Logo

American Heart Association

  157
  0


Final ID: Mo2163

Pheochromocytoma-Induced Cardiomyopathy Requiring Mechanical Support with Ejection Fracture Recovery Following Surgical Resection

Abstract Body (Do not enter title and authors here): Introduction:
Pheochromocytomas are catecholamine-secreting tumors that arise from chromaffin cells of the adrenal medulla. The annual incidence is approximately 0.8 per 100,000 persons, though this is an underestimate given a high percentage diagnosed at autopsy. Classically, patients present with episodic headache, sweating, and tachycardia, however, pheochromocytomas can be associated with cardiomyopathy secondary to the catecholamine excess. We present an unusual case of pheochromocytoma-induced cardiogenic shock highlighting an excellent use of mechanical circulatory support with Impella and Extracorporeal Membrane Oxygenation (ECMO) bridging to surgical intervention resulting in left ventricular ejection fraction (LVEF) recovery.

Case Description:
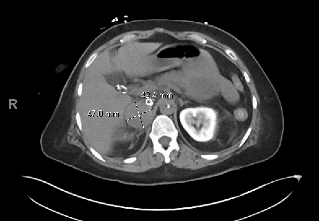
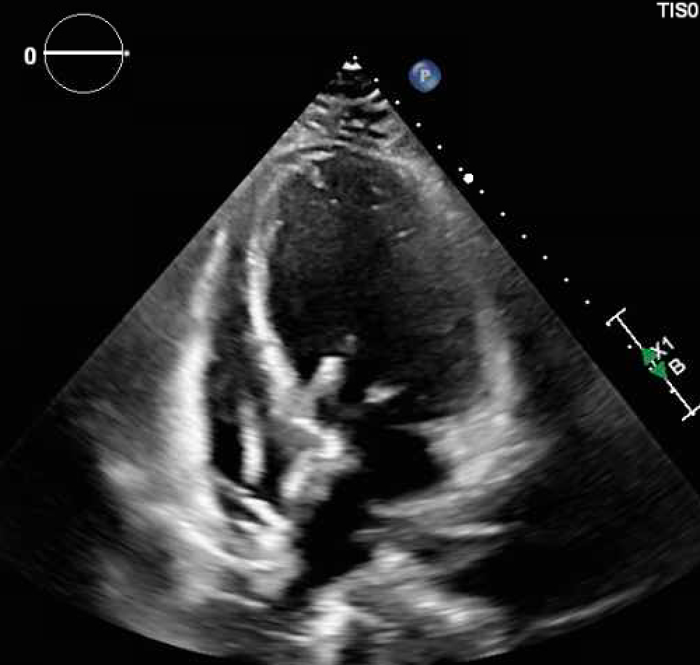
A 49-year-old female with past medical history of asthma initially presented to an outside hospital for palpitations, chest pain, and hypertension. Transthoracic echo (TTE) showed preserved left ventricle ejection fraction (LVEF) while cardiac MRI showed a LVEF of 43% with dilated left ventricle and diffuse global hypokinesis consistent with a dilated cardiomyopathy. She underwent a coronary angiogram demonstrating nonobstructive CAD. She was then discharged with readmission a month later at our hospital for chest tightness, palpitations, vomiting, weakness, and dizziness. Repeat TTE showed a drop in LVEF to 10-15%. She progressed to cardiogenic shock requiring BiPAP and inotrope initiation, with progressive shock and hypotension ultimately requiring Impella 5.5 and venoartrial ECMO. Abdominal imaging was notable for 4.7 x 4.2 cm right adrenal nodule and further workup with serum and urine metanephrines confirmed pheochromocytoma. While supported, the patient underwent right adrenalectomy with subsequent wean of mechanical circulatory support and biventricular recovery on TTE.

Discussion:
Pheochromocytoma-induced heart failure is a rare but potentially life-threatening complication from excess catecholamine effects on the myocardium. Pheochromocytomas should be considered in the evaluation of idiopathic heart failure even in the absence of symptoms related to catecholamine excess. Early detection, pharmacological management, and surgical resection may prevent progression of myocardial remodeling. Mechanical circulatory support can be a valuable adjunct in managing refractory heart failure in these patients by providing temporary hemodynamic stabilization while awaiting definitive tumor resection.
  • Garrison, Phillip  ( University of Alabama at Birmingham , Birmingham , Alabama , United States )
  • East, Lauren  ( University of Alabama at Birmingham , Birmingham , Alabama , United States )
  • Wanna, Charles  ( University of Alabama at Birmingham , Birmingham , Alabama , United States )
  • Tallaj, Jose  ( University of Alabama at Birmingham , Birmingham , Alabama , United States )
  • Clarkson, Stephen  ( University of Alabama at Birmingham , Birmingham , Alabama , United States )
  • Author Disclosures:
    Phillip Garrison: DO NOT have relevant financial relationships | Lauren East: DO NOT have relevant financial relationships | Charles Wanna: No Answer | Jose Tallaj: No Answer | Stephen Clarkson: DO NOT have relevant financial relationships
Meeting Info:

Scientific Sessions 2024

2024

Chicago, Illinois

Session Info:

The Case of the Interesting HF Patient

Monday, 11/18/2024 , 01:30PM - 02:30PM

Abstract Poster Session

More abstracts on this topic:
A-band titin-truncating variant promotes the development of arrhythmia-induced cardiomyopathy in a novel genetically-engineered porcine model

Lee Kwonjae, Del Rio Carlos, Mcnally Elizabeth, Pfenniger Anna, Bhatnagar Ashita, Glinton Kristofor, Burrell Amy, Ober Rebecca, Mcluckie Alicia, Bishop Brian, Rogers Christopher, Geist Gail

Adverse Events and Outcomes Among Patients with Temporary Mechanical Circulatory Support Devices Placed at Referring Versus Hub Cardiogenic Shock Centers

Patel Zachary, Silkowski Molly, Dodson Kaylen, Bull Lindsey, Gregoski Mathew, Tedford Ryan, Mcmurray Jeffrey, Witer Lucas, Kilic Arman, Houston Brian, Carnicelli Anthony, Ospina Meg, Mittelstaedt Roxanne, Peller Jacob, Samani Stephanie, Marchell Charlotte, Ohlrich Kelly, Gunn Brady, Varrone Michael

You have to be authorized to contact abstract author. Please, Login
Not Available