Logo

American Heart Association

  54
  0


Final ID: Sa3131

Aortic Root Pseudoaneurysm Following Bicuspid Aortic Valve Endocarditis and Root Reconstruction

Abstract Body (Do not enter title and authors here): Background
Aortic root pseudoaneurysm is a rare but life-threatening complication of cardiac surgery or infective endocarditis. Early diagnosis and surgical repair are vital due to rupture, embolization, and hemodynamic compromise risks. We present a case of pseudoaneurysm formation following bicuspid aortic valve (BAV) endocarditis and root reconstruction.

Case Summary
A 70-year-old male with chronic back pain and benign prostatic hyperplasia presented with acute-on-chronic back pain, fever, and signs of sepsis. Blood cultures grew oxacillin-sensitive Staphylococcus aureus. Initial transesophageal echocardiography (TEE) showed reduced ejection fraction (EF 30–35%), severely calcified BAV with moderate insufficiency, but no vegetations. Coronary angiography revealed non-obstructive disease. He was treated with IV antibiotics and discharged to inpatient rehabilitation.

Soon after, he re-presented with neurological deficits. Imaging revealed a right middle cerebral artery infarct and left occipital hemorrhage, suspected due to septic emboli or ruptured mycotic aneurysm. Repeat TEE showed severe aortic regurgitation, leaflet perforation, and perivalvular abscess. Emergent surgery included aortic valve replacement, abscess debridement, pericardial patch aortic root reconstruction, and anterior mitral leaflet repair. Pathology confirmed active endocarditis with vegetations and abscesses. Postoperative TEE showed a stable prosthesis and improved EF (40–45%). He completed antibiotics and was discharged home.

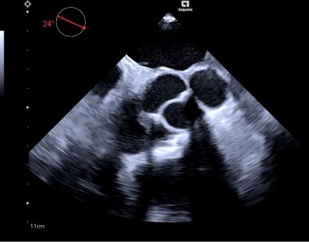
TEE done at a routine follow-up three years later revealed an echogenic sinus of Valsalva structure with a >1.2 cm wide neck communicating with the ascending aorta—findings consistent with pseudoaneurysm from pericardial patch dehiscence. Redo sternotomy and a modified Bentall procedure were performed, including explantation of the bioprosthesis, root and valve replacement with a bioprosthetic conduit, ascending aorta replacement, and coronary reimplantation. The procedure was successful with preserved cardiac function and clinical improvement.

Discussion
This case illustrates the severe sequelae of BAV endocarditis, including late pseudoaneurysm formation post-reconstruction. Contributing factors may include persistent infection, mechanical stress, and impaired healing. Given the significant mortality risk of rupture, early detection, prompt surgical intervention, and ongoing multidisciplinary surveillance are essential for optimal management.
  • Odai, Reuben  ( University of Kansas School of Medicine-Wichita , Wichita , Kansas , United States )
  • Kutilek, Frank  ( Kansas College of Osteopathic Medicine , Wichita , Kansas , United States )
  • Alchaer, Anthony  ( University of Kansas School of Medicine-Wichita , Wichita , Kansas , United States )
  • Sajjad, Laiba  ( University of Kansas School of Medicine-Wichita , Wichita , Kansas , United States )
  • Farhoud, Hussam  ( Heartland Cardiology , Wichita , Kansas , United States )
  • Author Disclosures:
    Reuben Odai: DO NOT have relevant financial relationships | Frank Kutilek: DO NOT have relevant financial relationships | Anthony Alchaer: DO NOT have relevant financial relationships | Laiba Sajjad: DO NOT have relevant financial relationships | Hussam Farhoud: No Answer
Meeting Info:

Scientific Sessions 2025

2025

New Orleans, Louisiana

Session Info:

Clinical Mechanisms and Models: Advancing Our Understanding of Valve Pathophysiology

Saturday, 11/08/2025 , 02:30PM - 03:30PM

Abstract Poster Board Session

More abstracts on this topic:
Association Between Area of Maximal Compression During CPR Determined by Transesophageal Echocardiography, ETCO2, and Return of Spontaneous Circulation: An International Multicenter Study

Teran Felipe, Doynow Daniel, De Villa Eleonora, Woo Michael, Thavanathan Rajiv, Burns Katharine, Prager Ross, Arntfield Robert, Myslik Frank, Robinson Evan, Haines Lawrence, Owyang Clark, Buchanan Brian, Jafry Zan, Sands Nathaniel, Kaviyarasu Aarthi, Abella Benjamin, Wray Trenton, Lessard Justine, Bedard Michel William, Hipskind John, Salinas Pedro, Dieiev Vladyslav, Nogueira Jonathan

CAUGHT IN THE NET: A RARE CASE OF MRSA ENDOCARDITIS OF THE CHIARI NETWORK

Subramanian Lakshmi, Udani Kunjan, Srikanth Sashwath, Alrubaye Lara, Ardhanari Sivakumar

More abstracts from these authors:
Impact of Social Vulnerability on Cardiovascular Disease Outcomes Among Medicare Beneficiaries in the United States: A Three-Year Retrospective Analysis

Odai Reuben, Aghasili Chukwuemeka, Seshie Desmond, Alchaer Anthony, Sajjad Laiba, Oundo Emmanuel, Ojo Amole

Effects of Cancer on Patients with Myocardial Infarction Complicated by Cardiogenic Shock: A Nationwide Inpatient Sample

Oundo Emmanuel, Fancher Andrew, Odai Reuben, Chan Wan-chi, Alchaer Anthony, Sajjad Laiba

You have to be authorized to contact abstract author. Please, Login
Not Available