Logo

American Heart Association

  158
  0


Final ID: Sa2113

More than One Way to Catch a Fish: Micra Extraction Case Series

Abstract Body (Do not enter title and authors here): Description of Cases
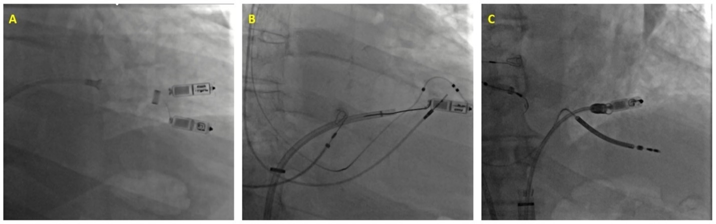
Case 1: A 72 year old male with atrial fibrillation (AF) and tachy-brady syndrome underwent Micra implantation. On post-procedure day 2, pacing thresholds were unacceptably elevated. A new Micra device was deployed; subsequently, a microsnare was placed through the Micra delivery catheter and the docking button of the old Micra was successfully snared (Figure A). The old Micra was then captured over the delivery catheter and removed from the body.
Case 2: A 76 year old male underwent Micra implantation and AV node ablation for AF with persistent tachycardia. One month later, he presented with heart failure and interval decrease in ejection fraction from 66% to 33%. After biventricular leads were implanted, an Agilis catheter was advanced towards the Micra. The docking button was successfully snared with a gooseneck snare (Figure B), and the Micra was extracted with gentle traction.
Case 3: A 76 year old male with complete heart block and longstanding persistent AF received a Micra. Nine months later, he presented with heart failure and interval decrease in ejection fraction from 55% to 25%. A defibrillator lead was implanted but no suitable CS branch was identified. The Aveir retrieval catheter was advanced and the Micra docking button was captured with the triloop snare (Figure C). The protective sleeve was advanced over the Micra and it was successfully removed. Subsequently, a left bundle area lead was placed.

Discussion
Although uncommon, extraction of the tined leadless pacemaker (Micra) may be indicated at times. As rates of implantation continue to increase, establishing uniform procedures for extraction becomes increasingly important. These three cases highlight unique options for Micra extraction, and the feasibility of each approach. However, a dedicated tool and protocol would be ideal for patient safety and consistency. No complications occurred with the above cases.
  • Davis, Nathaniel  ( Mayo Clinic , Rochester , Minnesota , United States )
  • Prasitlumkum, Narut  ( MAYO CLINIC , Rochester , Minnesota , United States )
  • Mulpuru, Siva  ( MAYO CLINIC , Rochester , Minnesota , United States )
  • Asirvatham, Samuel  ( MAYO FOUNDATION , Rochester , Minnesota , United States )
  • Tan, Nicholas  ( MAYO CLINIC , Rochester , Minnesota , United States )
  • Author Disclosures:
    Nathaniel Davis: DO NOT have relevant financial relationships | Narut Prasitlumkum: No Answer | Siva Mulpuru: No Answer | Samuel Asirvatham: DO have relevant financial relationships ; Speaker:Abbott:Active (exists now) ; Speaker:Zoll:Active (exists now) ; Speaker:Medtronic:Active (exists now) ; Speaker:Biosense Webster:Active (exists now) ; Speaker:Biotronik:Active (exists now) | Nicholas Tan: DO NOT have relevant financial relationships
Meeting Info:

Scientific Sessions 2024

2024

Chicago, Illinois

Session Info:

Unusual Causes and Circumstances - Cardiac Arrhythmia Cases

Saturday, 11/16/2024 , 02:00PM - 03:00PM

Abstract Poster Session

More abstracts on this topic:
A REPORT OF >2000 CONSECUTIVE NON-SELECTED PATIENTS UNDERGOING IMAGING WITH PACEMAKER'S AND ICD'S IN THE MRI ENVIRONMENT; THE ADDITIVE VALUE OF A LARGE, PROSPECTIVE >20-YEAR OBSERVATIONAL STUDY

Biederman Robert, Shah Moneal, Lombardi Rich, Boltralik Mark, Mangini Francesco, Doyle Mark


4-5 Years Outcomes of Left Atrial Appendage Closure vs. Oral Anticoagulants in Atrial Fibrillation: A Systematic Review and Meta-Analysis:

Khan Muhammad Aslam, Haider Taimoor, Bhattarai Shraddha, Afzal Hafsa, Khan Bilal, Muhammad Anza, Shafique Nouman, Bhatia Hitesh, Aafreen Asna, Adil Abid Nawaz Khan, Akbar Usman, Khan Alamzaib, Haider Muhammad Adnan

More abstracts from these authors:
Acute Cardiac Function Change After Catheter Ablation of Ventricular Arrhythmias in Patients with Arrhythmogenic Right Ventricular Cardiomyopathy

Davis Nathaniel, Asirvatham Samuel, Friedman Paul, Killu Ammar, Ezzeddine Fatima, Sugrue Alan, Siontis Konstantinos, Kapa Suraj, Kowlgi Gurukripa, Giudicessi John, Bois John, Chang Ian C

AF in valvular and adult congenital heart disease: How best to manage?

Biviano Angelo, Shivkumar Kalyanam, Asirvatham Samuel

You have to be authorized to contact abstract author. Please, Login
Not Available