Logo

American Heart Association

  29
  0


Final ID: MP2703

Recurrent Triple Vessel Spontaneous Coronary Artery Dissection following GLP-1 Receptor Agonist Use

Abstract Body (Do not enter title and authors here): Introduction:
Spontaneous coronary artery dissection (SCAD) is an infrequent but increasingly recognized cause of myocardial infarction that disproportionately affects women. SCAD is influenced by hormone fluctuations, arteriopathies, and physical & emotional stressors. We present a unique case of recurrent multivessel SCAD after severe emesis following GLP-1 receptor agonist (GLP-1RA) use.
Case:
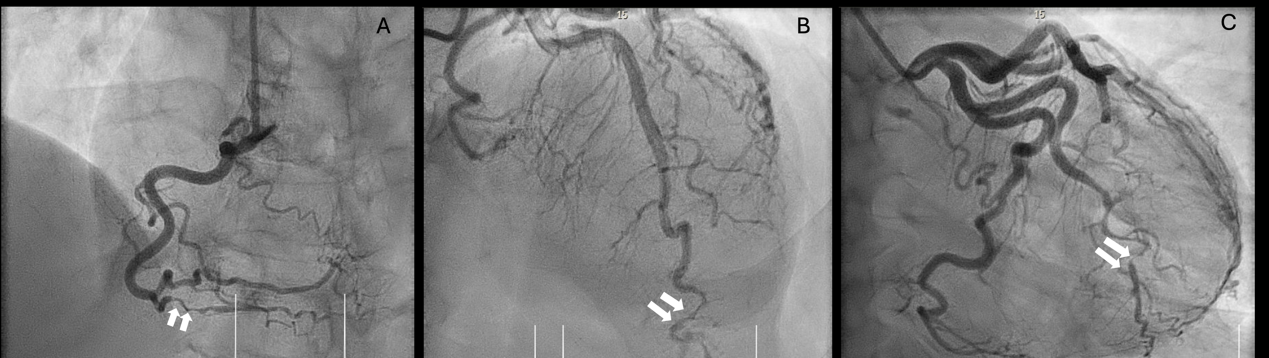
A 58-year-old woman with past medical history of hypertension and depression presented to an emergency room (ER) with acute chest pain after intense running and was diagnosed with single vessel SCAD of the right coronary artery on coronary angiography. She was treated with dual antiplatelet therapy (DAPT) for 30 days and beta blockers without recurrent angina. One year later, she began taking a GLP-1RA (semaglutide 0.25 mg SQ once weekly) for weight loss, and developed extreme nausea and vomiting hours after her first dose. While retching, she experienced chest pain reminiscent of her prior SCAD episode and presented to the ER. Serial ECGs showed dynamic inferolateral ST depressions. Her initial high-sensitivity troponin I was 224 pg/mL and peaked at 15,492 pg/mL. Transthoracic echocardiogram showed normal function and no wall motion abnormalities. Coronary angiography revealed triple-vessel Type 2 SCAD involving the first obtuse marginal branch, distal left anterior descending artery, and posterior descending artery; each with TIMI 3 flow and not requiring percutaneous coronary intervention. Her chest pain was controlled with oral nitrates and beta blockers. She was prescribed DAPT with aspirin and clopidogrel for 6 months and discharged home with recommendation for outpatient fibromuscular dysplasia screening and cardiac rehabilitation. She was cautioned to discuss with her outpatient providers prior to reinitiation of GLP-1RAs.
Discussion:
This case illustrates a unique recurrence of SCAD occurring after semaglutide-induced vomiting, supporting a potential link between intense retching and SCAD in predisposed individuals. Although GLP-1RAs are not known to directly cause SCAD, their gastrointestinal side effects may act as precipitating physical stressors. With the anticipated exponential increase in GLP-1RA use, this case underscores the importance of exercising caution when initiating therapies with emetogenic potential in patients with a history of SCAD. Further studies are needed to understand this potential risk and guide safe therapeutic practices.
  • Vuong, Jacqueline  ( Cedars Sinai Medical Center , Los Angeles , California , United States )
  • Wei, Janet  ( CEDARS-SINAI MEDICAL CENTER , Los Angeles , California , United States )
  • Iribarren, Ana  ( Cedars Sinai Medical Center , Los Angeles , California , United States )
  • Moore, Naing  ( Kaiser Permanente, Los Angeles, California , Los Angeles , California , United States )
  • Author Disclosures:
    Jacqueline Vuong: DO NOT have relevant financial relationships | Janet Wei: DO NOT have relevant financial relationships | ANA IRIBARREN: DO NOT have relevant financial relationships | naing moore: No Answer
Meeting Info:

Scientific Sessions 2025

2025

New Orleans, Louisiana

Session Info:

Microvascular & Non-Obstructive Coronary Disease: Mechanisms to Management

Monday, 11/10/2025 , 01:45PM - 02:45PM

Moderated Digital Poster Session

More abstracts on this topic:
Age-Stratified Clinical Characteristics in Spontaneous Coronary Artery Dissection (SCAD)- A Comparative Analysis from the iSCAD Registry

Kim Esther, Tam Lori, Hess Connie, Lewey Jennifer, Chaudry Hannah, Orford James, Lindley Kathryn, Kumbhani Dharam, Wells Gretchen, Gibson Charles, Leon Katherine, Rana Mariam, Naderi Sahar, Gornik Heather, Wood Malissa, Scott Nandita, Chi Gerald, Grodzinsky Anna, Wells Bryan, Kadian-dodov Daniella, Rodriguez-lozano Patricia

Aortic Dissection-Related Mortality in Hypertensive U.S. Adults: A 25-Year Portrait of Trends and Disparities From 1999 to 2023

Ahmed Syed Areeb, Saeed Humza, Unus Ahmad Talha, Afaq Rana Muhammad, Mayo Jawad Zafar, Goyal Priya

More abstracts from these authors:
You have to be authorized to contact abstract author. Please, Login
Not Available