Logo

American Heart Association

  118
  0


Final ID: Sa1107

Eosinophilic Coronary Periarteritis (ECPA): An Under-recognized Coronary Disease with Fatal Consequences

Abstract Body (Do not enter title and authors here): Clinical presentation: A 50-year-old male with a paraesophageal hernia and grade D esophagitis presented to the ER with complaints of heartburn. He subsequently went into cardiac arrest and was diagnosed with a hemopericardium with tamponade physiology from a ruptured right coronary artery (RCA).
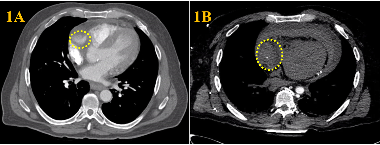
Imaging Findings: Initial CT of the chest found a 1.5x1.5 cm dilation of the proximal RCA (Fig1A). Post cardiac arrest, repeat CT of the chest revealed an interval increase of the proximal RCA measuring 3.5x3.5 cm and a moderate-to-large hemopericardium (Fig1B). An emergent limited TEE demonstrated a large circumferential hemopericardium and biventricular standstill.
Decision-making: In the ER, the initial symptoms resolved and he remained under observation. Hours later, he became bradycardic with a heart in the 20s and was found unresponsive. ACLS was activated and the patient was emergently cannulated and ECMO was initiated due to refractory cardiac arrest. Despite efforts from a multidisciplinary team including cardiology, cardiothoracic surgery and cardiac critical care, ROSC could not be achieved thus portending a poor prognosis. The family decided to withdraw care and the patient expired. Autopsy revealed a 925 mL hemopericardium from a ruptured 3.5 cm severely aneurysmal RCA and other remarkable findings included a 2 cm proximal aneurysm of left anterior descending artery and a 1 cm proximal aneurysm of left circumflex artery (Fig2A,B). Genetic testing for connective tissue disease was negative. Histopathology showed an eosinophilic predominant inflammatory infiltrate of the adventitia suggesting periarteritis (Fig2C) without signs of vasculitis in other organs.
Conclusion: ECPA (eosinophilic coronary periarteritis) is a fatal entity with reported cases of sudden cardiac death and findings of vessel medial degeneration and coronary dissection. This case raises awareness of an under-recognized condition with limited guidance in diagnostic and therapeutic interventions.
  • Henriquez, Wilfredo  ( University of New Mexico , Albuquerque , New Mexico , United States )
  • Hade, Allison  ( University of New Mexico , Albuquerque , New Mexico , United States )
  • Booth, Dana  ( University of New Mexico , Albuquerque , New Mexico , United States )
  • Hsu, Pamela  ( University of New Mexico , Albuquerque , New Mexico , United States )
  • Author Disclosures:
    Wilfredo Henriquez: DO NOT have relevant financial relationships | Allison Hade: DO NOT have relevant financial relationships | Dana Booth: No Answer | Pamela Hsu: No Answer
Meeting Info:

Scientific Sessions 2024

2024

Chicago, Illinois

Session Info:

PVD Potpourri 1

Saturday, 11/16/2024 , 10:30AM - 11:30AM

Abstract Poster Session

More abstracts on this topic:
Abdominal Aortic Compression with Ultrasound is Safe and Demonstrates Effect on Cardiac Output in Healthy Volunteers on Non-Invasive Hemodynamic Monitoring

Jafry Zan, Truong Natalie, Dinh Vi, Joe Yuna

Artificial Intelligence-Based Coronary Artery Calcium (AI-CAC) Score Empowers the “Power of Zero”: An AI-CVD Study within the Multi-Ethnic Study of Atherosclerosis (MESA)

Naghavi Morteza, Vliegenthart Rozemarijn, Nasir Khurram, Narula Jagat, Benjamin Emelia, Levy Daniel, Henschke Claudia, Yankelevitz David, Wong Nathan, Atlas Kyle, Zhang Chenyu, Reeves Anthony, Atlas Thomas, Wasserthal Jakob, Mcconnell Mike, Maron David, Williams Kim

More abstracts from these authors:
Infective Root Aortitis: Medical Therapy Alone or Medical Therapy and Surgery?

Henriquez Wilfredo, Pregenzer-wenzler Arianna, Ratliff D Michelle, Raney Brannon, Blacklock Lisa, Petrechko Oksana, Kelly Breandan, Roldan Carlos

You have to be authorized to contact abstract author. Please, Login
Not Available