Logo

American Heart Association

  31
  0


Final ID: 4358090

DCLK1 Deficiency Maintains Smooth Muscle Cell Contractile Phenotype via Suppressing TRIM21-Mediated Autophagy

Abstract Body (Do not enter title and authors here): Background: Phenotypic switching of vascular smooth muscle cells (VSMCs) greatly contributes to vascular remodeling in various vascular diseases. The underlying molecular mechanisms, however, remain incompletely understood. Microtubule-associated serine/threonine kinase doublecortin-like kinase 1 (DCLK1) is known to regulate the proliferation, migration, and differentiation of cancer cells. Yet, its role in VSMC phenotypic switching in neointimal formation during vascular injury is entirely unknown. This study aimed to examine the function of DCLK1 in VSMC phenotypic switching and neointima formation.

Research Questions: This study aimed to examine the function of DCLK1 in VSMC phenotypic switching and neointima formation.

Methods: Carotid artery ligation was performed in both wild-type and SMC-specific Dclk1-deficient mice. Single-cell RNA sequencing, bulk RNA sequencing, co-immunoprecipitation, mass spectrometry, AlphaFold modeling, and protein-protein docking analyses were performed to explore the potential role of DCLK1 in VSMC phenotypic switching and neointima formation.

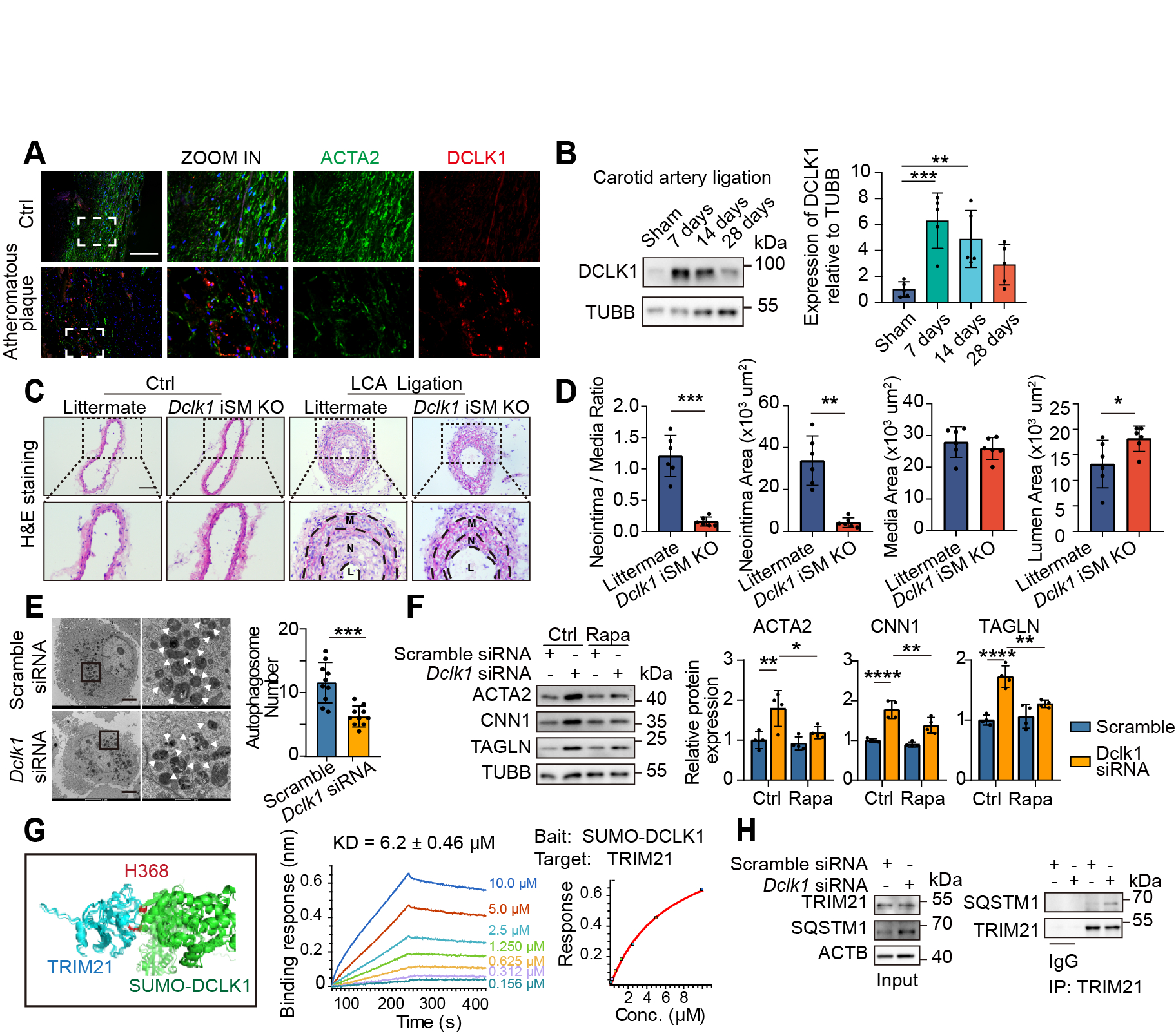
Results: DCLK1 expression in VSMCs was significantly upregulated in human carotid atherosclerotic samples and murine carotid artery ligation tissues (Figure A, B). SMC-specific deletion of Dclk1 markedly reduced neointima formation after carotid artery ligation (Figure C, D) , and the involvement of autophagy in VSMC phenotypic switching was revealed (Figure E, F). Mechanistically, DCLK1 directly interacted with the His368 site of tripartite motif-containing 21 (TRIM21) (Figure G). DCLK1 deficiency increased TRIM21-SQSTM1/P62 interaction, thereby decreasing autophagy and maintaining a contractile VSMC phenotype (Figure H). Moreover, the phenotypic switching of VSMCs was promoted by the dual knockdown of DCLK1 and TRIM21 in VSMCs.

Conclusion: Our study reveals a pivotal role of DCLK1 in promoting VSMC phenotypic switching and neointimal remodeling in response to vascular injury. Therefore, inhibition of VSMC DCLK1 may represent a potential therapeutic target for vascular hyperplasia.
  • Ni, Hui  ( The Second Affiliated Hospital, School of Medicine, Zhejiang University , Hangzhou , Zhejiang , China )
  • Chen, Yabing  ( Oregon Health and Science Universit , Portland , Oregon , United States )
  • Xiang, Meixiang  ( The Second Affiliated Hospital, School of Medicine, Zhejiang University , Hangzhou , Zhejiang , China )
  • Xie, Yao  ( The Second Affiliated Hospital, School of Medicine, Zhejiang University , Hangzhou , Zhejiang , China )
  • Lu, Yunrui  ( The Second Affiliated Hospital, School of Medicine, Zhejiang University , Hangzhou , Zhejiang , China )
  • Liu, Chang  ( The Second Affiliated Hospital, School of Medicine, Zhejiang University , Hangzhou , Zhejiang , China )
  • Zhang, Hua  ( OHSU , Portland , Oregon , United States )
  • Wu, Hui  ( OHSU , Portland , Oregon , United States )
  • Shen, Jian  ( The Second Affiliated Hospital, School of Medicine, Zhejiang University , Hangzhou , Zhejiang , China )
  • Wu, Shuang  ( The Second Affiliated Hospital, School of Medicine, Zhejiang University , Hangzhou , Zhejiang , China )
  • Zhu, Shiyu  ( The Second Affiliated Hospital, School of Medicine, Zhejiang University , Hangzhou , Zhejiang , China )
  • Ma, Hong  ( The Second Affiliated Hospital, School of Medicine, Zhejiang University , Hangzhou , Zhejiang , China )
  • Author Disclosures:
    Hui Ni: DO NOT have relevant financial relationships | Yabing Chen: DO NOT have relevant financial relationships | Meixiang Xiang: No Answer | Yao Xie: No Answer | Yunrui Lu: No Answer | Chang Liu: DO NOT have relevant financial relationships | Hua zhang: DO NOT have relevant financial relationships | Hui Wu: No Answer | Jian Shen: No Answer | Shuang Wu: No Answer | Shiyu Zhu: DO NOT have relevant financial relationships | Hong Ma: DO NOT have relevant financial relationships
Meeting Info:

Scientific Sessions 2025

2025

New Orleans, Louisiana

Session Info:

Kenneth Bloch Memorial Lecture in Vascular Biology

Monday, 11/10/2025 , 08:00AM - 09:15AM

Abstract Oral Session

More abstracts on this topic:
Carvedilol Exerts Evolutionarily Conserved Cardioprotective Effects via Autophagy Modulation and Energetics Restoration

Boukhalfa Asma, Yang Vicky, Chen Howard, Shin Pei-tsz, Meola Dawn, Showers Annie, Yu Ada, Upshaw Jenica, London Cheryl, Jaffe Iris, Pulakat Lakshmi

Association Between the Natriuretic Peptides-Cyclic Guanosine Monophosphate Cascade and Left Ventricular Reverse Remodeling After Acute Anterior Myocardial Infarction

Arai Marina, Sawada Kenichiro, Matama Hideo, Fujino Masashi, Yoneda Shuichi, Takagi Kensuke, Takahama Hiroyuki, Otsuka Fumiyuki, Kataoka Yu, Nishimura Kunihiro, Noguchi Teruo, Asaumi Yasuhide, Minamino Naoto, Yasuda Satoshi, Honda Satoshi, Ogata Soshiro, Kiyoshige Eri, Miura Hiroyuki, Nakao Kazuhiro, Murai Kota, Iwai Takamasa

More abstracts from these authors:
You have to be authorized to contact abstract author. Please, Login
Not Available