Logo

American Heart Association

  30
  0


Final ID: Sa3140

Innovative Use Of Rotational Atherectomy In Heavily Calcified Superior Mesenteric Artery Stenosis

Abstract Body (Do not enter title and authors here): Description of Case: An 82-year-old female with coronary artery disease (CAD) and obesity status post Roux-en-Y gastric bypass was hospitalized with months of postprandial abdominal pain, nausea, and vomiting. The exam revealed mid-left abdominal and umbilical tenderness.

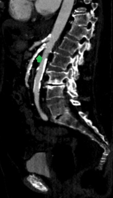
CTA revealed bulky calcifications with severe short-segment stenosis in the proximal superior mesenteric artery (SMA), minor proximal narrowing in the celiac artery, and some calcifications at the origin of the inferior mesenteric artery (Image 1).

Right femoral arterial access was obtained, and SMA was engaged using a 6-French IMA guide catheter. Angiogram showed a 99% heavily calcified proximal SMA stenosis with a patent celiac artery (Image 2A). A BMW wire was used to cross the proximal SMA lesion. Multiple balloons were tried, but were unable to cross the lesion. Turnpike and Finecross catheters were attempted for Rotawire exchange without success. The lesion was then crossed with a Rotawire. A 1.5 mm RotaPro burr was used to perform two passes of rotational atherectomy for 110 seconds. The Rotawire was exchanged for a Grandslam wire using a Finecross catheter. Balloon angioplasty was performed with 4.0 x 27 mm and 5.0 x 20 mm noncompliant Trek balloons. IVUS showed severe nodular calcific stenosis with fractures in calcium (Image 3). After vessel sizing, a 6.0 x 29 mm Omnilink stent was deployed in ostial-proximal SMA. Post-dilation was performed with a 6.0 x 20 mm Dorado balloon. Final angiography showed the reduction of stenosis to 20% with significantly improved flow (Image 2B). The patient had an uneventful recovery and complete symptom resolution.

Discussion: Both surgical and endovascular revascularization are established treatments for chronic mesenteric ischemia, with endovascular therapy often favored in high-risk surgical candidates. Heavily calcified lesions challenge conventional angioplasty and stenting. While rotational atherectomy is established in CAD interventions, peripheral artery use is more conservative, reserving it for select cases. Its use in SMA is rarely reported. This case demonstrates the feasibility and benefit of rotational atherectomy in severe calcific SMA stenosis. It adds to the limited literature supporting this technique as an adjunct in complex abdominal artery interventions, particularly when standard endovascular methods are insufficient and surgical risk is high. The patient was treated without surgery, underscoring its role in high-risk cases.
  • Kazmi, Farwa  ( South Central Regional Medical Center , Laurel , Mississippi , United States )
  • Jehangir, Qasim  ( Trinity Health Oakland - Wayne State University , Pontiac , Michigan , United States )
  • Gjeka, Rudin  ( Trinity Health Oakland Hospital , Pontiac , Michigan , United States )
  • Author Disclosures:
    Farwa Kazmi: DO NOT have relevant financial relationships | Qasim Jehangir: DO NOT have relevant financial relationships | Rudin Gjeka: No Answer
Meeting Info:

Scientific Sessions 2025

2025

New Orleans, Louisiana

Session Info:

PAD Medical Therapies

Saturday, 11/08/2025 , 02:30PM - 03:30PM

Abstract Poster Board Session

More abstracts on this topic:
Efficacy and Safety of Paclitaxel-coated balloons versus Uncoated balloons in the Management of Coronary in-stent restenosis: a Meta Analysis of Randomized Controlled Trials

Najeeb Hala, Gul Wajiha, Kashif Hamna, Nasir Beena Muntaha, Moeed Abdul, Alam Mahboob, Bennett Courtney, Malik Javeria, Christina Carol, Aquil Sakina, Aamir Muhammad, Aslam Mutiba, Rasheed Ayesha, Khalid Muhammad, Butt Malaika

Association of Estimated Pulse Wave Velocity on Endovascular Treatment Outcome: A Secondary Analysis of the OPTIMAL-BP trial

Han Minho, Joo Haram, Lee Hyungwoo, Heo Joonnyung, Jung Jae Wook, Kim Young Dae, Park Eunjeong, Nam Hyo Suk

You have to be authorized to contact abstract author. Please, Login
Not Available