amelie, Holden Rachel, Libby Peter, Tabas Ira, Singh Sasha, Aikawa Elena, Aikawa Masanori, Lupieri Adrien, Sonawane Abhijeet, Le Thanh-dat, Becker-greene Dakota, Chelvanambi Sarvesh, Turner Mandy, Nakamura Yuto, Passos Livia

84 Immune checkpoint profiling in major aortic diseases leads to identification of potential roles of CD155-CD206 pathway in suppressing inflammation and immune responses

Shao Ying, Saaoud Fatma, Xu Keman, Lu Yifan, Jiang Xiaohua, Wang Hong, Yang Xiaofeng

You have to be authorized to contact abstract author. Please, Login
Not Available