Logo

American Heart Association

  63
  0


Final ID: MP2480

Severe Hypoxic Respiratory Failure After Watchman Device Implantation in a Patient With Bioprosthetic Tricuspid Stenosis and Persistent iASD

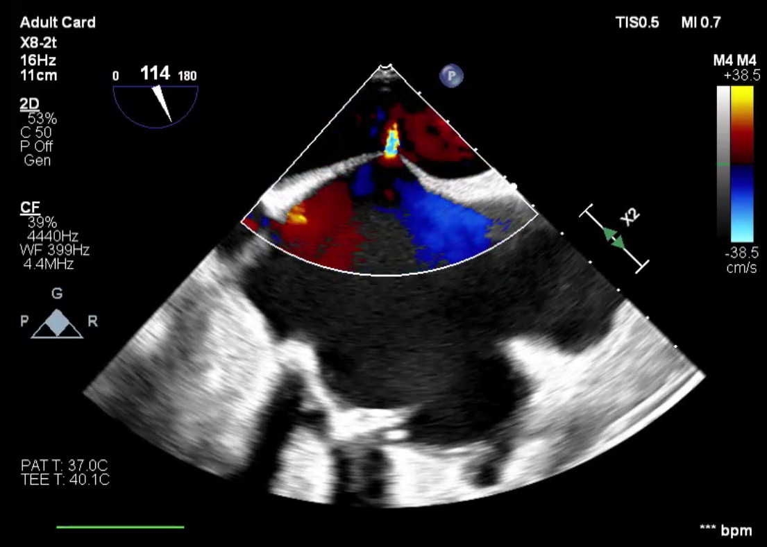
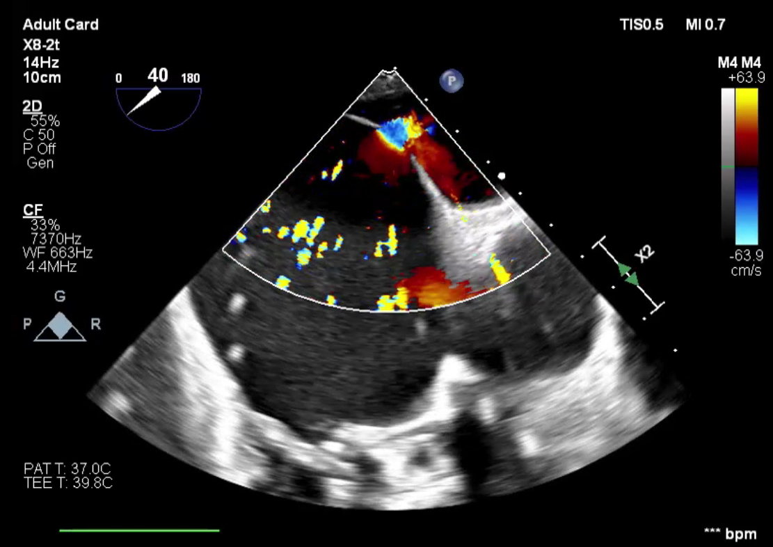
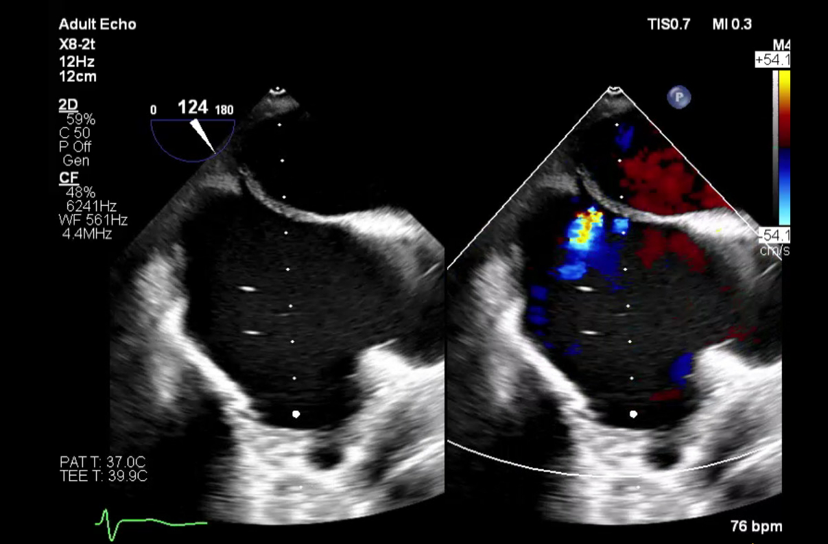
Abstract Body (Do not enter title and authors here): Case Description: A 54-year-old male with ESRD on hemodialysis, tricuspid valve endocarditis status post bioprosthetic valve replacement, and atrial fibrillation status post catheter ablation one month prior, underwent elective Watchman device implantation. Following successful device placement, the patient continued to require ventilator support. Intra-procedural TEE revealed a known iatrogenic atrial septal defect (iASD) from prior ablation with a moderate right-to-left shunt and a peak gradient of 16 mmHg. The bioprosthetic tricuspid valve demonstrated severe stenosis. Additional findings included moderate-to-severe tricuspid regurgitation, a severely dilated right atrium, and preserved left ventricular ejection fraction. The patient remained ventilator-dependent and developed septic shock within 24 hours secondary to pneumonia. Despite dialysis and antibiotic therapy, hypoxia persisted. The right-to-left shunt across the iASD, driven by elevated right atrial pressure from severe tricuspid stenosis, was identified as a major contributor. On hospital day 9, the patient underwent transcatheter tricuspid valve replacement. Following the procedure, he improved rapidly, was extubated within 48 hours, and was discharged four days later, off supplemental oxygen and ambulating with support. At 45-day follow-up, he remained asymptomatic. TEE showed a well-functioning tricuspid prosthesis, moderately dilated right atrium, and two small ASDs with predominantly left-to-right flow.
Discussion: Transseptal puncture is an essential component of Watchman device implantation. Factors such as the size and stiffness of the delivery sheath, repeated septal instrumentation, or prolonged left atrial dwell time may increase the risk of persistent iASD. Recent studies have shown that up to one-third of patients undergoing left atrial appendage closure may have persistent iASDs at 45-day follow-up, with a smaller subset exhibiting right-to-left shunting often in the context of elevated right-sided pressures. In patients with pre-existing iASDs from prior transseptal procedures, the cumulative impact may result in clinically significant hypoxia following device implantation. In this case, the patient’s hemodynamic instability was further exacerbated by sepsis and volume overload due to ESRD, both of which increased right-sided pressures and worsened the shunt. The definitive intervention involved treating the underlying cause, tricuspid stenosis, rather than closing the iASD.
  • Shakeri, Soroush  ( Maimonides Medical Center , Brooklyn , New York , United States )
  • Cunn, Gregory  ( Maimonides Medical Center , Brooklyn , New York , United States )
  • Author Disclosures:
    Soroush Shakeri: DO NOT have relevant financial relationships | Gregory Cunn: DO NOT have relevant financial relationships
Meeting Info:

Scientific Sessions 2025

2025

New Orleans, Louisiana

Session Info:

Clinical Case: Box of Chocolates

Monday, 11/10/2025 , 12:15PM - 01:30PM

Moderated Digital Poster Session

More abstracts on this topic:
A novel risk score predicts the prevalence of left atrial low-voltage areas and rhythm outcome in patients undergoing long-standing persistent atrial fibrillation ablation

Ooka Hirotaka, Nakao Sho, Kusuda Masaya, Ariyasu Wataru, Kudo Satoshi, Fujii Subaru, Mano Toshiaki, Matsuda Yasuhiro, Masuda Masaharu, Okamoto Shin, Ishihara Takayuki, Nanto Kiyonori, Tsujimura Takuya, Hata Yosuke, Uematsu Hiroyuki

ANDES-CHD-AI study: A New algorithm DEtectS critical Congenital Heart Disease using Artificial Intelligence at different altitudes

Bravo-jaimes Katia, Mallma Majhifl, Sharma Grishma, Gamarra-valverde Norma, Velarde Zegarra Luis, Blas Ortiz Karem Beatriz, Cordova Paucarchuco Daniel Odiseo, Astete Valdez Beatriz Regina, Aguirre Jimenez Joaquin, Cutipa Apaza Nicol Alexandra, Jaramillo Ospina Luisa Fernanda, Nombera Aznaran Milagros, Triveno Huamannahui Jenny, Avila Arias Diana Nathaly, Laura Cabrera Mabel, Vargas Montano Alessandra, Mcleod Christopher, Carter Rickey, Davila Carmen, Tolentino Gabancho Priscila Carol, Ordaz Paulina, Martinez Leslie, Galdos Jorge, Rosales Claudio William Walt, Chavez Edgar

You have to be authorized to contact abstract author. Please, Login
Not Available