Logo

American Heart Association

  142
  0


Final ID: Mo3061

Cardiomyopathy in Pregnancy Complicated by Loeys-Dietz Syndrome

Abstract Body (Do not enter title and authors here): Case Description
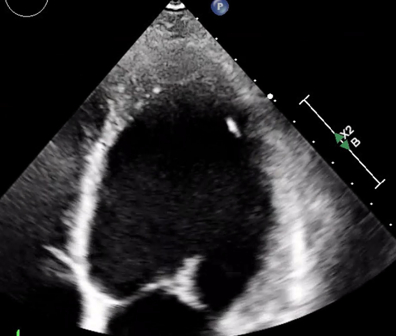
A 28-year-old G2P1 woman presented at 27 weeks gestation with progressive dyspnea and lower extremity edema. She was found to have atrial fibrillation and flutter with RVR. Initial TTE revealed severely dilated left ventricle (LV) with reduced systolic function (EF 20-25%) (Figure 1). She remained in flutter despite diuresis, rate control with metoprolol and digoxin, cardioversion, and ablation. Initiation of guideline-directed medical therapy was limited by hypotension and pregnancy. She underwent a cesarean section at 32 weeks given ongoing arrhythmia and heart failure symptoms. Skin fragility and poor uterine tone were noted intraoperatively. This, in addition to her exam findings of arachnodactyly and hypertelorism, prompted genetic testing, which was positive for SMAD3 mutation consistent with Loeys-Dietz syndrome (LDS) type 3. Following delivery, spironolactone and enalapril were added in keeping with breastfeeding compatibility. Her arrhythmia burden continued to lessen. Repeat TTE showed EF of 35-40% and normal LV size. MRA of head to pelvis was notable for mild dilation of intrarenal abdominal aorta (2.5 cm) with no other vascular abnormalities.
Discussion
Loeys-Dietz syndrome is an inherited connective tissue disorder caused by mutations in TGFBR1/2, TGFB2/3, and SMAD3. It is characterized by multisystem involvement with cardiovascular, craniofacial, skeletal, and cutaneous features. Cardiomyopathy and arrhythmia have been described in a small number of cases. This case represents a rare manifestation of LDS diagnosed during pregnancy where hemodynamic changes likely precipitated development of symptoms and intraoperative findings, which informed additional testing and led to the diagnosis. More commonly, LDS presents with widespread arterial and aortic aneurysms that carry a high risk of dissection. Aortic dissection represents a major cause of early mortality in LDS often requiring intervention at a younger age. Complete vascular imaging is recommended at initial diagnosis, with regular surveillance thereafter. Beta blockers and angiotensin receptor antagonists are used in slowing aortic dilatation; cardiomyopathy and arrhythmias should be treated according to established guidelines.
  • Mei, Pristine  ( Oregon Health and Science University , Portland , Oregon , United States )
  • Mcgrath, Lidija  ( Oregon Health and Science University Knight Cardiovascular Institute , Portland , Oregon , United States )
  • Author Disclosures:
    Pristine Mei: DO NOT have relevant financial relationships | Lidija McGrath: DO NOT have relevant financial relationships
Meeting Info:

Scientific Sessions 2024

2024

Chicago, Illinois

Session Info:

Challenging Clinical Cases in Women

Monday, 11/18/2024 , 01:30PM - 02:30PM

Abstract Poster Session

More abstracts on this topic:
Advanced Lipid Status Parameters in Women With Preeclampsia

Gojkovic Tamara, Saric Matutinovic Marija, Ivanisevic Jasmina, Vladimirov Sandra, Spasojevic Kalimanovska Vesna, Mikovic Zeljko, Stefanovic Aleksandra, Ardalic Daniela, Antonic Tamara, Banjac Gorica, Zeljkovic Aleksandra, Vekic Jelena, Miljkovic Trailovic Milica, Munjas Jelena, Jovicic Snezana

Adoptive transfer of placental CD4+ T Cells from preeclamptic patients with a history of COVID-19 causes hypertension and cognitive dysfunction postpartum in a pregnant rat model of preeclampsia

Deer Evangeline, Simmons Kimberly, Herrock Owen, Campbell Nathan, Roman Richard, Zheng Baoying, Morris Rachael, Lamarca Babbette

More abstracts from these authors:
Practice Variation in Clinician Guidance Regarding Sport Participation in Congenital Heart Disease

Steinmetz Kristen, Petek Bradley, Churchill Timothy, Dean Peter, Edelson Jonathan, Flack English C, Mcgrath Lidija, Moulson Nathaniel, Shafer Keri, Weller Samantha

Distance as a Determinant: The Negative Impact of Rurality on Health Outcomes Among Adults with Congenital Heart Disease on Medicaid

Cambron Julia, Mcgrath Lidija, Baudier Robin, Khan Abigail

You have to be authorized to contact abstract author. Please, Login
Not Available