Logo

American Heart Association

  113
  0


Final ID: Sa2120

Rare Case of Left-Dominant Arrhythmogenic Cardiomyopathy with Gene Mutations in DSP and MYBPC3

Abstract Body (Do not enter title and authors here): Background:
Mutations in desmoplakin gene (DSP) are associated with arrhythmogenic cardiomyopathy (ARVC). Myosin-binding protein C gene (MYBPC3) is a sarcomere gene and is associated with hypertrophic cardiomyopathy (HCM). The expression of both of these genes has only been reported twice in the literature. It remains unclear whether the expression of both mutation carries a more severe phenotype than carrying on of the mutations only.

Case Description:
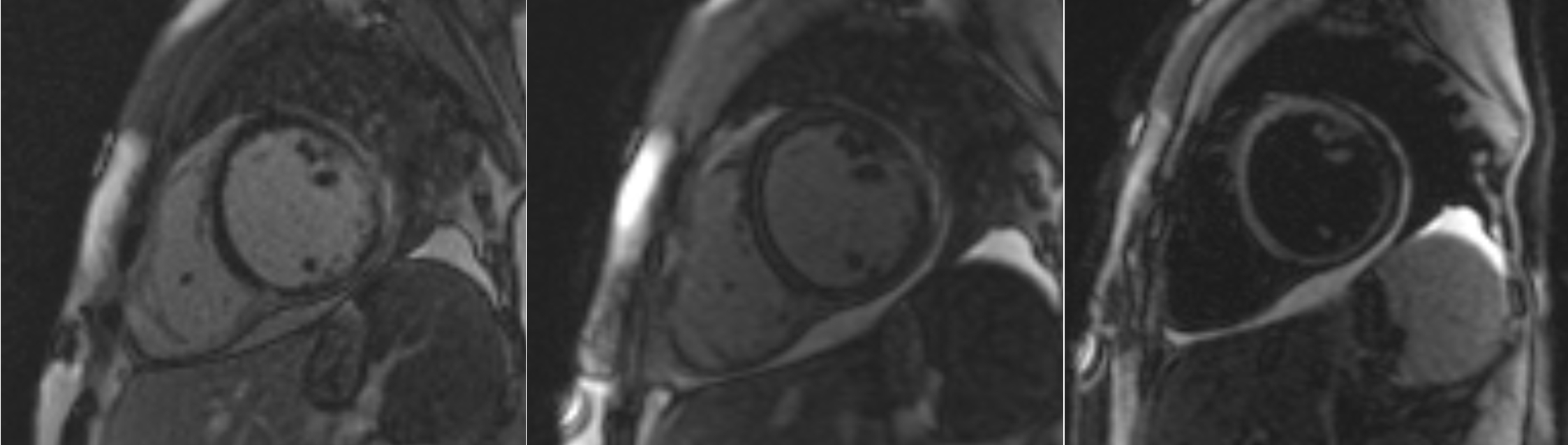
A 21-year-old female with history of sustained ventricular fibrillation (VT) at age 18, VT arrest at age 20,dilated cardiomyopathy with LVEF 30-35% and subcutaneous ICD, who was admitted after multiple ICD defibrillations. Device interrogation demonstrated 23 monomorphic VT episodes treated with 44 shocks by the ICD. Coronary angiogram demonstrated non-obstructive coronary arteries. Patient underwent VT ablation, complicated by incessant VT from LV summit which was eliminated during procedure. Cardiac MRI demonstrated RVEF 33%, regional dyskinesis in the sub-tricuspid area and RV outflow tract. cMRI also demonstrated subepicardial late gadolinium enhancement at the level of the mid antero/infero lateral walls with extension into the apicolateral wall and mid inferoseptal territory. These findings heightened suspicion for left ventricle fatty infiltration. However, endomyocardial biopsy negative for inflammation or granuloma, no fibrosis, negative iron and amyloid staining. Left-dominant arrhythmogenic cardiomyopathy was diagnosed based on cMRI findings, LV systolic dysfunction, and arrhythmia of LV origin. Subcutaneous ICD was explanted and replaced with a dual chamber ICD. Patient was discharged on Mexiletine and GDMT for HFrEF. Genetics testing later revealed rare co-occurance of two genetic mutations including MYBPC3 and DSP.

Discussion:
The presentation of both DSP and MYBPC3 mutations in patients diagnosed with ARVC has only been reported twice in the literature and a is an extremely rare phenomenon. There is currently no sufficient understanding of the genotype-phenotype correlation of DSP and MYBPC3 mutations in the clinical expression of their associated inherited cardiac diseases. Therefore, more research need to investigate this phenomena and to study whether the co-presence of both of these two mutations is associated with a more severe phenotypic expression of HCM and ARVC.
  • Sattouf, Zafer  ( University Hospitals , Cleveland , Ohio , United States )
  • Ali, Bilal  ( University Hospitals , Cleveland , Ohio , United States )
  • Patel, Dev  ( University Hospitals , Cleveland , Ohio , United States )
  • Datla, Sanjana  ( University Hospitals , Cleveland , Ohio , United States )
  • Author Disclosures:
    Zafer Sattouf: DO NOT have relevant financial relationships | Bilal Ali: DO NOT have relevant financial relationships | Dev Patel: DO NOT have relevant financial relationships | Sanjana Datla: No Answer
Meeting Info:

Scientific Sessions 2024

2024

Chicago, Illinois

Session Info:

Unusual Causes and Circumstances - Cardiac Arrhythmia Cases

Saturday, 11/16/2024 , 02:00PM - 03:00PM

Abstract Poster Session

More abstracts on this topic:
A novel ECG algorithm using stepwise approach for accurate localization of premature ventricular contraction and ventricular tachycardia: SMART-PVC/VT

Khalaph Moneeb, Lucas Philipp, Sciacca Vanessa, Beyer Sebastian, Moersdorf Maximilian, Sohns Christian, Guckel Denise, Sommer Philipp, Trajkovska Nadica, Deneke Thomas, Didenko Maxim, El Hamriti Mustapha, Imnadze Guram, Fink Thomas, Braun Martin, Bergau Leonard

A Beta Tubulin Mutation Suppresses Arrhythmias and Improves Connexin 43 Localization in Heart of Duchenne Muscular Dystrophy Mice

Zhou Delong, Liu Tong, Yehia Ghassan, Romanienko Peter, Rodney George, Wehrens Xander, Lampe Paul, Gourdie Robert, Xie Lai-hua, Fraidenraich Diego, Nouet Julie, Mesa Elam, Yegneshwaran Vasisht, Geukgeuzian Geovanni, Adibemma Ifeanyichukwu, Nandakumar Swetha, Ramirez Edwin, Li Hong

More abstracts from these authors:
CYP2C19 Genotyping Decreases 5 and 10-year Mortality in Patients With History of In-Stent Restenosis Undergoing Percutaneous Coronary Intervention

Patel Dev, Ali Bilal, Sattouf Zafer, Datla Sanjana, Patel Roshan, Adams Julie, Arora Shilpkumar

You have to be authorized to contact abstract author. Please, Login
Not Available