Logo

American Heart Association

  22
  0


Final ID: MP82

Late Presentation Myocardial Infarction With Dueling Mechanical Complications: Dynamic Left Ventricular Outflow Tract Obstruction (LVOTO) and Ventricular Septal Rupture (VSR)

Abstract Body (Do not enter title and authors here): Introduction
Post-myocardial infarction ventricular septal defect (MI-VSD) is a rare, often fatal complication of MI, regardless of treatment approach. Presentations vary from new murmurs to acute cardiogenic shock. This case describes a patient with delayed MI presentation complicated by ventricular rupture.
Case Presentation
An 81-year-old woman with B-cell lymphoma, emphysema, and autoimmune hepatitis presented with progressive dyspnea and cough. Initially treated for an upper respiratory infection, she deteriorated and arrived in SCAI C cardiogenic shock. She was hypoxemic on high-flow nasal cannula; blood gas showed severe acidosis and lactate of 13.9 mmol/L. Exam revealed bibasilar rales, cool mottled extremities, and no murmur.
ECG showed tachycardia with new anterolateral Q waves and ST elevation in V2–V5, prompting STEMI activation. Bedside echo showed apical and inferoseptal akinesis. Coronary angiography was deferred due to delayed presentation and down-trending high-sensitivity troponin (618 ng/L). She was admitted to the CCU, where shock improved with norepinephrine, milrinone, and IV diuresis.
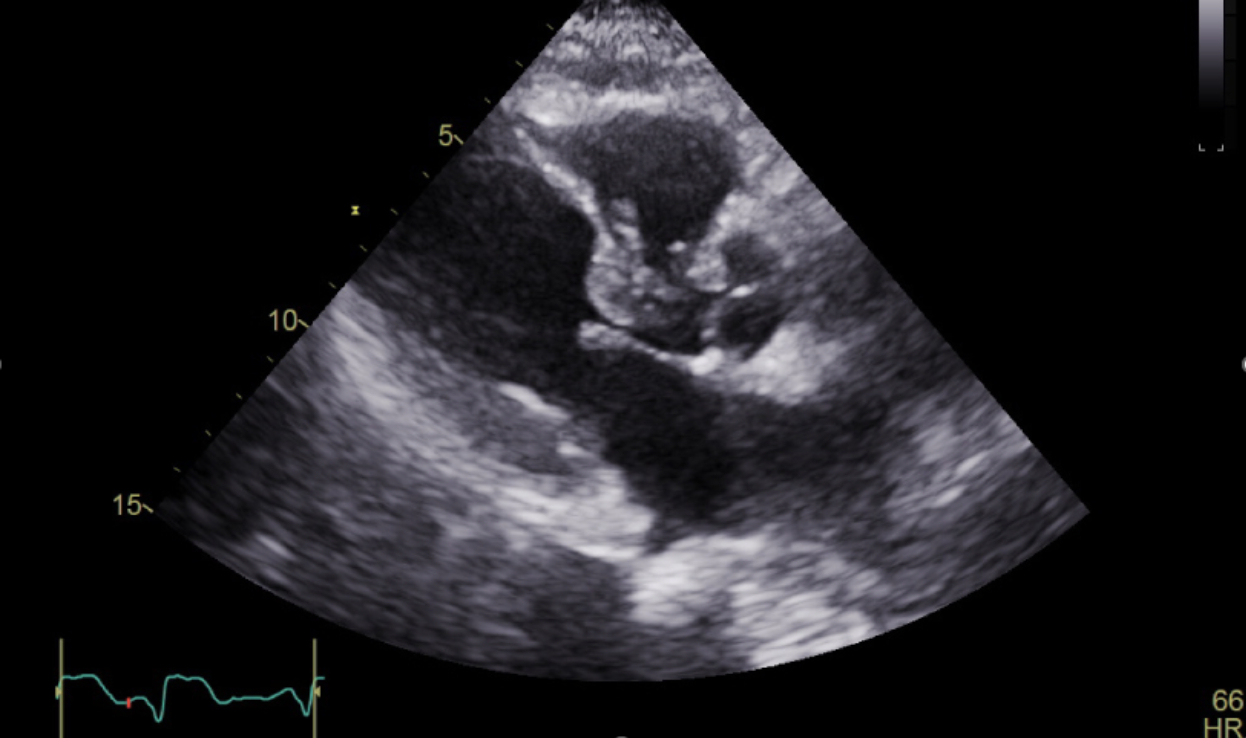
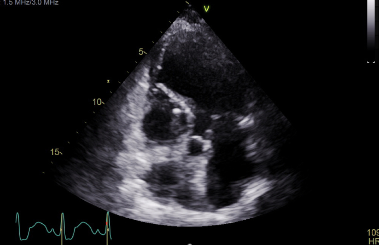
Her course was complicated by new-onset atrial fibrillation with RVR. Despite IV amiodarone, RVR persisted, along with worsening respiratory status and increasing vasopressors needs. Limited echocardiography revealed basal hypercontractility and dynamic LV outflow tract obstruction (LVOTO). Esmolol was considered to reduce the gradient. Simultaneously, pulmonary artery catheter readings suggested new left-to-right shunting. A new loud holosystolic murmur was heard, and repeat echocardiogram confirmed a large ventricular septal rupture (VSR).
Per the patient’s prior wishes, surgical intervention was deferred. Palliative care was initiated, and the patient passed away comfortably.
Discussion
This case underscores the importance of vigilance for both arrhythmogenic and mechanical complications in late-presenting, un-revascularized MI. The presence of dual complications—dynamic LVOTO and VSR—illustrates the clinical complexity. This case also highlights key decision points regarding temporary mechanical circulatory support and the need to weigh aggressive interventions against patient goals in frail, multi-morbid individuals, where benefit to quality of life and survival may be limited.
  • Mirza, Jacqueline  ( Mount Sinai Morningside West Hospital , New York , New York , United States )
  • Bourne, Michael  ( Mount Sinai Morningside Cardiovascular Institute , New York , New York , United States )
  • Ahmadi, Amirali  ( Mount Sinai Morningside Cardiovascular Institute , New York , New York , United States )
  • Author Disclosures:
    Jacqueline Mirza: DO NOT have relevant financial relationships | Michael Bourne: No Answer | Amirali Ahmadi: No Answer
Meeting Info:

Scientific Sessions 2025

2025

New Orleans, Louisiana

Session Info:

Cases that Challenge: Lessons from the Frontlines

Saturday, 11/08/2025 , 03:15PM - 04:30PM

Moderated Digital Poster Session

More abstracts on this topic:
A Personal Risk Assessment Device in Patients with Chest Pain

Shvilkin Alexei, Zlatic Natasa, Atanasoski Vladimir, Grujovic Zdolsek Sanja, Popovic Maneski Lana, Miletic Marjan, Vukcevic Vladan

Adverse Events and Outcomes Among Patients with Temporary Mechanical Circulatory Support Devices Placed at Referring Versus Hub Cardiogenic Shock Centers

Patel Zachary, Silkowski Molly, Dodson Kaylen, Bull Lindsey, Gregoski Mathew, Tedford Ryan, Mcmurray Jeffrey, Witer Lucas, Kilic Arman, Houston Brian, Carnicelli Anthony, Ospina Meg, Mittelstaedt Roxanne, Peller Jacob, Samani Stephanie, Marchell Charlotte, Ohlrich Kelly, Gunn Brady, Varrone Michael

More abstracts from these authors:
Does Location Matter? Comparison of Myocardial Substrate in Patients with Non-Ischemic Cardiomyopathy Undergoing Ventricular Tachycardia Ablation

Vashistha Kirtivardhan, Koruth Jacob, Whang William, Miller Marc, Lampert Joshua, Dukkipati Srinivas, Reddy Vivek, Maan Abhishek, Newman Seth, Mirza Jacqueline, Garikapati Srilakshmi, Stanton Eric, Chadha Sakshum, Musikantow Daniel, Turagam Mohit

P-Wave Parameters on 12-Lead Electrocardiogram after Catheter Ablation: A Comparison between Pulsed Field Ablation and Cryoablation

Chadha Sakshum, Miller Marc, Lampert Joshua, Dukkipati Srinivas, Reddy Vivek, Newman Seth, Maan Abhishek, Mirza Jacqueline, Garikapati Srilakshmi, Musikantow Daniel, Turagam Mohit, Koruth Jacob, Whang William

You have to be authorized to contact abstract author. Please, Login
Not Available