Logo

American Heart Association

  141
  0


Final ID: Sa4163

Lupus Mitral Valve Disease Masquerading as an Absent Posterior Mitral Valve Leaflet

Abstract Body (Do not enter title and authors here):
Introduction/Background:
Marantic endocarditis and valvulitis are cardiovascular manifestations of autoimmune disease that can be challenging to diagnose.

Case Presentation:
A 23-year-old female with SLE presented with brief episodes of intermittent left eye vision loss and left sided weakness. She also reported fevers, a malar rash, and new onset dyspnea on exertion.
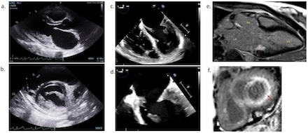
Serologic work-up was consistent with an SLE flair. MRI of the brain/orbits demonstrated two acute infarcts in the frontal and parieto-occipital lobes. CTA head and neck did not show any large vessel vasculitis. Transthoracic echocardiography showed thickening of the mitral valve (MV) leaflets, with moderate MR and an elevated MV gradient of 11 mm Hg. The posterior leaflet was not visualized, concerning for absent or hypoplastic posterior leaflet. A transesophageal echocardiogram was performed and showed severe thickening of posterior mitral leaflet with restricted motion and shortening secondary to extensive thrombus burden. In addition, there was evidence of thrombus at the tip of the anterior MV leaflet. The patient was managed with high dose steroids and warfarin for SLE flair and marantic endocarditis, respectively.

Two months later, she presented with amaurosis fugax. Cardiac MRI showed thickened MV leaflets with delayed enhancement along the posterior leaflet and MV annulus consistent with an organized thrombus. After multidisciplinary discussion, the patient underwent surgical MV replacement with a bioprosthetic valve. Intraoperative evaluation revealed severely thickened MV leaflets with fused commissures. In addition, there was fusion of the posterior leaflet and lateral side of the anterior leaflet to the papillary muscles as a result of thickened and shortened chordae. These findings were believed to be due to inflammatory changes involving the MV apparatus. Surgical pathology confirmed the diagnosis of valvulitis. The patient has done well post operatively.

Conclusion:
Valvulitis and marantic endocarditis can have devastating consequences if not treated promptly. Use of multimodality imaging can aid in the diagnosis. Multidisciplinary discussion is critical in achieving desired clinical outcomes.
  • Digregorio, Helene  ( Houston Methodist Hospital , Houston , Texas , United States )
  • Khan, Madiha  ( Houston Methodist Hospital , Houston , Texas , United States )
  • El Hajj, Elia  ( Houston Methodist Hospital , Houston , Texas , United States )
  • Dhore, Aneesh  ( Houston Methodist Hospital , Houston , Texas , United States )
  • Yao, David  ( Houston Methodist , Houston , Texas , United States )
  • Reul, Ross  ( Houston Methodist Hospital , Houston , Texas , United States )
  • Faza, Nadeen  ( Houston Methodist Hospital , Houston , Texas , United States )
  • Author Disclosures:
    Helene DiGregorio: DO NOT have relevant financial relationships | Madiha Khan: No Answer | Elia El Hajj: DO NOT have relevant financial relationships | Aneesh Dhore: No Answer | David Yao: No Answer | Ross Reul: No Answer | Nadeen Faza: No Answer
Meeting Info:

Scientific Sessions 2024

2024

Chicago, Illinois

Session Info:

Intricate Valve Pathologies: Case Studies and Diagnostic Dilemmas

Saturday, 11/16/2024 , 02:00PM - 03:00PM

Abstract Poster Session

More abstracts on this topic:
A Mast Cell-Specific Receptor Mediates Post-Stroke Brain Inflammation Via a Dural-Brain Axis

Kothari Ruchita, Caplan Justin, Gonzalez L. Fernando, Jackson Christopher, Bettegowda Chetan, Huang Judy, Koehler Raymond, Tamargo Rafael, Xu Risheng, Dong Xinzhong, Abdulrahim Mostafa, Oh Hyun Jong, Capuzzi Daniel, Nair Sumil, Zhang Yaowu, Limjunyawong Nathachit, Saini Sarbjit, Kim Jennifer

A Novel Anti-Thrombotic and Anti-AF Drug without an Adverse Bleeding Problem

Ricchiuti Nikola, Niebrzydowski Maxwell, Richardson Abigail, Yan Jiajie, Ai Xun

More abstracts from these authors:
Hemodynamic Insights Using Pressure Volume Loops into Transcatheter Repair Effects on Left Ventricular Function in Patients with Primary Mitral Regurgitation

Nagueh Sherif, Pournazari Payam, Wessly Priscilla, Hatab Taha, Bhimaraj Arvind, Faza Nadeen, Little Stephen, Goel Sachin

Unmasking Risk: Clinical Outcomes of Moderate Aortic Stenosis with Concomitant Mitral Regurgitation—A Cardiac MRI-Based Evaluation

Gabr El-moatasem, Xiao Mianli, Saeed Mujtaba, Darwish Amr, Bersali Akila, Dhore Aneesh, Graviss Edward, Malahfji Maan, Shah Dipan

You have to be authorized to contact abstract author. Please, Login
Not Available