Logo

American Heart Association

  70
  0


Final ID: Sa1022

Utility of Continuous Wave Doppler Derived Rate of Pressure Rise (dp/dt) for the Assessment of Systolic Single Ventricular (SV) Function in Patients With Adult Congenital Heart Disease (ACHD)

Abstract Body (Do not enter title and authors here): Background
Staged palliation process for single ventricle (SV) patients alters preload, afterload, and ventricular mechanics, making accurate function assessment essential. Left ventricular echocardiography markers have been applied to SV patients such as ejection fraction (EF), though reliability is limited. Continuous wave Doppler (CWD)-derived dp/dt during isovolumetric contraction has surfaced as a potential non-geometric contractility index.

Hypothesis
We predicted that CWD-derived dp/dt would correlate with cardiac magnetic resonance (CMR) -derived EF in adults with SV physiology.

Methods
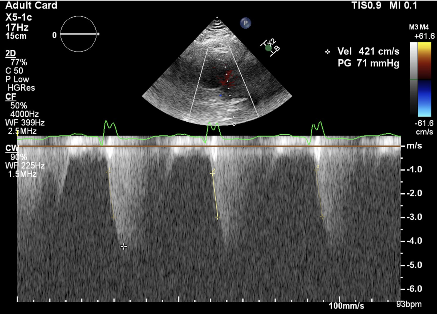
This was a single-center retrospective study of SV patients ≥18 at the Ahmanson/UCLA between 2010-2024. Inclusion required echo and CMR with volumetrics within one year. We measured dp/dt by obtaining the time interval that AV regurgitation velocity increased from 1 to 3 m/s. Correlation, linear regression, and ROC analysis were performed.

Results
A total of 71 patients met inclusion criteria. Median age of 28.9 years (IQR: 23.6, 34.5), and 41 (57.8%) were female. 37 (52%) had a single left ventricle (LV), 30 (42.3%) had a single right ventricle, and 4 (5.6%) had mixed morphology. AV-valve regurgitation was classified as trace in 13 (25.3%), mild 37 (52.2%), moderate (25.4%), and severe 1 (1.6%). Median time between CMR and echo study was 13 days (IQR: -2, 64). Median CMR EF was 51%, with no significant difference by ventricular morphology (p=0.15). Median dp/dt was 803 mmHg/sec and did not significantly differ between right and left ventricle (p=0.09). Linear regression showed no association between dp/dt and CMR EF (p=0.1); however, with nEDV as a correction factor, correlation improved (β=0.025, p=0.007). The coefficient for the interaction term between dp/dt and nEDV was -0.0002 (p=0.025) which means that the association between dp/dt becomes stronger as nEDV decreases. ROC analysis revealed that qualitative echocardiogram assessment by experienced ACHD cardiologists (AUC 0.77) outperformed dp/dt (AUC 0.55-0.62) in identifying moderate-severe dysfunction.

Conclusions
We demonstrate that echo CWD derived dp/dt has poor ability in distinguishing between mild and moderate/severe systolic SV dysfunction on CMR in ACHD patients. Even with adjustment for nEDV, dp/dt should not be used as an objective parameter to evaluate SV function. Our study shows that careful assessment by well-trained ACHD cardiologists is more sensitive in determining significant SV dysfunction.
  • Sisniega, Carlos  ( UCLA , Los Angeles , California , United States )
  • Pudlo, Megan  ( UCLA , Los Angeles , California , United States )
  • Aboulhosn, Jamil  ( UCLA , Los Angeles , California , United States )
  • Finn, Paul  ( UCLA , Los Angeles , California , United States )
  • Lluri, Gentian  ( UCLA , Los Angeles , California , United States )
  • Author Disclosures:
    Carlos Sisniega: No Answer | Megan Pudlo: DO NOT have relevant financial relationships | Jamil Aboulhosn: No Answer | Paul Finn: No Answer | Gentian Lluri: No Answer
Meeting Info:

Scientific Sessions 2025

2025

New Orleans, Louisiana

Session Info:

Challenges in Cardiovascular Imaging

Saturday, 11/08/2025 , 10:30AM - 11:30AM

Abstract Poster Board Session

More abstracts on this topic:
2 Dimensional Echocardiography versus 3 Dimentional Echocardiography to Assess Right Ventricular Function in Pulmonary Hypertension: A Systematic Review

Chaudhry Waleed Razzaq, Hajj Fatima, Bathula Satyamedha, Meghji Mohammed Askari, Pasupuleti Hemalatha, Kiyani Madiha, Shah Syeda Simrah, Neelakantan Ramaswamy Sanathanan, Mirzaeidizaji Nakisa, St. Jacques Jahnoy, Khan Khalil Ullah, Veluchamy Elakkiya, Jesse Joshanna



A Case of Possible IgG4-Related Constrictive Pericarditis Masquerading as Idiopathic Pericarditis: A Rare and Elusive Diagnosis

Nandyal Shreyas, Sharma Bharosa, Gajjar Rohan, Varma Revati, Ezegwu Olisa, Amdetison Gedion Yilma, Tottleben Jon

More abstracts from these authors:
Minimal Radiation Use for Aortic Valvuloplasty During Pregnancy

Li Angela, Ghantous Eihab, Thangathurai Jenica, Lin Jeannette, Aboulhosn Jamil

An Electronic Health Record Multimodal Data Integration Platform for Comprehensive Analysis of Single Ventricle Physiology

Xu Hang, Aboulhosn Jamil, Christodoulou Anthony, Finn Paul, Hsu William, Nguyen Kimlien, Zhang Hinn, Sisniega Carlos, Renella Pierangelo, Morris Connor, Husain Majid, Satou Gary, Zhu Bing, Van Arsdell Glen

You have to be authorized to contact abstract author. Please, Login
Not Available