Logo

American Heart Association

  52
  0


Final ID: MP2368

Unveiling a High-Risk Coronary Anomaly in the Peripartum Period

Abstract Body (Do not enter title and authors here): Description of Case:
A 21-year-old G5P1 woman at 38.2 weeks gestation presented with worsening exertional chest pain, dyspnea, dizziness, and recurrent syncope. These symptoms have been present since adolescence and intensified during late pregnancy. Previous evaluations included a positive tilt table test, normal ECGs, ambulatory monitoring, and neurology consultation suggesting non-epileptic events.
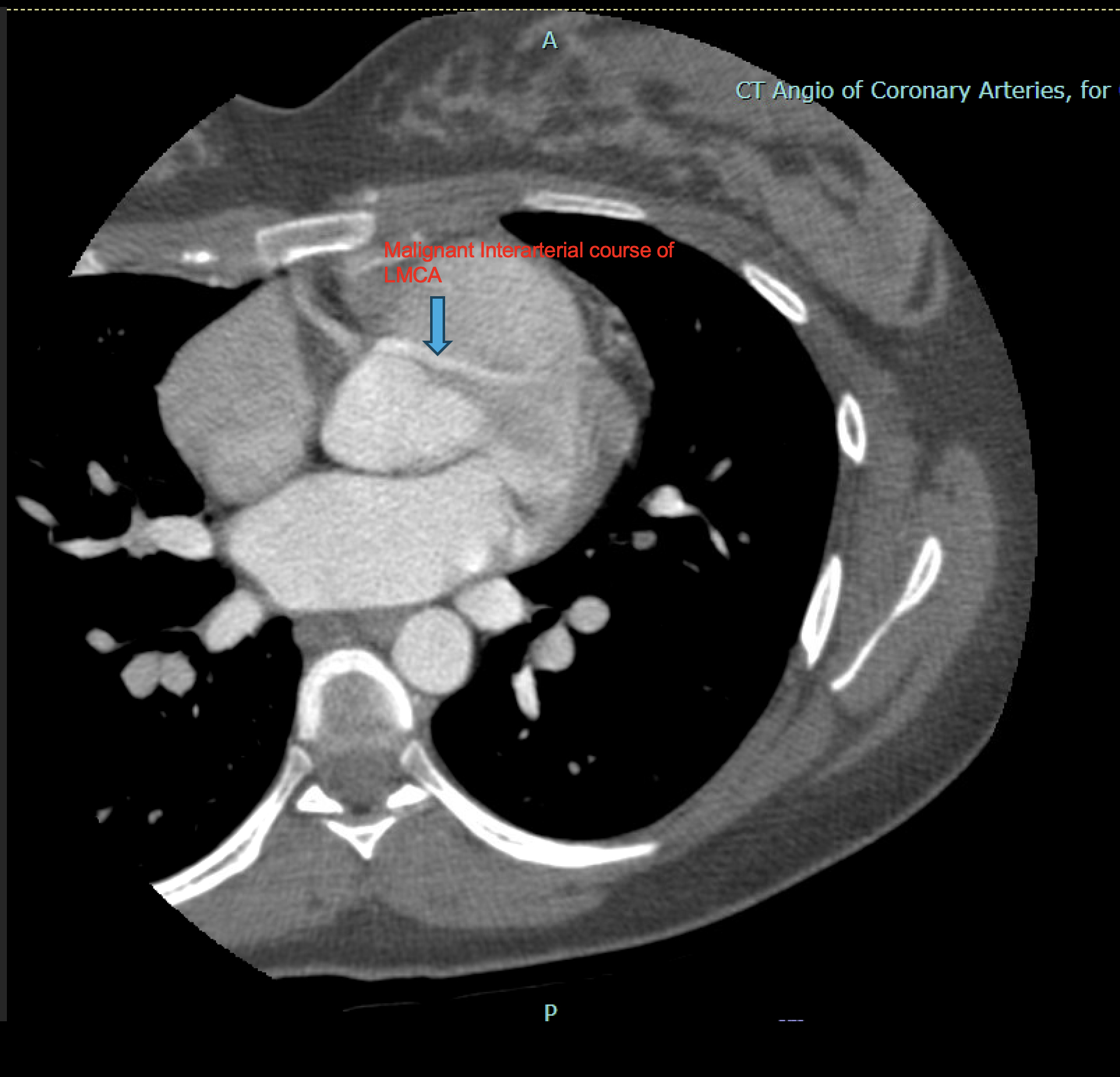
On presentation, vital signs were stable, and the acute coronary syndrome workup was negative. CT pulmonary angiography ruled out pulmonary embolism but revealed an anomalous left main coronary artery (LMCA) originating from the right coronary sinus and coursing between the aorta and pulmonary artery. She experienced intermittent chest pain and episodes of tachycardia up to 170 bpm, which were controlled with diltiazem.
Following an uncomplicated cesarean delivery at 39 weeks, coronary CTA and left heart catheterization were performed. These confirmed a malignant interarterial LMCA arising from a shared ostium with the right coronary artery. The artery had no obstructive lesions but demonstrated high-risk features, including an acute-angle takeoff and a possible slit-like ostium, prone to dynamic compression during exertion.

Discussion:
Anomalous aortic origin of the LMCA from the right sinus of Valsalva is rare (0.1 to 0.3 percent) and significantly increases the risk of myocardial ischemia and sudden cardiac death, especially with an interarterial course and high-risk morphology. Physiological changes during the peripartum period—including elevated cardiac output, aortic root and pulmonary trunk dilation, and hormonal shifts—may exacerbate dynamic compression and reduce coronary flow.
Coronary CTA is the preferred imaging modality for delineating coronary origin, course, and morphology. While Echo is widely used, its spatial resolution is limited. Cardiac MRI, traditional angiography, and intravascular ultrasound offer complementary data but may be limited by availability or invasiveness.
Given the malignant anatomy and symptomatic presentation, surgical correction via coronary artery bypass grafting (CABG) was planned after three months postpartum. This case highlights the importance of considering structural heart disease in young women with unexplained exertional chest pain or syncope, particularly in the peripartum period. It also highlights the benefit of Coronary CTA in diagnosing and risk-stratifying anomalous coronaries for surgical intervention.
  • Joshi, Yashaswi  ( University of Tennessee Graduate School of Medicine , Knoxville , Tennessee , United States )
  • Nadkarni, Soham  ( University of Tennessee Graduate School of Medicine , Knoxville , Tennessee , United States )
  • Bruner, Matthew  ( University of Tennessee Graduate School of Medicine , Knoxville , Tennessee , United States )
  • Platzer, Patrick  ( University of Tennessee Graduate School of Medicine , Knoxville , Tennessee , United States )
  • Author Disclosures:
    Yashaswi Joshi: DO NOT have relevant financial relationships | Soham Nadkarni: DO NOT have relevant financial relationships | Matthew Bruner: DO NOT have relevant financial relationships | Patrick Platzer: No Answer
Meeting Info:

Scientific Sessions 2025

2025

New Orleans, Louisiana

Session Info:

Dangerous Rhythms and Silent Threats: Cardiac Curveballs in Pregnancy and Postpartum

Monday, 11/10/2025 , 12:15PM - 01:30PM

Moderated Digital Poster Session

More abstracts on this topic:
Comparative Analysis of Prodromal Symptoms in Head-Up Tilt Test vs. Spontaneous Vasovagal Syncope

Babaei Mohammadreza, Mehrani Mehdi, Tavolinejad Hamed, Bozorgi Ali, Sadeghian Saeed, Vasheghani Farahani Ali, Yadangi Somaye, Aminorroaya Arya, Tajdini Masih

A Tuscany regional screening program for juvenile sudden cardiac death in high schools: the JUST project

Giannoni Alberto, Nuti Sabina, Emdin Michele, Bonanni Francesca, Gentile Francesco, Moschetti Francesca, Durante Angela, Pennucci Francesca, Mariani Pier Romano, Di Paolo Marco, Passino Claudio

You have to be authorized to contact abstract author. Please, Login
Not Available