Logo

American Heart Association

  17
  0


Final ID: MP871

“Atrialized” Minimally Invasive Transcatheter Mitral Valve-In-MAC Replacement to Prevent Outflow Tract Obstruction

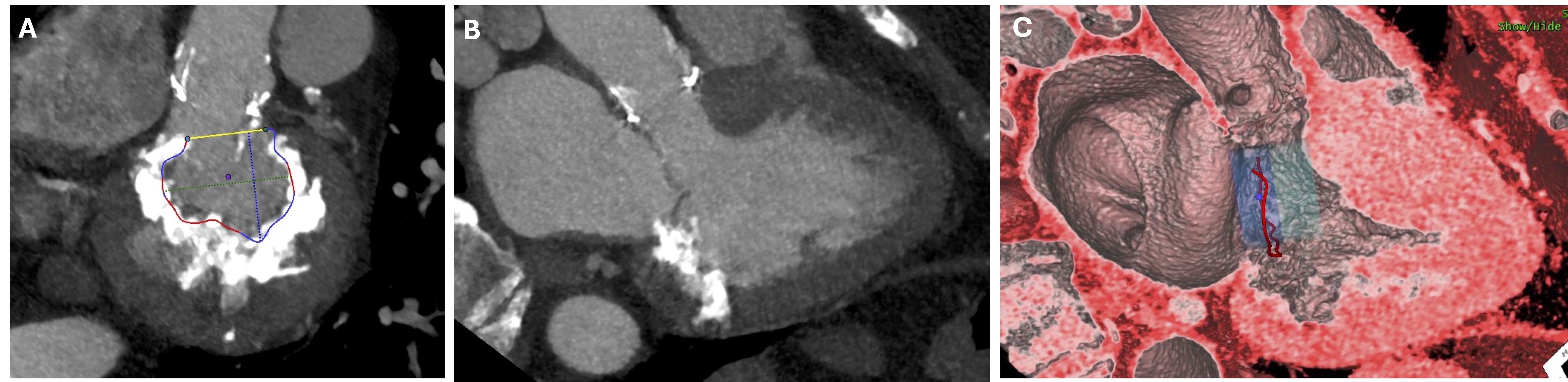
Abstract Body (Do not enter title and authors here): A 71-year-old female with a history of severe aortic stenosis status post aortic valve replacement with a 23mm bioprosthetic valve and aortic root enlargement with bovine pericardial patch 6 years prior, presented with progressive dyspnea and NYHA class III symptoms. Echocardiography revealed preserved left ventricular function and a normally functioning bioprosthetic aortic valve, but severe mitral annular calcification (MAC) with significant mitral stenosis (Mean gradient: 11 mmHg, Mitral valve area: 1.6 cm^2). Cardiac CTA showed severe circumferential MAC with >75% annular involvement and a MAC score of 8. Following multidisciplinary discussion, consensus was reached to proceed with a hybrid open transcatheter mitral valve-in-MAC replacement via right thoracotomy using an atrialized (80% atrial, 20% ventricular) approach to mitigate the risk of LVOT obstruction identified on preprocedural CT planning.

Right femoral cannulation and right anterior thoracotomy were performed. Following the initiation of cardiopulmonary bypass, the pericardium and left atrium were opened. The mitral valve was severely stenotic with extensive calcification involving both leaflets and the annulus, precluding full debridement. Consequently, only a portion of the anterior leaflet was resected to prevent displacement into the left ventricular outflow tract during valve inflation. A balloon-expandable valve was deployed using nominal volume plus 5 mL for optimal expansion and anchoring, aided by atrial sutures and an atrialized cuff. The prosthesis successfully circularized the annulus and was confirmed competent with no evidence of a paravalvular gap or leak.

A hybrid open transcatheter mitral valve-in-MAC procedure offers a viable option for patients unsuitable for conventional surgery or transcatheter approaches. While standard implantation places the valve 2 mm above the annulus (20% atrial, 80% ventricular), we employed an atrialized technique to minimize LVOT obstruction and avoid valve-septal contact. Additional balloon inflation facilitated annular circularization, ensuring full valve expansion and sealing. Meticulous preoperative planning with cardiac CT is essential to guide procedural strategy and optimize outcomes.
  • Steafo, Lark  ( William Beaumont Hospital , Royal Oak , Michigan , United States )
  • Smielewski, Mitchell  ( William Beaumont Hospital , Royal Oak , Michigan , United States )
  • Madanat, Luai  ( William Beaumont Hospital , Royal Oak , Michigan , United States )
  • Bloomingdale, Richard  ( William Beaumont Hospital , Royal Oak , Michigan , United States )
  • Jabri, Ahmad  ( William Beaumont Hospital , Royal Oak , Michigan , United States )
  • Gallagher, Michael  ( William Beaumont Hospital , Royal Oak , Michigan , United States )
  • Birk, Vishal  ( William Beaumont Hospital , Royal Oak , Michigan , United States )
  • Abbas, Amr  ( William Beaumont Hospital , Royal Oak , Michigan , United States )
  • Young, John  ( William Beaumont Hospital , Royal Oak , Michigan , United States )
  • Suri, Rakesh  ( William Beaumont Hospital , Royal Oak , Michigan , United States )
  • Author Disclosures:
    Lark Steafo: DO NOT have relevant financial relationships | Mitchell Smielewski: No Answer | Luai Madanat: DO NOT have relevant financial relationships | Richard Bloomingdale: No Answer | Ahmad Jabri: No Answer | Michael Gallagher: No Answer | Vishal Birk: No Answer | Amr Abbas: DO have relevant financial relationships ; Speaker:Edwards Life Sciences :Active (exists now) ; Speaker:anteris :Active (exists now) | John Young: DO NOT have relevant financial relationships | Rakesh Suri: No Answer
Meeting Info:

Scientific Sessions 2025

2025

New Orleans, Louisiana

Session Info:

Complex Aortic Pathology Clinical Case Series

Saturday, 11/08/2025 , 01:45PM - 03:00PM

Moderated Digital Poster Session

More abstracts on this topic:
Acceptability and Gain of Knowledge of Community Educational Tools About Rheumatic Heart Disease Integrated With Screening In Low-Income Settings

Abrams Jessica, Nunes Maria, Diniz Marina, Fraga Lucas, Paula Luiza, Coelho Cecilia, Tacuri Chavez Luz Marina, Lemos Larissa, Correia Julliane, Ribeiro Antonio, Nascimento Bruno, Sable Craig, Spaziani Alison, Zuhlke Liesl, Cardoso Clareci, Vinhal Wanessa, Ribeiro Isabely, Oliveira Kaciane, Amaral Ingred Beatriz

AI-driven Aortic Valve Calcification Measurement in Coronary Artery Calcium Scan Detects Aortic Stenosis Comparably to Human Experts: An AI-CVD Study within the Framingham Heart Study

Naghavi Morteza, Atlas Kyle, Zhang Chenyu, Reeves Anthony, Atlas Thomas, Wasserthal Jakob, Yankelevitz David, Henschke Claudia, Wong Nathan

More abstracts from these authors:
Optimizing AV Nodal Ablation: The Role of Coronary Dominance in Procedural Planning

Mazumder Samia, Madanat Luai, Kheyrbek Mazhed, Foglesong Adam, Bloomingdale Richard, Kutinsky Ilana

Heart Failure and Cardiomyopathy Mortality Trends and Disparities among Obese Populations: A 20-Year U.S. Study

Yeo Yong Hao, San Boon Jian, Ahmad Ela, Tan Min Choon, Sin Yuh Miin, Jani Milena, Bloomingdale Richard

You have to be authorized to contact abstract author. Please, Login
Not Available