Logo

American Heart Association

  48
  0


Final ID: Su1011

Sustained Ventricular Tachycardia secondary to Metastatic Sarcoma complicated by Propranolol-Induced Right Ventricular Heart Failure

Abstract Body (Do not enter title and authors here): Description of Case
63-year-old female with a past medical history of stage II vaginal squamous cell carcinoma in remission, complicated by radiation-induced sarcoma, presented to an outside hospital with several days of dyspnea on exertion found to have new onset heart failure.

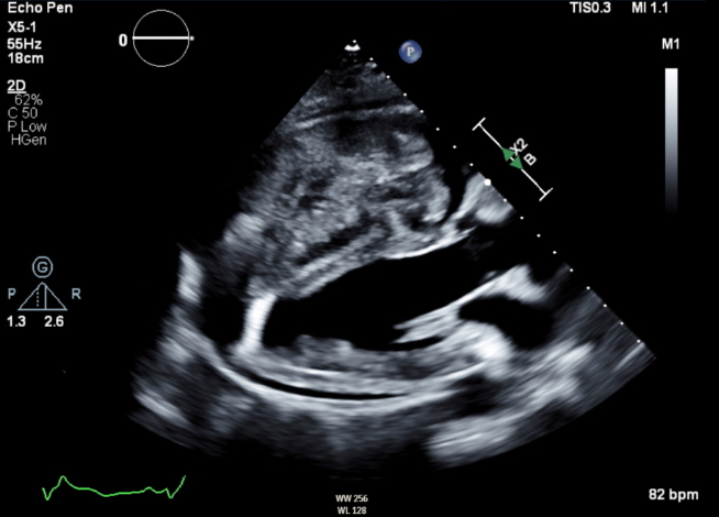
Transthoracic echocardiogram revealed a new 14cm right ventricular mass, a severely dilated right ventricle (RV) with severely reduced function, and a moderate pericardial effusion without tamponade physiology (Figure 1). The patient was transferred to our facility for cardiology and cardiothoracic surgery evaluation.

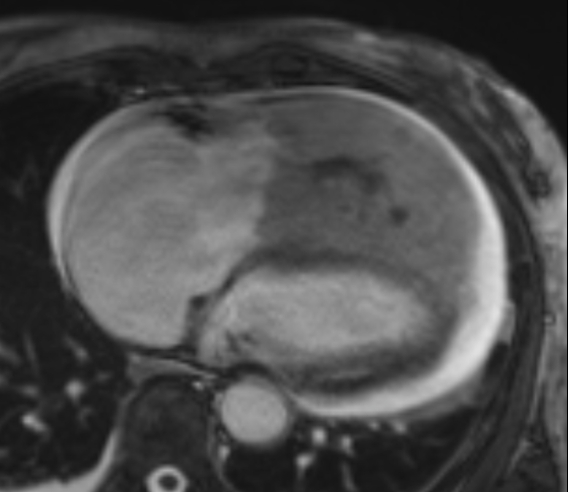
Cardiac MRI confirmed a large mass occupying a significant majority of the right ventricular cavity with central necrosis (Figure 2). Cardiac surgery deferred surgical resection given the significant invasiveness of the mass and the inability to obtain negative margins without causing substantial myocardial injury. Transcatheter biopsy was pursued with pathology revealing metastatic sarcoma.

Initiation of inpatient chemotherapy was planned but deferred due to the development of sustained monomorphic ventricular tachycardia (VT). Intravenous amiodarone, lidocaine, and procainamide were initiated, resulting in improvements in heart rate; however, the patient remained in sustained ventricular tachycardia (VT). Propranolol was introduced with subsequent conversion to normal sinus rhythm. Shortly after, the patient developed hypoxia and rising serum lactate concerning for right ventricular failure. Propranolol was discontinued and low-dose dobutamine was started to minimize potential ventricular arrhythmias while supporting the right ventricle. Lactic acidosis and hypoxic resolved with inotrope-assisted diuresis. There were no episodes of ventricular tachycardia on dobutamine. Dobutamine was discontinued and the patient was transferred out of the cardiac intensive care unit on oral amiodarone and mexiletine.

Discussion
In our case, metastatic sarcoma involving the right ventricle triggered sustained ventricular tachycardia. Amiodarone, lidocaine, and procainamide were used with improvement in ventricular rate. Propranolol was added due to its superior efficacy compared to other beta-blockers in pharmacologic cardioversion of VT storm.1 Although it successfully terminated sustained ventricular tachycardia, propranolol precipitated right ventricular failure in the context of sarcoma-induced right ventricular dysfunction, necessitating hemodynamic support with inotrope therapy.
  • Ibrahim, Michael  ( MedStar Washington Hospital Center , Washington , District of Columbia , United States )
  • Shaban, Liza  ( MedStar Washington Hospital Center , Washington , District of Columbia , United States )
  • Singam, Sarma  ( MedStar Washington Hospital Center , Washington , District of Columbia , United States )
  • Author Disclosures:
    Michael Ibrahim: DO NOT have relevant financial relationships | Liza Shaban: No Answer | Sarma Singam: No Answer
Meeting Info:

Scientific Sessions 2025

2025

New Orleans, Louisiana

Session Info:

At the Edge: Cases and Research that Shape Cardiac Critical Care

Sunday, 11/09/2025 , 03:15PM - 04:15PM

Abstract Poster Board Session

More abstracts on this topic:
A Novel Classification of Heart Failure Derived from the Nationwide JROADHF Cohort Using Unsupervised Machine Learning

Kyodo Atsushi, Tsutsui Hiroyuki, Hikoso Shungo, Nakada Yasuki, Nogi Kazutaka, Ishihara Satomi, Ueda Tomoya, Tohyama Takeshi, Enzan Nobuyuki, Matsushima Shouji, Ide Tomomi

Adverse Outcomes Following Atrial Fibrillation Ablation in Patients With Connective Tissue Disease: A Propensity-Matched Real-World Analysis

Rayyan Abdallah, Obeidat Omar, Alqudah Qusai, Khasawneh Tawfiq, Alomari Ahmad, Mestarihi Aseed, Alnabahneh Nizar, Nasser Hesham, Tong Ann

You have to be authorized to contact abstract author. Please, Login
Not Available