Logo

American Heart Association

  99
  0


Final ID: Mo2162

Rare but Deadly - Eosinophilic Myocarditis in a Patient with Eosinophilic Granulomatosis Polyangiitis

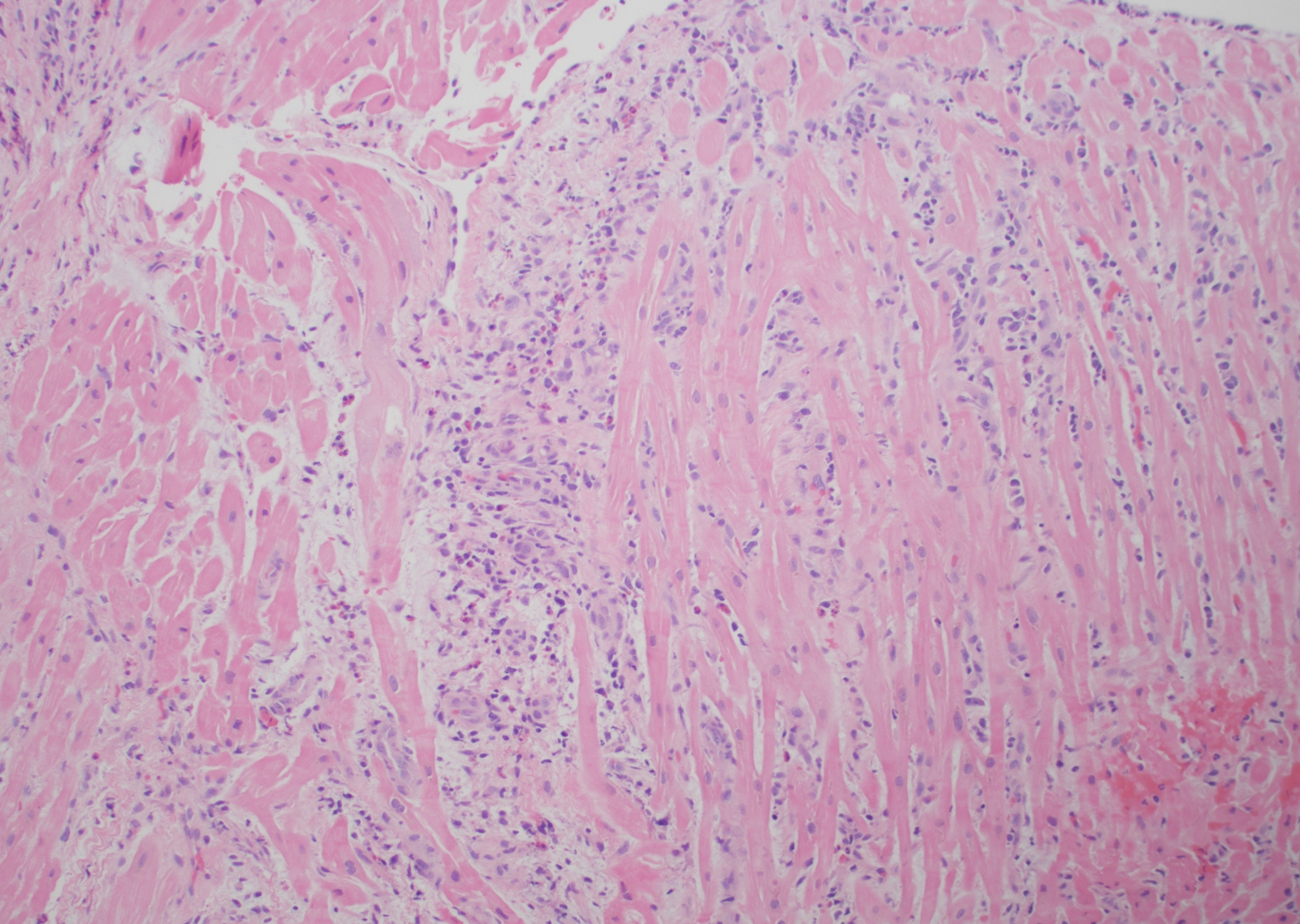
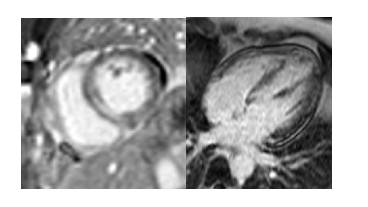
Abstract Body (Do not enter title and authors here): Eosinophilic myocarditis (EM) is a rare inflammatory myocarditis characterized by eosinophilic infiltration of myocardial tissue. Despite the high mortality rate, EM is frequently underdiagnosed and is often first identified in postmortem studies. We share a case of EM as an early manifestation of newly diagnosed eosinophilic granulomatosis polyangiitis (EGPA). The patient is a 46-year-old female with a past medical history of ulcerative colitis and adult-onset asthma who presented to the emergency department with a 2–3-week history of worsening positional chest pain radiating to the left upper extremity. Associated symptoms include 3 months of fatigue, headaches, right foot neuropathy, urticaria, and B-symptoms. Prior to admission, the patient was started on empiric prednisone for presumed EGPA. Initial lab work on admission was notable for elevated troponin (602 ng/L), hyper-eosinophilia (19.5%), thrombocytosis (680K/uL), and elevated ESR (42 mm/h) that have improved since initiation of prednisone. Transthoracic echocardiogram revealed a newly reduced LVEF of 40% with basal and mid-septal wall motion abnormalities. Cardiac catheterization showed normal coronaries confirming the diagnosis of non-ischemic cardiomyopathy. Late gadolinium enhancement in cardiac MRI was seen in basal to mid segments with patchy pericardial enhancement, meeting the Lake Louise criteria for myocarditis. An endomyocardial biopsy showed substantial myocardial infiltration with lymphocytes, histiocytes and eosinophils, confirming the diagnosis of EM. After multidisciplinary team discussion with cardiology and rheumatology, the patient was started on guideline-directed medical therapy for her HFrEF and pulse dose steroids with a prolonged taper and cyclophosphamide. She is tolerating her treatment well. This case highlights the importance of early recognition, comprehensive assessment and targeted treatment for EM depending on its underlying etiology. In the case of autoimmune dysfunction, it involves a combination of immunosuppressive and symptomatic therapy. Ongoing research is crucial to enhance our understanding and improve clinical outcomes, like arrhythmias and cardiogenic shock, for this complex condition.
  • Shetty, Samantha  ( Mount Sinai Morningside-West , New York , New York , United States )
  • Shah, Priya  ( Mount Sinai Morningside-West , New York , New York , United States )
  • Kim, Yee Soo  ( Mount Sinai Morningside , New York , New York , United States )
  • De La Cruz Tejada, Angel  ( Mount Sinai Morningside-Bronx Care , New York , New York , United States )
  • Radakrishnan, Ankitha  ( The Mount Sinai Hospital , New York , New York , United States )
  • Srikureja, Anya  ( The Mount Sinai Hospital , New York , New York , United States )
  • Jacobi, Adam  ( The Mount Sinai Hospital , New York , New York , United States )
  • Beasley, Mary  ( The Mount Sinai Hospital , New York , New York , United States )
  • Mahmood, Kiran  ( Mount Sinai Morningside , New York , New York , United States )
  • Author Disclosures:
    Samantha Shetty: DO NOT have relevant financial relationships | Priya Shah: No Answer | Yee Soo Kim: No Answer | Angel De La Cruz Tejada: DO NOT have relevant financial relationships | Ankitha Radakrishnan: DO NOT have relevant financial relationships | Anya Srikureja: No Answer | Adam Jacobi: No Answer | Mary Beasley: No Answer | Kiran Mahmood: DO NOT have relevant financial relationships
Meeting Info:

Scientific Sessions 2024

2024

Chicago, Illinois

Session Info:

The Case of the Interesting HF Patient

Monday, 11/18/2024 , 01:30PM - 02:30PM

Abstract Poster Session

More abstracts on this topic:
A Case Presentation of Severe Left Ventricular Dysfunction from Focal Myocarditis due to Immune Checkpoint Inhibitor

Patel Romil, Hussain Kifah, Gordon Robert

A Multi-Population-First Approach Leveraging UK Biobank (UKBB) and All of Us (AoU) Datasets Reveals Higher Cardiomyopathy Variant Burden in Individuals with Myocarditis

Gurumoorthi Manasa, Khanji Mohammed, Munroe Patricia, Petersen Steffen, Landstrom Andrew, Chahal Anwar, Hesse Kerrick, Asatryan Babken, Shah Ravi, Sharaf Dabbagh Ghaith, Wolfe Rachel, Shyam Sundar Vijay, Mohiddin Saidi, Aung Nay

More abstracts from these authors:
Diagnosis of Left Ventricular Diastolic Dysfunction using Deep Learning on electrocardiograms

Shetty Samantha, Lampert Joshua, Jiang Joy, Nadkarni Girish, Vaid Akhil

Unveiling the Biological Subtypes of Left Ventricular Diastolic Dysfunction through Unsupervised Clustering of ECG Data

Shetty Samantha, Lampert Joshua, Jiang Joy, Nadkarni Girish, Vaid Akhil

You have to be authorized to contact abstract author. Please, Login
Not Available