Logo

American Heart Association

  135
  0


Final ID: Mo3062

The Importance of Genetic Testing in Diagnosis and Management of Peripartum Cardiomyopathy: A Case Study

Abstract Body (Do not enter title and authors here): Introduction
At least 15% of women diagnosed with peripartum cardiomyopathy (PPCM) are found to have a pathogenic genetic variant associated with dilated cardiomyopathy. We present a patient with PPCM who required orthotopic heart transplantation (OHT) for cardiogenic shock. Her explant pathology and genetic testing played a critical role in identifying the etiology of her cardiomyopathy.

Case Description
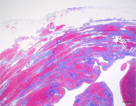
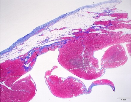
A 22-year-old primigravid woman with a history of asthma presented in labor and underwent a Cesarean delivery for non-reassuring fetal heart tones. She had noted exertional dyspnea, a dry cough, and orthopnea in her final weeks of pregnancy but had an otherwise uncomplicated pregnancy. Immediately following delivery, she suffered a cardiac arrest with pulseless electrical activity and developed cardiogenic shock. She was found to have severe biventricular systolic dysfunction with a left ventricular (LV) ejection fraction of 10%. She was cannulated on veno-arterial extracorporeal membrane oxygenation (VA-ECMO) and transferred to our center. She was transitioned from VA-ECMO to an axillary Impella 5.5 device but continued to require inotropic support without evidence of LV recovery. Therefore, she was listed for and successfully underwent OHT. Explant pathology (Figure 1) revealed arrhythmogenic cardiomyopathy (ACM). Her family history was significant for a maternal grandfather who died of an unspecified arrhythmia at age 57. Genetic testing via a commercial arrhythmia and cardiomyopathy panel revealed a pathogenic desmoplakin (DSP) truncating variant (DSPtv) p.Ser1894Leufs*34 in the N-terminal constitutive NMD-competent region, confirming the diagnosis of ACM. The patient had minor cutaneous findings, including curly hair, consistent with the clinical presentation of DSP-mediated ACM.

Discussion
This case highlights the importance of genetic testing in all patients with PPCM, as well as attention to the explant pathology in those who undergo OHT. These practices can elucidate the mechanism of cardiomyopathy, inform the risks of disease progression and of relapse with subsequent pregnancy, and allow for cascade testing of family members.
  • D'costa, Zoee  ( UCLA , Los Angeles , California , United States )
  • Wong, Eugene  ( UCLA , Los Angeles , California , United States )
  • Zhang, Min  ( UCLA, David Geffen School of Medicine , Los Angeles , California , United States )
  • Fishbein, Gregory  ( UCLA, David Geffen School of Medicine , Los Angeles , California , United States )
  • Wang, Jessica  ( UCLA , Los Angeles , California , United States )
  • Kamath, Megan  ( UCLA , Los Angeles , California , United States )
  • Shahandeh, Negeen  ( UCLA , Los Angeles , California , United States )
  • Author Disclosures:
    Zoee D'Costa: DO NOT have relevant financial relationships | Eugene Wong: DO NOT have relevant financial relationships | Min Zhang: DO NOT have relevant financial relationships | Gregory Fishbein: DO NOT have relevant financial relationships | Jessica Wang: DO have relevant financial relationships ; Consultant:Bristol Myers Squibb Company:Active (exists now) | Megan Kamath: No Answer | Negeen Shahandeh: DO NOT have relevant financial relationships
Meeting Info:

Scientific Sessions 2024

2024

Chicago, Illinois

Session Info:

Challenging Clinical Cases in Women

Monday, 11/18/2024 , 01:30PM - 02:30PM

Abstract Poster Session

More abstracts on this topic:
High Throughput 3D-Printed Human Engineered Heart Tissues for Cardiac Disease Modeling

Juarros Miranda, Dhand Abhishek, Martin Thomas, Valle-ayala Henry, Hunt Dakota, Burdick Jason, Leinwand Leslie

Danish Pragmatic Randomized Trial to Evaluate the Effect of HeartLogic-Guided Management on Heart Failure Outcomes – The DANLOGIC-HF Preliminary Registry Findings

Witten Davodian Lise, Chien Christopher, Fudim Marat, Hernandez Adrian, Kwan Brian, Stolen Craig, Biering-soerensen Tor, Dyrby Johansen Niklas, Sattler Stefan Michael, Wolsk Emil, Risum Niels, Kober Lars, Gustafsson Finn, Davodian Danny, Solomon Scott

You have to be authorized to contact abstract author. Please, Login
Not Available