Logo

American Heart Association

  136
  0


Final ID: MDP1654

Intraventricular pseudoaneurysm: A diagnosis with high mortality that demands a good eye

Abstract Body (Do not enter title and authors here): Traumatic left ventricular (LV) pseudoaneurysms (PSA) are rare, life-threatening complications of blunt chest trauma and the management is heavily reliant on early identification and diagnosis.

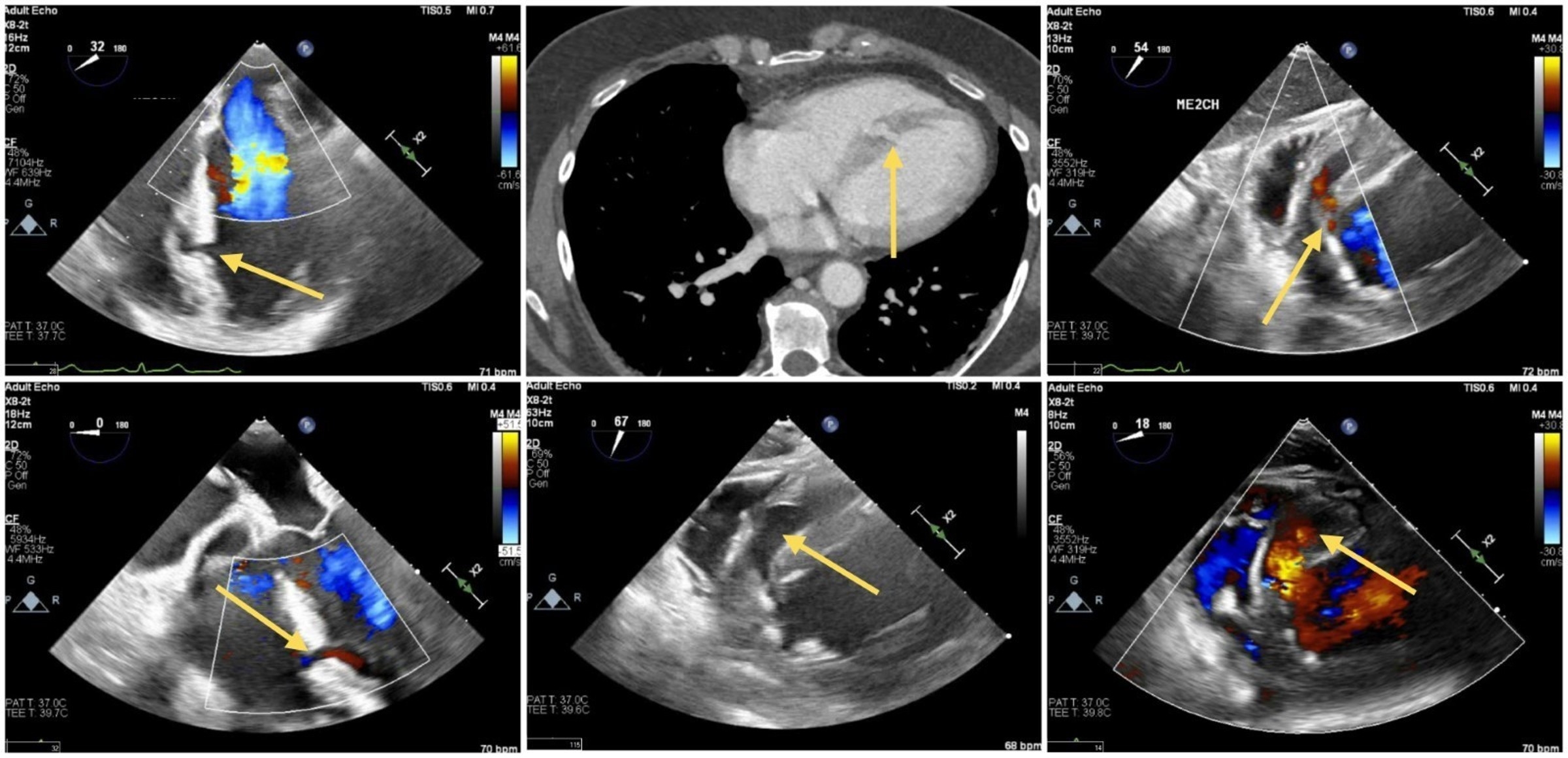
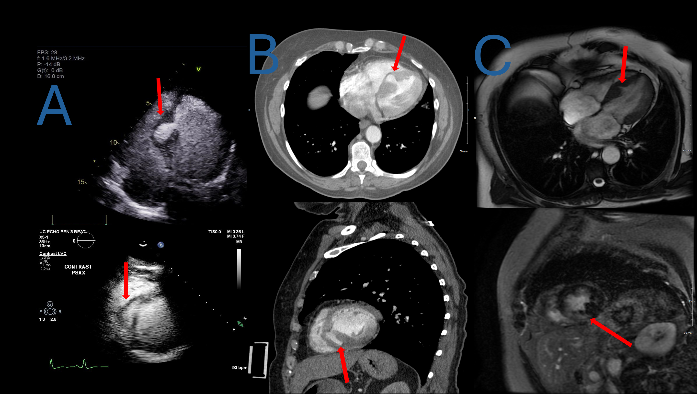
A healthy 55-year-old female presented after blunt chest trauma from a car accident. Bedside echocardiogram revealed a mid-septal LV discontinuity with myocardial outpouching. Lab work was significant for high sensitivity troponin of 22,000 ng/L which peaked at 24,000 in 5 hours. ECG revealed normal sinus rhythm with a QRS duration of 102ms. No ventricular ectopy was detected. Transthoracic echocardiograph (TTE) using echo contrast agent and computed tomography (CT) scan confirmed the intraventricular pseudoaneurysm (Fig 1-A&B).
A transesophageal echocardiogram (TEE) showed an intact PSA at 3.7 x 2.5 cm LV PSA with a 5mm neck extending from the mid septum superiorly into the right ventricle (RV) with no Doppler evidence of rupture or shunt (Fig 2). With cardiology and cardiac surgery shared decision making, conservative therapy was elected in the setting of polytrauma and hemodynamic stability. Serial TTEs showed stable size and appearance of the PSA during her month long hospitalization.
Cardiac magnetic resonance imaging (cMRI) 7 months later showed significant improvement in the PSA size to 0.3 cm2 and extensive myocardial remodeling (Fig 1-C).


LV septal PSA is rare following blunt chest trauma, and it confers a considerable risk of rupture with the highest risk occurring within 3 months of formation. Untreated PSA presents with risks including thromboembolism, infection, and arrhythmia. Multimodal cardiac imaging is paramount for diagnosis and surveillance. There are no guidelines for serial monitoring in hemodynamically stable patients and an individualized approach should be taken. In this patient TTE, TEE, and CT imaging modalities were utilized. Our patient progressed without complication following conservative management with shrinking and scarring of the aneurysm characterized by the cMRI.
  • Beauti, Wisam  ( University of Cincinnati , Cincinnati , Ohio , United States )
  • Biondi, Nicholas  ( University of Cincinnati , Cincinnati , Ohio , United States )
  • Nabavizadeh, Pooneh  ( University of Cincinnati , Cincinnati , Ohio , United States )
  • Hong, Michael  ( University of Cincinnati , Cincinnati , Ohio , United States )
  • Hitchins, Janki  ( University of Cincinnati Medical Center , Cincinnati , Ohio , United States )
  • Pisati, Maanas  ( University of Cincinnati , Cincinnati , Ohio , United States )
  • Dovtchinova-crowly, Anissiia  ( University of Cincinnati , Cincinnati , Ohio , United States )
  • Author Disclosures:
    Wisam Beauti: DO NOT have relevant financial relationships | Nicholas Biondi: No Answer | Pooneh Nabavizadeh: DO NOT have relevant financial relationships | michael hong: DO NOT have relevant financial relationships | Janki Hitchins: DO NOT have relevant financial relationships | Maanas Pisati: DO NOT have relevant financial relationships | Anissiia Dovtchinova-Crowly: No Answer
Meeting Info:

Scientific Sessions 2024

2024

Chicago, Illinois

Session Info:

Mixed Shock Stories From the CICU

Monday, 11/18/2024 , 11:10AM - 12:40PM

Moderated Digital Poster Session

More abstracts on this topic:
AI-driven Measurement of Myosteatosis in Coronary Artery Calcium Scans Predicts Atrial Fibrillation and Heart Failure. An AI-CVD Study within the Multi-Ethnic Study of Atherosclerosis (MESA)

Naghavi Morteza, Wong Nathan, Vliegenthart Rozemarijn, Mcconnell Michael, Maron David, Branch Andrea, Kloner Robert, Mechanick Jeffrey, Ma Ning, Yip Rowena, Fan Wenjun, Azimi Amir, Roy Sion, Nasir Khurram, Molloi Sabee, Fayad Zahi, Kakadiaris Ioannis, Abela George, Narula Jagat, Williams Kim, Shah Prediman, Benjamin Emelia, Atlas Kyle, Levy Daniel, Zhang Chenyu, Reeves Anthony, Atlas Thomas, Yankelevitz David, Mirjalili Seyed Reza, Henschke Claudia

AI-CVD vs. PREVENT for Predicting Incident Heart Failure: The Multi-Ethnic Study of Atherosclerosis (MESA)

Naghavi Morteza, Mirjalili Seyed Reza, Atlas Kyle, Zhang Chenyu, Reeves Anthony, Azimi Amir, Wong Nathan

More abstracts from these authors:
Transthoracic Echocardiographic Findings in Cryptogenic stroke: Prevalence and Comparisons to other Subtypes of Ischemic Stroke

Nabavizadeh Pooneh, Demel Stacie, Coleman Elisheva, Jasne Adam, Slavin Sabreena, Walsh Kyle, Star Michael, Haverbusch Mary, Woo Daniel, Robinson David, Khatrip Pooja, Stanton Robert, Kissela Brett, Kleindorfer Dawn, Sucharew Heidi, Merkler Alexander, Sharma Richa, De Los Rios La Rosa Felipe, Mackey Jason, Ferioli Simona, Mistry Eva

You have to be authorized to contact abstract author. Please, Login
Not Available