Logo

American Heart Association

  61
  0


Final ID: MP52

Massive Aortic Root Thrombus and Coronary Embolization in a Heart Transplant Recipient on Venoarterial Extracorporeal Membrane Oxygenation (VA-ECMO) for Graft Dysfunction: An Imaging Case Report

Abstract Body (Do not enter title and authors here): A 44-year-old recent heart transplant recipient supported by VA-ECMO presented to the operating room (OR) for left ventricular (LV) vent removal. She had a history of double-inlet LV with right atrioventricular valve atresia and transposition of great arteries, status post fenestrated Fontan complicated by end-stage heart failure. Three days ago, she underwent a fourth sternotomy and orthotopic heart transplant complicated by coagulopathy and severe bi-ventricular dysfunction necessitating initiation of central VA-ECMO. Due to massive blood product transfusion and ventricular dilatation, an apical LV vent was inserted. Postoperatively the arterial line waveform remained non-pulsatile.

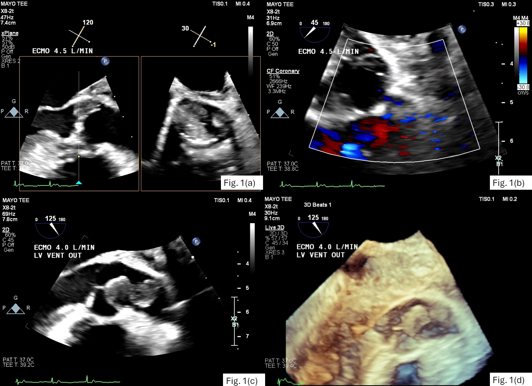
The patient was brought to the OR for mediastinal debridement and removal of the LV vent for the purpose of assessing ventricular function and improving arterial pulsatility. Pulse pressure remained negligible at an ECMO flow of 4.5 L/min. Transeosphageal echocardiography (TEE) demonstrated extensive thrombosis of the aortic root, particularly involving the right and non-coronary sinuses (Fig 1a). The aortic valve (AV) did not open. Patency of the left main coronary ostium was evident by color Doppler (Fig 1b) although no right coronary artery (RCA) flow could be visualized. The tip of LV vent was seen tenting the anterior leaflet of mitral valve (MV) causing significant regurgitation. (Fig. 2a-d)

After vent removal, LV contraction gradually increased and the AV began to open. This progressively dislodged thrombus from the aortic root. At the conclusion of imaging, there was a highly mobile, bi-lobed thrombus attached to the sinotubular junction (Fig 1c-d). Right ventricular (RV) function remained severely reduced. Moderate mitral regurgitation persisted, arising from A2 leaflet prolapse.

This patient subsequently underwent transcatheter thrombectomy and aspiration of the aortic root with cerebral protection device. Coronary angiogram confirmed proximal RCA occlusion (Fig. 3). Attempts to remove RCA thrombus were only partially successful. She eventually required a second heart transplant due to RV infarction.

Discussion:
This case illustrates a TEE-detected complication of excessive LV venting during VA-ECMO support, namely aortic root thrombosis associated with lack of AV opening. TEE also demonstrated the associated complications of RCA occlusion and iatrogenic mitral valve injury. Unfortunately, these complications were not detected soon enough to avoid RV infarction.
  • Wong, Chun Kit  ( Mayo Clinic , Rochester , Minnesota , United States )
  • Rehfeldt, Kent  ( Mayo Clinic , Rochester , Minnesota , United States )
  • Author Disclosures:
    Chun Kit Wong: DO have relevant financial relationships ; Research Funding (PI or named investigator):Pfizer:Active (exists now) | Kent Rehfeldt: DO NOT have relevant financial relationships
Meeting Info:

Scientific Sessions 2025

2025

New Orleans, Louisiana

Session Info:

Complex Cases and Bold Solutions: Innovations in Advanced Cardiovascular Care

Saturday, 11/08/2025 , 10:45AM - 12:00PM

Moderated Digital Poster Session

More abstracts on this topic:
Association Between Area of Maximal Compression During CPR Determined by Transesophageal Echocardiography, ETCO2, and Return of Spontaneous Circulation: An International Multicenter Study

Teran Felipe, Doynow Daniel, De Villa Eleonora, Woo Michael, Thavanathan Rajiv, Burns Katharine, Prager Ross, Arntfield Robert, Myslik Frank, Robinson Evan, Haines Lawrence, Owyang Clark, Buchanan Brian, Jafry Zan, Sands Nathaniel, Kaviyarasu Aarthi, Abella Benjamin, Wray Trenton, Lessard Justine, Bedard Michel William, Hipskind John, Salinas Pedro, Dieiev Vladyslav, Nogueira Jonathan

Comparing Outcomes in Low versus High Activated Partial Thromboplastin Time-guided Anticoagulation Monitoring during Extracorporeal Membrane Oxygenation

Khoury Fadi, Ma Mariel, Specht Hayley, Chiang I-hui

You have to be authorized to contact abstract author. Please, Login
Not Available